Tested Applications
| Positive WB detected in | MCF-7 cells, mouse liver tissue, rat liver tissue |
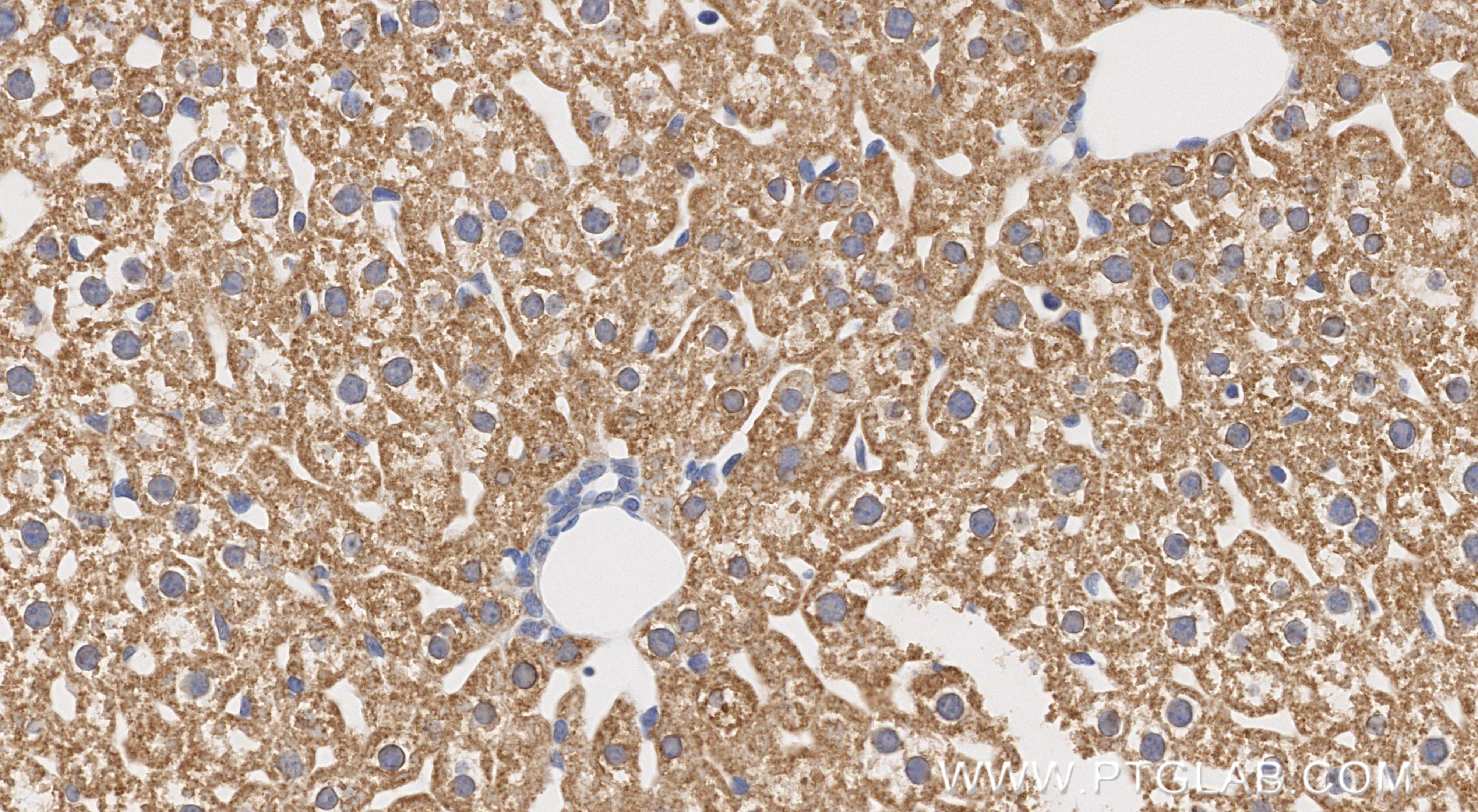
| Positive IHC detected in | mouse liver tissue Note: suggested antigen retrieval with TE buffer pH 9.0; (*) Alternatively, antigen retrieval may be performed with citrate buffer pH 6.0 |
Recommended dilution
| Application | Dilution |
|---|---|
| Western Blot (WB) | WB : 1:5000-1:50000 |
| Immunohistochemistry (IHC) | IHC : 1:500-1:2000 |
| It is recommended that this reagent should be titrated in each testing system to obtain optimal results. | |
| Sample-dependent, Check data in validation data gallery. | |
Product Information
86695-1-RR targets MAOB in WB, IHC, ELISA applications and shows reactivity with human, mouse, rat samples.
| Tested Reactivity | human, mouse, rat |
| Host / Isotype | Rabbit / IgG |
| Class | Recombinant |
| Type | Antibody |
| Immunogen |
CatNo: Ag3253 Product name: Recombinant human MAOB protein Source: e coli.-derived, PGEX-4T Tag: GST Domain: 1-331 aa of BC022494 Sequence: MSNKCDVVVVGGGISGMAAAKLLHDSGLNVVVLEARDHVGGRTYTLRNQKVKYVDLGGSYVGPTQNRILRLAKELGLETYKVNEVERLIHHVKGKSYPFRGPFPPVWNPITYLDHNNFWRTMDDMGREIQSDAPWKAPLAEEWDNMTMKELLDKLCWTESAKQLATLFVNLCVTAETHEVSALWFLWYVKQCGGTTRIISTTNGGQERKFVGGSGQVSERIMDLLGDRVKLERPVIYIDQTRENVLVETLNHEMYEAKYVISAIPPTLGMKIHFNPPLPMMRNQMITRVPLGSVIKCIVYYKEPFWRKKDYCGTMIIDGEEAPVAYTLDDT Predict reactive species |
| Full Name | monoamine oxidase B |
| Calculated Molecular Weight | 520 aa, 59 kDa |
| Observed Molecular Weight | 59 kDa |
| GenBank Accession Number | BC022494 |
| Gene Symbol | MAOB |
| Gene ID (NCBI) | 4129 |
| Conjugate | Unconjugated |
| Form | Liquid |
| Purification Method | Protein A purification |
| UNIPROT ID | P27338 |
| Storage Buffer | PBS with 0.02% sodium azide and 50% glycerol, pH 7.3. |
| Storage Conditions | Store at -20°C. Stable for one year after shipment. Aliquoting is unnecessary for -20oC storage. 20ul sizes contain 0.1% BSA. |
Background Information
The MAOB gene encodes a 520-amino acid protein with a molecular mass of 58.8 kD and shows 70% amino acid identity to MAOA. MAOA and MAOB are present in the outer mitochondrial membrane in the central nervous system and peripheral tissues.A comparison of highly purified human placental MAOA and human liver MAOB revealed that the A form of the enzyme is larger by 2 kDa and only one potential N-glycosylation site exists in each protein, with each site in a different relevant position (PMID:3387449).
Protocols
| Product Specific Protocols | |
|---|---|
| IHC protocol for MAOB antibody 86695-1-RR | Download protocol |
| WB protocol for MAOB antibody 86695-1-RR | Download protocol |
| Standard Protocols | |
|---|---|
| Click here to view our Standard Protocols |







