IHCeasy® CYP26B1 Ready-To-Use IHC Kit
CYP26B1 Ready-to-use reagent kit for IHC.
Cat no : KHC2947
Synonyms
CYP26A2, Cytochrome P450 26A2, Cytochrome P450 26B1, Cytochrome P450 retinoic acid-inactivating 2, Cytochrome P450RAI 2
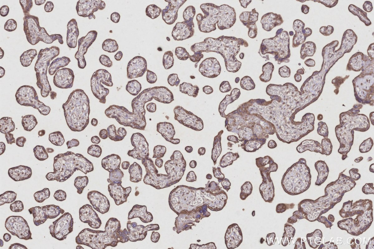
Validation Data Gallery View All
Product Information
KHC2947 is a ready-to-use IHC kit for staining of CYP26B1. The kit provides all reagents, from antigen retrieval to cover slip mounting, that require little to no diluting or handling prior to use. Simply apply the reagents to your sample slide according to the protocol and you're steps away from obtaining high-quality IHC data.
| Product name | IHCeasy CYP26B1 Ready-To-Use IHC Kit |
| Sample type | FFPE tissue |
| Assay type | Immunohistochemistry |
| Primary antibody type | Rabbit Polyclonal |
| Secondary antibody type | Polymer-HRP-Goat anti-Rabbit |
| Reactivity | Human, Mouse |
Kit components
| Component | Size | Concentration |
|---|---|---|
| Antigen Retrieval Buffer | 100 mL | 50× |
| Washing Buffer | 100 mL ×2 | 20× |
| Blocking Buffer | 5 mL | RTU |
| Primary Antibody | 5 mL | RTU |
| Secondary Antibody | 5 mL | RTU |
| Chromogen Component A | 0.2 mL | RTU |
| Chromogen Component B | 4 mL | RTU |
| Signal Enhancer | 5 mL | RTU |
| Counter Staining Reagent | 5 mL | RTU |
| Mounting Media | 5 mL | RTU |
| Datasheet | 1 Copy | |
| Manual | 1 Copy |
Background Information
CYP26B1(Cytochrome P450 26B1) is involved in the metabolism of retinoic acid (RA), rendering this classical morphogen inactive through oxidation.It has 3 isoforms produced by alternative splicing.Cyp26b1 deficiency induces pronounced apoptosis in the developing limb and delayed chondrocyte maturation. Defects in CYP26B1 are the cause of radiohumeral fusions with other skeletal and craniofacial anomalies (RHFCA).
Properties
| Storage Instructions | All the reagents are stored at 2-8°C. The kit is stable for 6 months from the date of receipt. |
| Synonyms | CYP26A2, Cytochrome P450 26A2, Cytochrome P450 26B1, Cytochrome P450 retinoic acid-inactivating 2, Cytochrome P450RAI 2 |


