Tested Applications
| Positive WB detected in | RAW 264.7 cells |
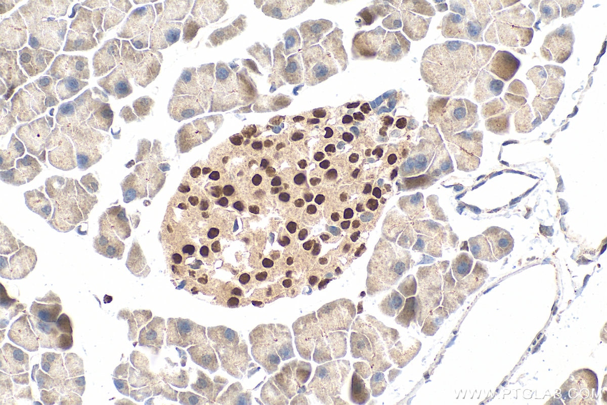
| Positive IHC detected in | mouse pancreas tissue Note: suggested antigen retrieval with TE buffer pH 9.0; (*) Alternatively, antigen retrieval may be performed with citrate buffer pH 6.0 |
| Positive IF/ICC detected in | U-251 cells |
| Positive FC (Intra) detected in | RAW 264.7 cells |
Recommended dilution
| Application | Dilution |
|---|---|
| Western Blot (WB) | WB : 1:500-1:2000 |
| Immunohistochemistry (IHC) | IHC : 1:250-1:1000 |
| Immunofluorescence (IF)/ICC | IF/ICC : 1:500-1:2000 |
| Flow Cytometry (FC) (INTRA) | FC (INTRA) : 0.40 ug per 10^6 cells in a 100 µl suspension |
| It is recommended that this reagent should be titrated in each testing system to obtain optimal results. | |
| Sample-dependent, Check data in validation data gallery. | |
Published Applications
| KD/KO | See 2 publications below |
| WB | See 6 publications below |
| IF | See 1 publications below |
| IP | See 1 publications below |
Product Information
20189-1-AP targets MAFB in WB, IHC, IF/ICC, FC (Intra), IP, ELISA applications and shows reactivity with human, mouse, rat samples.
| Tested Reactivity | human, mouse, rat |
| Cited Reactivity | human, mouse, rat |
| Host / Isotype | Rabbit / IgG |
| Class | Polyclonal |
| Type | Antibody |
| Immunogen |
CatNo: Ag14102 Product name: Recombinant human MAFB protein Source: e coli.-derived, PGEX-4T Tag: GST Domain: 168-323 aa of BC036689 Sequence: QASPPPSSAASPAQQLPTSHPGPGPHATASATAAGGNGSVEDRFSDDQLVSMSVRELNRHLRGFTKDEVIRLKQKRRTLKNRGYAQSCRYKRVQQKHHLENEKTQLIQQVEQLKQEVSRLARERDAYKVKCEKLANSGFREAGSTSDSPSSPEFFL Predict reactive species |
| Full Name | v-maf musculoaponeurotic fibrosarcoma oncogene homolog B (avian) |
| Calculated Molecular Weight | 323 aa, 36 kDa |
| Observed Molecular Weight | 45 kDa |
| GenBank Accession Number | BC036689 |
| Gene Symbol | MAFB |
| Gene ID (NCBI) | 9935 |
| ENSEMBL Gene ID | ENSG00000204103 |
| RRID | AB_2878654 |
| Conjugate | Unconjugated |
| Form | Liquid |
| Purification Method | Antigen affinity purification |
| UNIPROT ID | Q9Y5Q3 |
| Storage Buffer | PBS with 0.02% sodium azide and 50% glycerol, pH 7.3. |
| Storage Conditions | Store at -20°C. Stable for one year after shipment. Aliquoting is unnecessary for -20oC storage. 20ul sizes contain 0.1% BSA. |
Background Information
MAFB (MAF BZIP Transcription Factor B), also known as V-maf musculoaponeurotic fibrosarcoma oncogene homolog B, is a widely expressed basic leucine zipper transcription factor belonging to the Maf family. MAFB expression is significantly elevated in response to a broad range of metabolic and immunological stimuli that promote macrophage M2 polarization, cholesterol efflux, or both, whereas it is strongly down-regulated in response to various pro-inflammatory pathogenic triggers(PMID: 28790455). MAFB is highly expressed in tumor tissues and required for proliferation and tumorigenicity of osteosarcoma cells(PMID: 32234710) and is a marker of tumor-associated macrophages in both mouse and human(PMID: 31679694).
Protocols
| Product Specific Protocols | |
|---|---|
| FC protocol for MAFB antibody 20189-1-AP | Download protocol |
| IF protocol for MAFB antibody 20189-1-AP | Download protocol |
| IHC protocol for MAFB antibody 20189-1-AP | Download protocol |
| WB protocol for MAFB antibody 20189-1-AP | Download protocol |
| Standard Protocols | |
|---|---|
| Click here to view our Standard Protocols |
Publications
| Species | Application | Title |
|---|---|---|
J Leukoc Biol Glia maturation factor-γ regulates amyloid-β42 phagocytosis through scavenger receptor AI in murine macrophages | ||
Commun Biol The matrix vesicle cargo miR-125b accumulates in the bone matrix, inhibiting bone resorption in mice | ||
Mol Cell Endocrinol lnc-HC ameliorates steatosis by promoting miR-130b-3p biogenesis and the assembly of an RNA-induced silencing complex
| ||
Commun Biol MafB regulates NLRP3 inflammasome activation by sustaining p62 expression in macrophages | ||
J Exp Clin Cancer Res Musashi2 promotes EGF-induced EMT in pancreatic cancer via ZEB1-ERK/MAPK signaling | ||
Front Microbiol Transcription factor MAFB controls type I and II interferon response-mediated host immunity in Mycobacterium tuberculosis-infected macrophages
|







