Tested Applications
| Positive WB detected in | HEK-293 cells, HepG2 cells, K-562 cells, Jurkat cells |
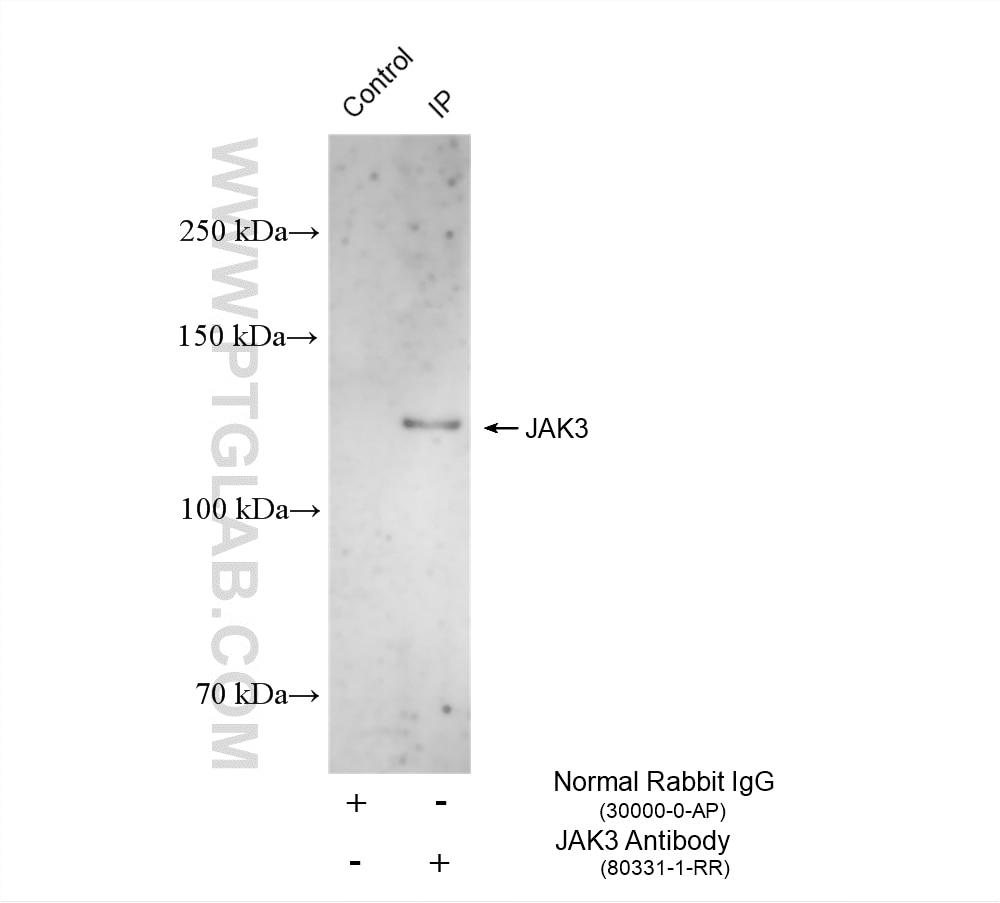
| Positive IP detected in | HEK-293 cells |
| Positive IHC detected in | human lymphoma tissue Note: suggested antigen retrieval with TE buffer pH 9.0; (*) Alternatively, antigen retrieval may be performed with citrate buffer pH 6.0 |
| Positive FC (Intra) detected in | RAW 264.7 cells |
Recommended dilution
| Application | Dilution |
|---|---|
| Western Blot (WB) | WB : 1:2000-1:5000 |
| Immunoprecipitation (IP) | IP : 0.5-4.0 ug for 1.0-3.0 mg of total protein lysate |
| Immunohistochemistry (IHC) | IHC : 1:50-1:500 |
| Flow Cytometry (FC) (INTRA) | FC (INTRA) : 0.25 ug per 10^6 cells in a 100 µl suspension |
| It is recommended that this reagent should be titrated in each testing system to obtain optimal results. | |
| Sample-dependent, Check data in validation data gallery. | |
Published Applications
| WB | See 5 publications below |
| IHC | See 3 publications below |
Product Information
80331-1-RR targets JAK3 in WB, IHC, IP, ELISA applications and shows reactivity with human samples.
| Tested Reactivity | human |
| Cited Reactivity | human, mouse |
| Host / Isotype | Rabbit / IgG |
| Class | Recombinant |
| Type | Antibody |
| Immunogen |
Peptide Predict reactive species |
| Full Name | Janus kinase 3 (a protein tyrosine kinase, leukocyte) |
| Calculated Molecular Weight | 1124 aa, 125 kDa |
| Observed Molecular Weight | 125 kDa |
| GenBank Accession Number | BC028068 |
| Gene Symbol | JAK3 |
| Gene ID (NCBI) | 3718 |
| RRID | AB_2918888 |
| Conjugate | Unconjugated |
| Form | Liquid |
| Purification Method | Protein A purification |
| UNIPROT ID | P52333 |
| Storage Buffer | PBS with 0.02% sodium azide and 50% glycerol, pH 7.3. |
| Storage Conditions | Store at -20°C. Stable for one year after shipment. Aliquoting is unnecessary for -20oC storage. 20ul sizes contain 0.1% BSA. |
Background Information
JAK3 is a non-receptor tyrosine kinase, predominantly expressed in hematopoietic cells and that has been implicated in the signal transduction of the common gamma chain subfamily of cytokine receptors. As a result, JAK3 plays an essential role in hematopoieisis during T cell development. JAK3 belongs to the Janus kinase family of receptor-associated tyrosine kinases located in cytoplasm adjacent to the plasma membrane. (PMID: 19747563, PMID: 33767339)
Protocols
| Product Specific Protocols | |
|---|---|
| FC protocol for JAK3 antibody 80331-1-RR | Download protocol |
| IHC protocol for JAK3 antibody 80331-1-RR | Download protocol |
| IP protocol for JAK3 antibody 80331-1-RR | Download protocol |
| WB protocol for JAK3 antibody 80331-1-RR | Download protocol |
| Standard Protocols | |
|---|---|
| Click here to view our Standard Protocols |
Publications
| Species | Application | Title |
|---|---|---|
J Med Chem Discovery of a Highly Potent and Selective Tyrosine Kinase 2 (TYK2) Degrader with In Vivo Therapeutic Efficacy in a Murine Psoriasis Model | ||
Gene The JAK-STAT signaling-related signature serves as a prognostic and predictive biomarker for renal cell carcinoma immunotherapy | ||
Int Immunopharmacol Demethylzeylasteral alleviates inflammation and colitis via dual suppression of NF-κB and STAT3/5 by targeting IKKα/β and JAK2 | ||
Front Genet Identification of apoptosis-immune-related gene signature and construction of diagnostic model for sepsis based on single-cell sequencing and bulk transcriptome analysis | ||
Adv Sci (Weinh) Electret-Inspired Charge-Injected Hydrogel for Scar-Free Healing of Bacterially Infected Burns Through Bioelectrical Stimulation and Immune Modulation | ||
Front Immunol Construction of disulfidptosis-based immune response prediction model with artificial intelligence and validation of the pivotal grouping oncogene c-MET in regulating T cell exhaustion |









