IHCeasy® SBDS Ready-To-Use IHC Kit
SBDS Ready-to-use reagent kit for IHC.
Cat no : KHC3060
Synonyms
CGI 97, CGI-97, SDS, Shwachman-Bodian-Diamond syndrome protein, SWDS
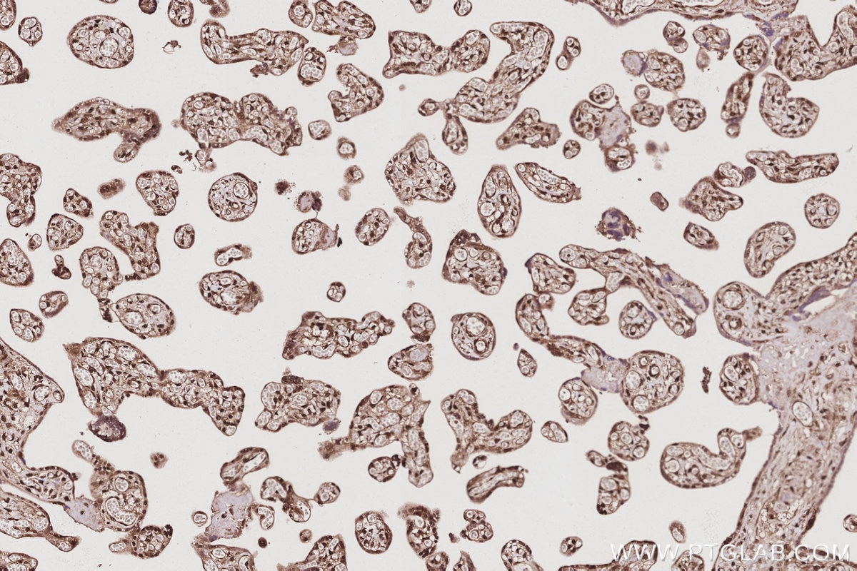
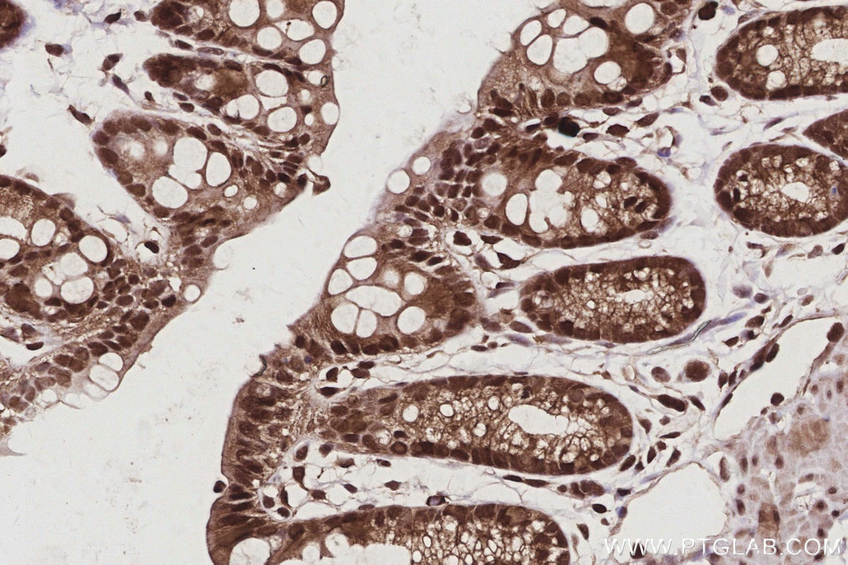
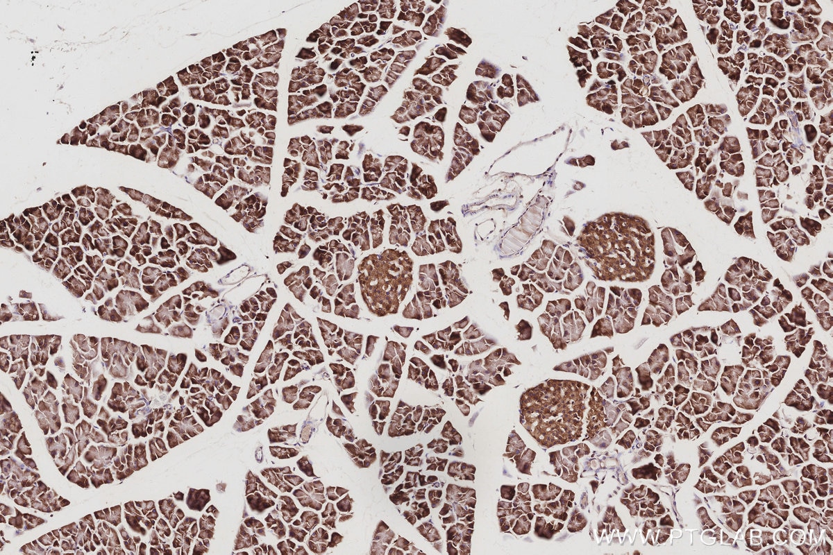
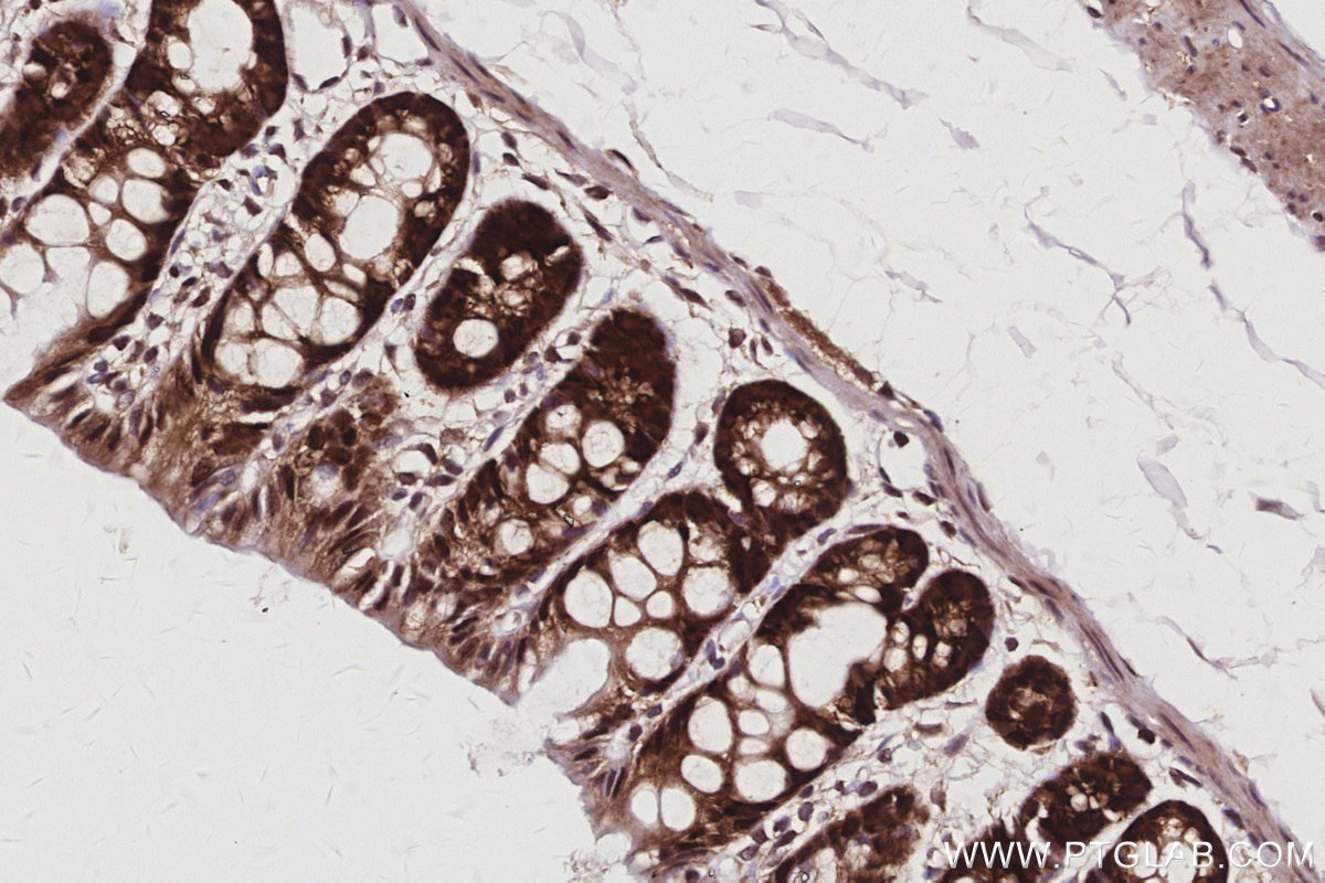
Validation Data Gallery View All
Product Information
KHC3060 is a ready-to-use IHC kit for staining of SBDS. The kit provides all reagents, from antigen retrieval to cover slip mounting, that require little to no diluting or handling prior to use. Simply apply the reagents to your sample slide according to the protocol and you're steps away from obtaining high-quality IHC data.
| Product name | IHCeasy® SBDS Ready-To-Use IHC Kit |
| Sample type | FFPE tissue |
| Assay type | Immunohistochemistry |
| Primary antibody type | Mouse Monoclonal |
| Secondary antibody type | Polymer-HRP-Goat anti-Mouse |
| Reactivity | Human, Mouse, Rat |
Kit components
| Component | Size | Concentration |
|---|---|---|
| Antigen Retrieval Buffer | 100 mL | 50× |
| Washing Buffer | 100 mL ×2 | 20× |
| Blocking Buffer | 5 mL | RTU |
| Primary Antibody | 5 mL | RTU |
| Secondary Antibody | 5 mL | RTU |
| Chromogen Component A | 0.2 mL | RTU |
| Chromogen Component B | 4 mL | RTU |
| Signal Enhancer | 5 mL | RTU |
| Counter Staining Reagent | 5 mL | RTU |
| Mounting Media | 5 mL | RTU |
| Datasheet | 1 Copy | |
| Manual | 1 Copy |
Background Information
Shwachman-Bodian-Diamond syndrome (SBDS) is a member of a highly conserved protein family that exists from archaea to vertebrates and plants. The protein may function in RNA metabolism. Mutations within its gene are associated with Shwachman-Bodian-Diamond syndrome.This gene encodes a member of a highly conserved protein family that exists from archaea to vertebrates and plants. The encoded protein may function in RNA metabolism. Mutations within this gene are associated with Shwachman-Bodian-Diamond syndrome. An alternative transcript has been described, but its biological nature has not been determined.
Properties
| Storage Instructions | All the reagents are stored at 2-8°C. The kit is stable for 6 months from the date of receipt. |
| Synonyms | CGI 97, CGI-97, SDS, Shwachman-Bodian-Diamond syndrome protein, SWDS |







