Tested Applications
| Positive WB detected in | mouse liver tissue, mouse kidney tissue |
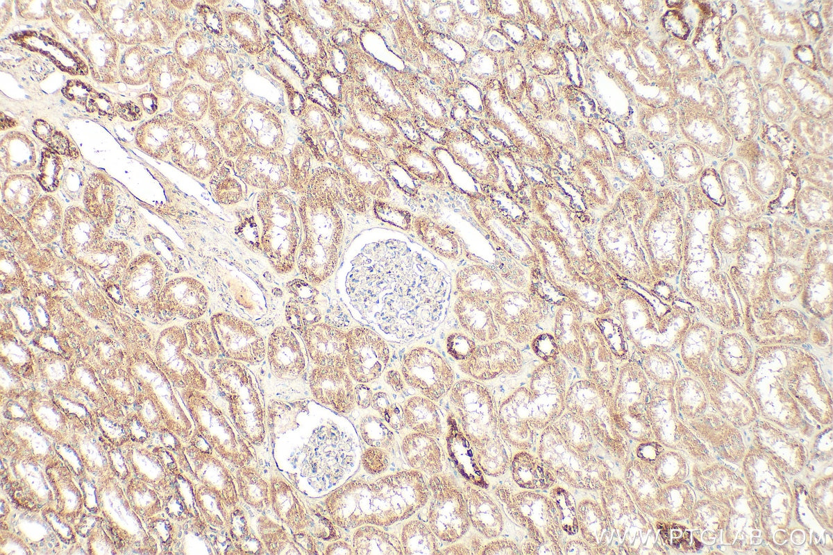
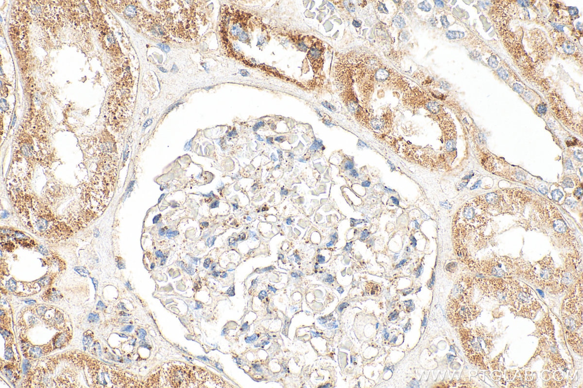
| Positive IHC detected in | human kidney tissue, human liver tissue Note: suggested antigen retrieval with TE buffer pH 9.0; (*) Alternatively, antigen retrieval may be performed with citrate buffer pH 6.0 |
| Positive IF/ICC detected in | HeLa cells |
Recommended dilution
| Application | Dilution |
|---|---|
| Western Blot (WB) | WB : 1:500-1:2000 |
| Immunohistochemistry (IHC) | IHC : 1:50-1:500 |
| Immunofluorescence (IF)/ICC | IF/ICC : 1:10-1:100 |
| It is recommended that this reagent should be titrated in each testing system to obtain optimal results. | |
| Sample-dependent, Check data in validation data gallery. | |
Published Applications
| ChIP | See 1 publications below |
Product Information
20973-1-AP targets INSC in WB, IHC, IF/ICC, ChIP, ELISA applications and shows reactivity with human, mouse, rat samples.
| Tested Reactivity | human, mouse, rat |
| Host / Isotype | Rabbit / IgG |
| Class | Polyclonal |
| Type | Antibody |
| Immunogen |
Peptide Predict reactive species |
| Full Name | inscuteable homolog (Drosophila) |
| Calculated Molecular Weight | 63 kDa |
| Observed Molecular Weight | 54 kDa |
| GenBank Accession Number | NM_001031853 |
| Gene Symbol | INSC |
| Gene ID (NCBI) | 387755 |
| RRID | AB_10951111 |
| Conjugate | Unconjugated |
| Form | Liquid |
| Purification Method | Antigen affinity purification |
| UNIPROT ID | Q1MX18 |
| Storage Buffer | PBS with 0.02% sodium azide and 50% glycerol, pH 7.3. |
| Storage Conditions | Store at -20°C. Stable for one year after shipment. Aliquoting is unnecessary for -20oC storage. 20ul sizes contain 0.1% BSA. |
Background Information
INSC may function as an adapter linking the Par3 complex to the GPSM1/GPSM2 complex. It is involved in spindle orientation during mitosis it may regulate cell proliferation and differentiation in the developing nervous system. INSC may play a role in the asymmetric division of fibroblasts and participate in the process of stratification of the squamous epithelium. The antibody can recognize isoform1, 2,4,5 of INSC.
Protocols
| Product Specific Protocols | |
|---|---|
| IF protocol for INSC antibody 20973-1-AP | Download protocol |
| IHC protocol for INSC antibody 20973-1-AP | Download protocol |
| WB protocol for INSC antibody 20973-1-AP | Download protocol |
| Standard Protocols | |
|---|---|
| Click here to view our Standard Protocols |

















