Tested Applications
| Positive WB detected in | A431 cells, HepG2 cells, NIH/3T3 cells, HeLa cells, PC-3 cells, K-562 cells |
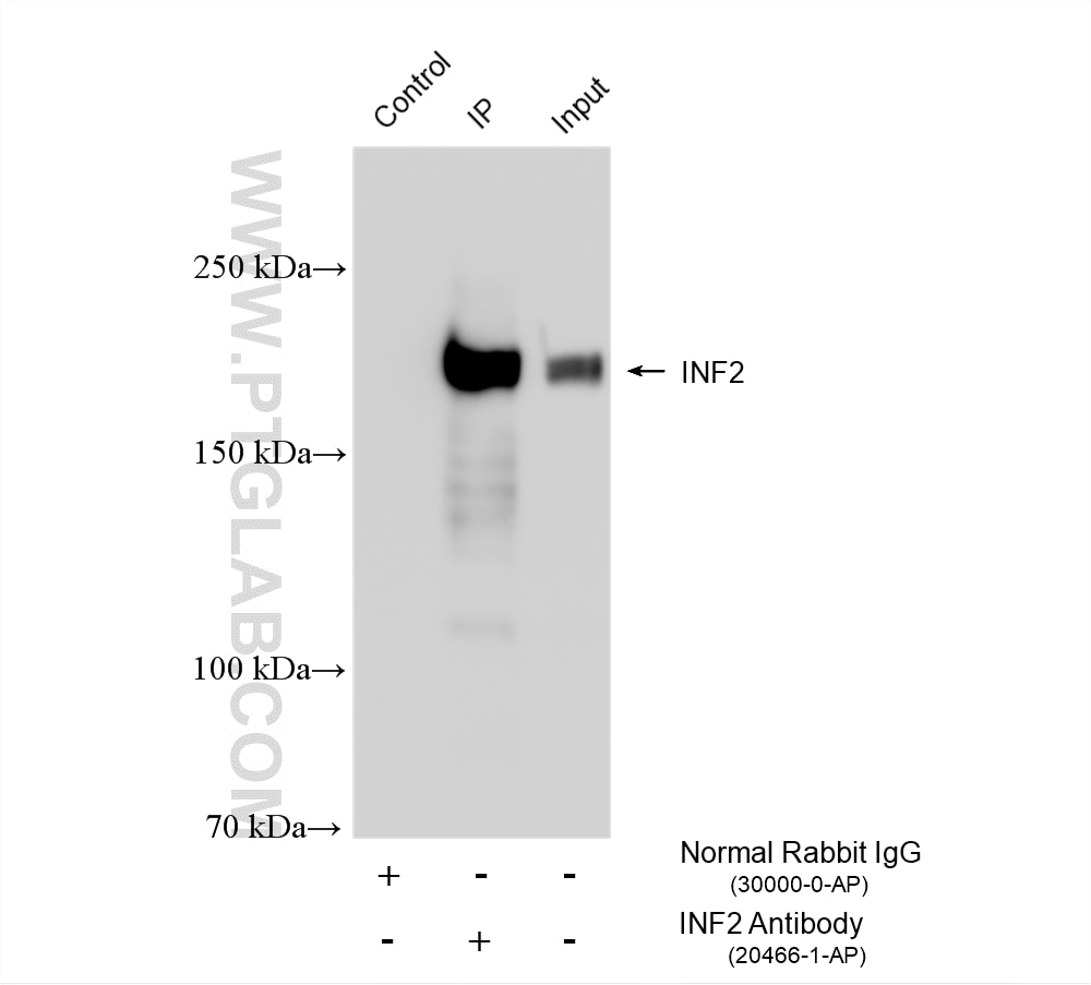
| Positive IP detected in | NIH/3T3 cells |
| Positive IHC detected in | human kidney tissue Note: suggested antigen retrieval with TE buffer pH 9.0; (*) Alternatively, antigen retrieval may be performed with citrate buffer pH 6.0 |
| Positive IF/ICC detected in | HepG2 cells |
Recommended dilution
| Application | Dilution |
|---|---|
| Western Blot (WB) | WB : 1:1000-1:4000 |
| Immunoprecipitation (IP) | IP : 0.5-4.0 ug for 1.0-3.0 mg of total protein lysate |
| Immunohistochemistry (IHC) | IHC : 1:200-1:800 |
| Immunofluorescence (IF)/ICC | IF/ICC : 1:200-1:800 |
| It is recommended that this reagent should be titrated in each testing system to obtain optimal results. | |
| Sample-dependent, Check data in validation data gallery. | |
Published Applications
| KD/KO | See 10 publications below |
| WB | See 28 publications below |
| IHC | See 5 publications below |
| IF | See 19 publications below |
| IP | See 1 publications below |
| CoIP | See 2 publications below |
Product Information
20466-1-AP targets INF2 in WB, IHC, IF/ICC, IP, CoIP, ELISA applications and shows reactivity with human, mouse samples.
