Tested Applications
| Positive WB detected in | HeLa cells, U-87 MG cells |
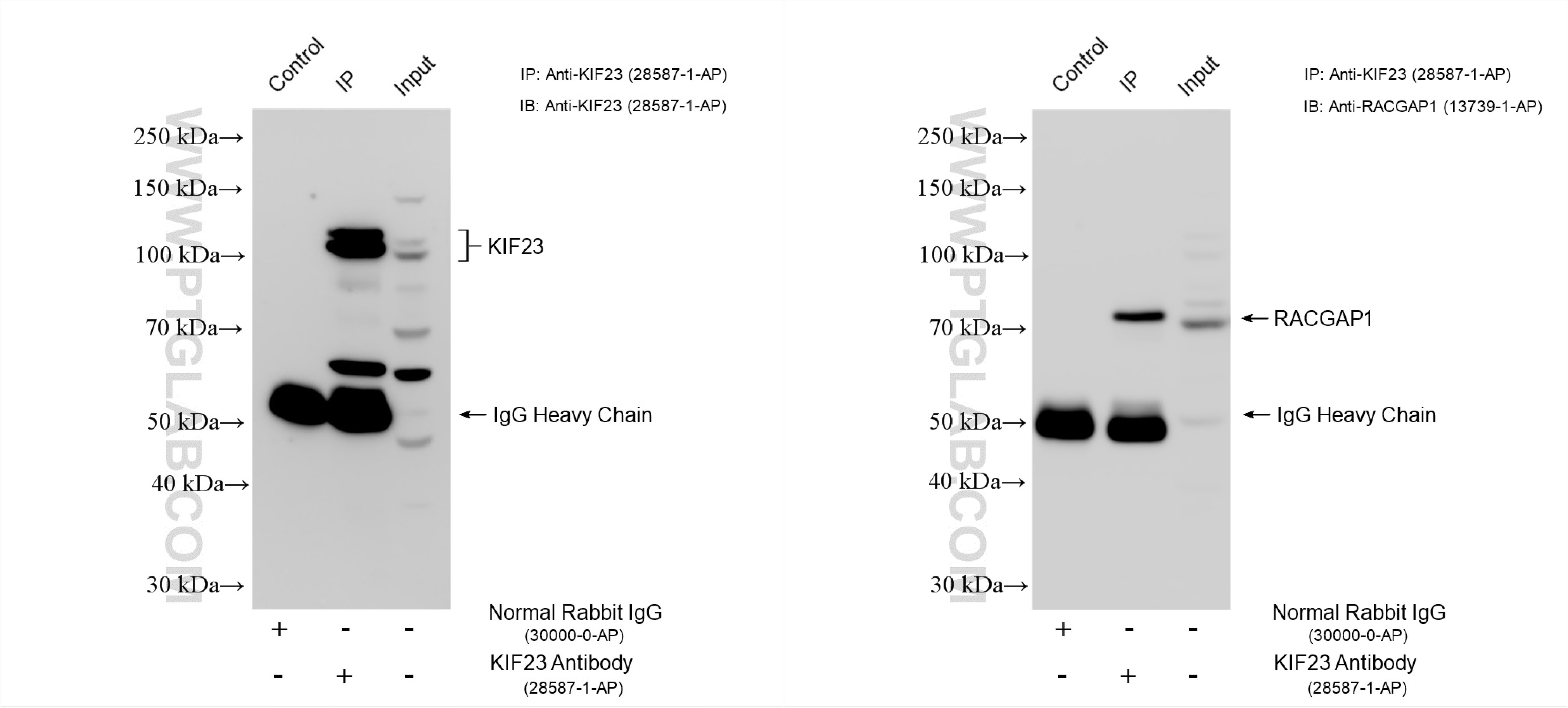
| Positive IP detected in | K-562 cells |
| Positive IHC detected in | human stomach cancer tissue, human liver cancer tissue Note: suggested antigen retrieval with TE buffer pH 9.0; (*) Alternatively, antigen retrieval may be performed with citrate buffer pH 6.0 |
| Positive IF/ICC detected in | HepG2 cells |
Recommended dilution
| Application | Dilution |
|---|---|
| Western Blot (WB) | WB : 1:1000-1:5000 |
| Immunoprecipitation (IP) | IP : 0.5-4.0 ug for 1.0-3.0 mg of total protein lysate |
| Immunohistochemistry (IHC) | IHC : 1:50-1:500 |
| Immunofluorescence (IF)/ICC | IF/ICC : 1:200-1:800 |
| It is recommended that this reagent should be titrated in each testing system to obtain optimal results. | |
| Sample-dependent, Check data in validation data gallery. | |
Published Applications
| KD/KO | See 3 publications below |
| WB | See 6 publications below |
| IHC | See 1 publications below |
| IF | See 1 publications below |
Product Information
28587-1-AP targets KIF23 in WB, IHC, IF/ICC, IP, ELISA applications and shows reactivity with human samples.
