Tested Applications
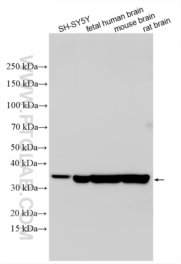
| Positive WB detected in | SH-SY5Y cells, fetal human brain tissue, mouse brain tissue, rat brain tissue |
| Positive IHC detected in | mouse brain tissue, human skeletal muscle tissue Note: suggested antigen retrieval with TE buffer pH 9.0; (*) Alternatively, antigen retrieval may be performed with citrate buffer pH 6.0 |
| Positive IF-P detected in | mouse testis tissue |
Recommended dilution
| Application | Dilution |
|---|---|
| Western Blot (WB) | WB : 1:1000-1:8000 |
| Immunohistochemistry (IHC) | IHC : 1:50-1:500 |
| Immunofluorescence (IF)-P | IF-P : 1:50-1:500 |
| It is recommended that this reagent should be titrated in each testing system to obtain optimal results. | |
| Sample-dependent, Check data in validation data gallery. | |
Published Applications
| WB | See 1 publications below |
| IF | See 1 publications below |
Product Information
23974-1-AP targets EB3 in WB, IHC, IF-P, ELISA applications and shows reactivity with human, mouse, rat samples.
| Tested Reactivity | human, mouse, rat |
| Cited Reactivity | human, mouse, rat |
| Host / Isotype | Rabbit / IgG |
| Class | Polyclonal |
| Type | Antibody |
| Immunogen |
CatNo: Ag21148 Product name: Recombinant human MAPRE3 protein Source: e coli.-derived, PET30a Tag: 6*His Domain: 1-281 aa of BC011557 Sequence: MAVNVYSTSVTSENLSRHDMLAWVNDSLHLNYTKIEQLCSGAAYCQFMDMLFPGCVHLRKVKFQAKLEHEYIHNFKVLQAAFKKMGVDKIIPVEKLVKGKFQDNFEFIQWFKKFFDANYDGKDYNPLLARQGQDVAPPPNPGDQIFNKSKKLIGTAVPQRTSPTGPKNMQTSGRLSNVAPPCILRKNPPSARNGGHETDAQILELNQQLVDLKLTVDGLEKERDFYFSKLRDIELICQEHESENSPVISGIIGILYATEEGFAPPEDDEIEEHQQEDQDEY Predict reactive species |
| Full Name | microtubule-associated protein, RP/EB family, member 3 |
| Calculated Molecular Weight | 32 kDa |
| Observed Molecular Weight | 30-36 kDa |
| GenBank Accession Number | BC011557 |
| Gene Symbol | EB3 |
| Gene ID (NCBI) | 22924 |
| RRID | AB_2879385 |
| Conjugate | Unconjugated |
| Form | Liquid |
| Purification Method | Antigen Affinity purified |
| UNIPROT ID | Q9UPY8 |
| Storage Buffer | PBS with 0.02% sodium azide and 50% glycerol, pH 7.3. |
| Storage Conditions | Store at -20°C. Stable for one year after shipment. Aliquoting is unnecessary for -20oC storage. 20ul sizes contain 0.1% BSA. |
Protocols
| Product Specific Protocols | |
|---|---|
| IF protocol for EB3 antibody 23974-1-AP | Download protocol |
| IHC protocol for EB3 antibody 23974-1-AP | Download protocol |
| WB protocol for EB3 antibody 23974-1-AP | Download protocol |
| Standard Protocols | |
|---|---|
| Click here to view our Standard Protocols |
Publications
| Species | Application | Title |
|---|---|---|
Nat Commun Microtubule asters anchored by FSD1 control axoneme assembly and ciliogenesis. | ||
Cell Tissue Res Filamin-A-interacting protein 1 (FILIP1) is a dual compartment protein linking myofibrils and microtubules during myogenic differentiation and upon mechanical stress | ||
Neural Regen Res The interaction between KIF21A and KANK1 regulates dendritic morphology and synapse plasticity in neurons |
Reviews
The reviews below have been submitted by verified Proteintech customers who received an incentive for providing their feedback.
FH Alice (Verified Customer) (02-18-2026) | It worked well for a western blot. I had two bands- one which I belive to be EB3 bound to microtubules, and one which was free EB3.
|