| Tested Reactivity | human, mouse |
| Cited Reactivity | human, mouse, zebrafish |
| Host / Isotype | Rabbit / IgG |
| Class | Polyclonal |
| Type | Antibody |
| Immunogen |
CatNo: Ag14302 Product name: Recombinant human INF2 protein Source: e coli.-derived, PGEX-4T Tag: GST Domain: 1-350 aa of BC008756 Sequence: MVRPKAQLVLAACESLLTSRQLPIFCQLILRIGNFLNYGSHTGDADGFKISTLLKLTETKSQQNRVTLLHHVLEEAEKSHPDLLQLPRDLEQPSQAAGINLEIIRSEASSNLKKLLETERKVSASVAEVQEQYTERLQASISAFRALDELFEAIEQKQRELADYLCEDAQQLSLEDTFSTMKAFRDLFLRALKENKDRKEQAAKAERRKQQLAEEEARRPRGEDGKPVRKGPGKQEEVCVIDALLADIRKGFQLRKTARGRGDTDGGSKAASMDPPRATEPVATSNPAGDPVGSTRCPASEPGLDATTASESRGWDLVDAVTPGPQPTLEQLEEGGPRPLERRSSWYVDA Predict reactive species |
| Full Name | inverted formin, FH2 and WH2 domain containing |
| Calculated Molecular Weight | 1249 aa, 136 kDa |
| Observed Molecular Weight | 180-200 kDa |
| GenBank Accession Number | BC008756 |
| Gene Symbol | INF2 |
| Gene ID (NCBI) | 64423 |
| RRID | AB_10694821 |
| Conjugate | Unconjugated |
| Form | Liquid |
| Purification Method | Antigen affinity purification |
| UNIPROT ID | Q27J81 |
| Storage Buffer | PBS with 0.02% sodium azide and 50% glycerol, pH 7.3. |
| Storage Conditions | Store at -20°C. Stable for one year after shipment. Aliquoting is unnecessary for -20oC storage. 20ul sizes contain 0.1% BSA. |
Background Information
INF2 is a member of the formin family of actin-regulating proteins. INF2 is peripherally bound to the cytoplasmic face of the endoplasmic reticulum (ER). Mutations in the formin gene INF2 cause focal segmental glomerulosclerosis. The predicted MW of INF2 is around 136 kDa, while higher molecular mass from 140-200 kDa has been reported in literature (26383224,20493814,19366733).
Protocols
| Product Specific Protocols | |
|---|---|
| IF protocol for INF2 antibody 20466-1-AP | Download protocol |
| IHC protocol for INF2 antibody 20466-1-AP | Download protocol |
| IP protocol for INF2 antibody 20466-1-AP | Download protocol |
| WB protocol for INF2 antibody 20466-1-AP | Download protocol |
| Standard Protocols | |
|---|---|
| Click here to view our Standard Protocols |
Publications
| Species | Application | Title |
|---|---|---|
Cell FMN2 Makes Perinuclear Actin to Protect Nuclei during Confined Migration and Promote Metastasis. | ||
Nat Commun GPCR-induced calcium transients trigger nuclear actin assembly for chromatin dynamics. | ||
J Nanobiotechnology Oxygen-delivery nanoparticles enhanced immunotherapy efficacy monitored by granzyme B PET imaging in malignant tumors | ||
Proc Natl Acad Sci U S A Inverted formin 2 in focal adhesions promotes dorsal stress fiber and fibrillar adhesion formation to drive extracellular matrix assembly. | ||
Proc Natl Acad Sci U S A Mechanical stimulation induces formin-dependent assembly of a perinuclear actin rim.
|
Reviews
The reviews below have been submitted by verified Proteintech customers who received an incentive for providing their feedback.
FH Sammy (Verified Customer) (11-05-2023) | Excellent antibody. Detects a band at the correct MW.
![]() |
FH Chun (Verified Customer) (07-03-2019) | This antibody is good.
|