| Tested Reactivity | human |
| Cited Reactivity | human |
| Host / Isotype | Rabbit / IgG |
| Class | Polyclonal |
| Type | Antibody |
| Immunogen |
CatNo: Ag29346 Product name: Recombinant human KIF23 protein Source: e coli.-derived, PGEX-4T Tag: GST Domain: 486-683 aa of NM_138555 Sequence: LDINDEQTLPRLIEALEKRHNLRQMMIDEFNKQSNAFKALLQEFDNAVLSKENHMQGKLNEKEKMISGQKLEIERLEKKNKTLEYKIEILEKTTTIYEEDKRNLQQELETQNQKLQRQFSDKRRLEARLQGMVTETTMKWEKECERRVAAKQLEMQNKLWVKDEKLKQLKAIVTEPKTEKPERPSRERDREKVTQRSV Predict reactive species |
| Full Name | kinesin family member 23 |
| Calculated Molecular Weight | 110 kDa |
| Observed Molecular Weight | 110 kDa |
| GenBank Accession Number | NM_138555 |
| Gene Symbol | KIF23 |
| Gene ID (NCBI) | 9493 |
| RRID | AB_2881176 |
| Conjugate | Unconjugated |
| Form | Liquid |
| Purification Method | Antigen affinity purification |
| UNIPROT ID | Q02241 |
| Storage Buffer | PBS with 0.02% sodium azide and 50% glycerol, pH 7.3. |
| Storage Conditions | Store at -20°C. Stable for one year after shipment. Aliquoting is unnecessary for -20oC storage. 20ul sizes contain 0.1% BSA. |
Background Information
KIF23, also known as KNSL5 and MKLP1, is a member of the kinesin-like protein family. It plays a crucial role in cytokinesis, the final stage of cell division. It is involved in the formation of the central spindle, which is essential for the proper separation of the cytoplasm and the formation of the cleavage furrow. KIF23 is also involved in the organization and transport of intracellular vesicles and organelles. Mutations in KIF23 have been associated with congenital dyserythropoietic anemia type III(PMID: 23570799).
Protocols
| Product Specific Protocols | |
|---|---|
| IF protocol for KIF23 antibody 28587-1-AP | Download protocol |
| IHC protocol for KIF23 antibody 28587-1-AP | Download protocol |
| IP protocol for KIF23 antibody 28587-1-AP | Download protocol |
| WB protocol for KIF23 antibody 28587-1-AP | Download protocol |
| Standard Protocols | |
|---|---|
| Click here to view our Standard Protocols |
Publications
| Species | Application | Title |
|---|---|---|
Cell Biosci TPM2 attenuates progression of prostate cancer by blocking PDLIM7-mediated nuclear translocation of YAP1 | ||
PLoS Biol The ciliopathy protein CCDC66 controls mitotic progression and cytokinesis by promoting microtubule nucleation and organization. | ||
Front Cell Dev Biol Identification of KIF23 as a Prognostic Biomarker Associated With Progression of Clear Cell Renal Cell Carcinoma.
| ||
Front Immunol HBx Mediated Increase of DDX17 Contributes to HBV-Related Hepatocellular Carcinoma Tumorigenesis. | ||
Toxicol Appl Pharmacol Kinesin family member 23 exerts a protumor function in breast cancer via stimulation of the Wnt/β-catenin pathway.
| ||
Cell Rep Augmin-dependent microtubule self-organization drives kinetochore fiber maturation in mammals.
|
Reviews
The reviews below have been submitted by verified Proteintech customers who received an incentive for providing their feedback.
FH Wissem (Verified Customer) (07-30-2024) | antibody works well to detect KIF23 in U2OS cell extracts.
|









