Tested Applications
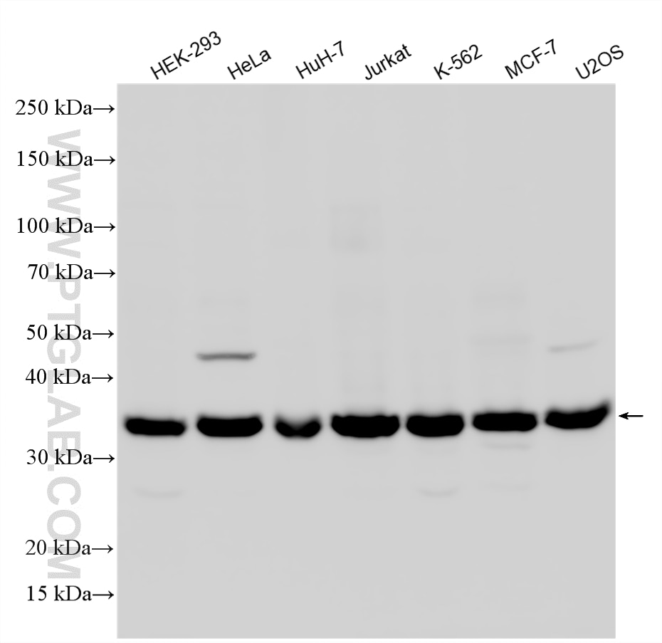
| Positive WB detected in | HEK-293 cells, HeLa cells, HuH-7 cells, Jurkat cells, K-562 cells, MCF-7 cells, U2OS cells |
| Positive IP detected in | HuH-7 cells |
| Positive IHC detected in | human breast cancer tissue, human intrahepatic cholangiocarcinoma tissue, human prostate hyperplasia tissue Note: suggested antigen retrieval with TE buffer pH 9.0; (*) Alternatively, antigen retrieval may be performed with citrate buffer pH 6.0 |
Recommended dilution
| Application | Dilution |
|---|---|
| Western Blot (WB) | WB : 1:1000-1:4000 |
| Immunoprecipitation (IP) | IP : 0.5-4.0 ug for 1.0-3.0 mg of total protein lysate |
| Immunohistochemistry (IHC) | IHC : 1:200-1:800 |
| It is recommended that this reagent should be titrated in each testing system to obtain optimal results. | |
| Sample-dependent, Check data in validation data gallery. | |
Published Applications
| KD/KO | See 3 publications below |
| WB | See 6 publications below |
Product Information
27279-1-AP targets KCTD10 in WB, IHC, IP, ELISA applications and shows reactivity with human samples.
| Tested Reactivity | human |
| Cited Reactivity | human, mouse, rat |
| Host / Isotype | Rabbit / IgG |
| Class | Polyclonal |
| Type | Antibody |
| Immunogen |
CatNo: Ag25971 Product name: Recombinant human KCTD10 protein Source: e coli.-derived, PGEX-4T Tag: GST Domain: 253-313 aa of BC040062 Sequence: TLNILLYEAQDGRGPDNALLEATGGAAGRSHHLDEDEERERIERVRRIHIKRPDDRAHLHQ Predict reactive species |
| Full Name | potassium channel tetramerisation domain containing 10 |
| Calculated Molecular Weight | 313 aa, 35 kDa |
| Observed Molecular Weight | 35 kDa |
| GenBank Accession Number | BC040062 |
| Gene Symbol | KCTD10 |
| Gene ID (NCBI) | 83892 |
| RRID | AB_2880827 |
| Conjugate | Unconjugated |
| Form | Liquid |
| Purification Method | Antigen affinity purification |
| UNIPROT ID | Q9H3F6 |
| Storage Buffer | PBS with 0.02% sodium azide and 50% glycerol, pH 7.3. |
| Storage Conditions | Store at -20°C. Stable for one year after shipment. Aliquoting is unnecessary for -20oC storage. 20ul sizes contain 0.1% BSA. |
Background Information
KCTD10 is a member of the polymerase delta-interacting protein 1 (PDIP1) gene family, which consists of 3 members, PDIP1, KCTD10 and TNFAIP1. KCTD10 is inducible by TNF-α, interacts with PCNA and the small subunit (p50) of DNA polymerase δ. Previous reports have shown that KCTD10 is essential for mammalian development. Further functional studies showed that KCTD10 interacts with proliferating cell nuclear antigen (PCNA) and plays an important role in DNA synthesis.
Protocols
| Product Specific Protocols | |
|---|---|
| IHC protocol for KCTD10 antibody 27279-1-AP | Download protocol |
| IP protocol for KCTD10 antibody 27279-1-AP | Download protocol |
| WB protocol for KCTD10 antibody 27279-1-AP | Download protocol |
| Standard Protocols | |
|---|---|
| Click here to view our Standard Protocols |
Publications
| Species | Application | Title |
|---|---|---|
Nat Commun Regulation of TRIF-mediated innate immune response by K27-linked polyubiquitination and deubiquitination.
| ||
Front Cell Dev Biol Cullin3-TNFAIP1 E3 Ligase Controls Inflammatory Response in Hepatocellular Carcinoma Cells via Ubiquitination of RhoB.
| ||
Front Immunol KCTD10 inhibits lung cancer metastasis and angiogenesis via ubiquitin-mediated β-catenin degradation. | ||
Nat Commun RHOA regulates mitochondria-ER contact sites through modulation of the VAPB/PTPIP51 tether. | ||
Genet Res (Camb) Inhibition of KCTD10 Affects Diabetic Retinopathy Progression by Reducing VEGF and Affecting Angiogenesis
|
Reviews
The reviews below have been submitted by verified Proteintech customers who received an incentive for providing their feedback.
FH Vasu (Verified Customer) (09-12-2025) | This antibody is suitable for few applications like immunofluroscence and Immunoblotting but not for other applications like Chip and flow cytometry and other applications
|
FH Vasudevarao (Verified Customer) (09-04-2025) | This antibody works very well for immunoblotting and IHC at the recommended dilutions
|















