Tested Applications
| Positive WB detected in | C2C12 cell, HeLa cells |
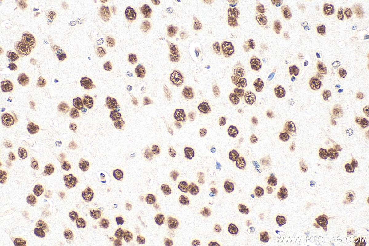
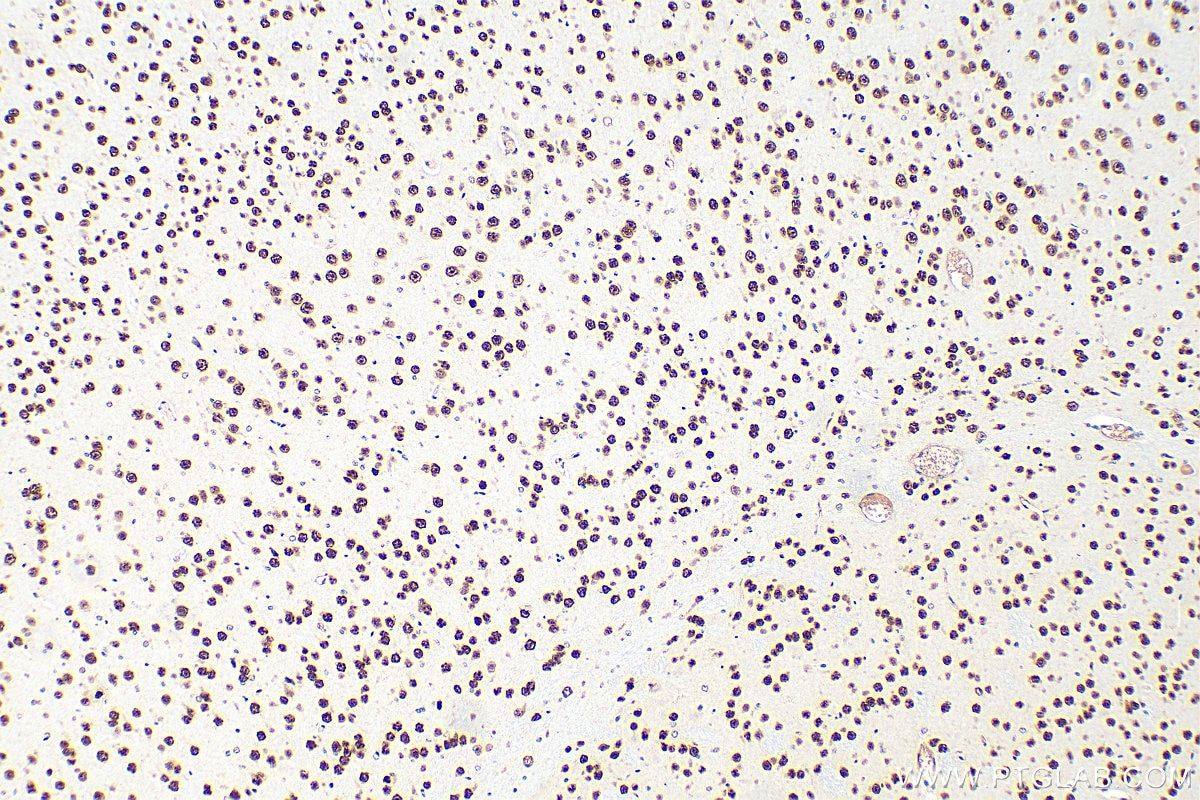
| Positive IHC detected in | mouse brain tissue Note: suggested antigen retrieval with TE buffer pH 9.0; (*) Alternatively, antigen retrieval may be performed with citrate buffer pH 6.0 |
| Positive IF/ICC detected in | HepG2 cells, A431 cells |
Recommended dilution
| Application | Dilution |
|---|---|
| Western Blot (WB) | WB : 1:500-1:1000 |
| Immunohistochemistry (IHC) | IHC : 1:400-1:1600 |
| Immunofluorescence (IF)/ICC | IF/ICC : 1:500-1:2000 |
| It is recommended that this reagent should be titrated in each testing system to obtain optimal results. | |
| Sample-dependent, Check data in validation data gallery. | |
Published Applications
| KD/KO | See 2 publications below |
| WB | See 13 publications below |
| IHC | See 2 publications below |
| IF | See 2 publications below |
Product Information
14353-1-AP targets MEF2D in WB, IHC, IF/ICC, ELISA applications and shows reactivity with human, mouse samples.
| Tested Reactivity | human, mouse |
| Cited Reactivity | human, mouse, rat, goat |
| Host / Isotype | Rabbit / IgG |
| Class | Polyclonal |
| Type | Antibody |
| Immunogen |
CatNo: Ag5700 Product name: Recombinant human MEF2D protein Source: e coli.-derived, PGEX-4T Tag: GST Domain: 167-514 aa of BC040949 Sequence: SLVTSSLTDPRLLSPQQPALQRNSVSPGLPQRPASAGAMLGGDLNSANGACPSPVGNGYVSARASPGLLPVANGNSLNKVIPAKSPPPPTHSTQLGAPSRKPDLRVITSQAGKGLMHHLNNAQRLGVSQSTHSLTTPVVSVATPSLLSQGLPFSSMPTAYNTDYQLTSAELSSLPAFSSPGGLSLGNVTAWQQPQQPQQPQQPQPPQQQPPQPQQPQPQQPQQPQQPPQQQSHLVPVSLSNLIPGSPLPHVGAALTVTTHPHISIKSEPVSPSRERSPAPPPPAVFPAARPEPGDGLSSPAGGSYETGDRDDGRGDFGPTLGLLRPAPEPEAEGSAVKRMRLDTWTLK Predict reactive species |
| Full Name | myocyte enhancer factor 2D |
| Calculated Molecular Weight | 56 kDa |
| Observed Molecular Weight | 55-60 kDa |
| GenBank Accession Number | BC040949 |
| Gene Symbol | MEF2D |
| Gene ID (NCBI) | 4209 |
| RRID | AB_2878046 |
| Conjugate | Unconjugated |
| Form | Liquid |
| Purification Method | Antigen affinity purification |
| UNIPROT ID | Q14814 |
| Storage Buffer | PBS with 0.02% sodium azide and 50% glycerol, pH 7.3. |
| Storage Conditions | Store at -20°C. Stable for one year after shipment. Aliquoting is unnecessary for -20oC storage. 20ul sizes contain 0.1% BSA. |
Background Information
MEF2D, also named as Myocyte-specific enhancer factor 2D, is a 521 amino acid protein, which belongs to the MEF2 family. MEF2D is expressed in t in myotubes and also in undifferentiated myoblasts. MEF2D as a transcriptional activator which binds specifically to the MEF2 element, found in numerous muscle-specific and stress-induced genes. MEF2D mediates cellular functions not only in skeletal and cardiac muscle development, but also in neuronal differentiation and survival. The calculated molecular weight of MEF2D is 55 kDa, but Phosphorylated MEF2D is 60 kDa.
Protocols
| Product Specific Protocols | |
|---|---|
| IF protocol for MEF2D antibody 14353-1-AP | Download protocol |
| IHC protocol for MEF2D antibody 14353-1-AP | Download protocol |
| WB protocol for MEF2D antibody 14353-1-AP | Download protocol |
| Standard Protocols | |
|---|---|
| Click here to view our Standard Protocols |
Publications
| Species | Application | Title |
|---|---|---|
Nat Commun Alternatively spliced exon regulates context-dependent MEF2D higher-order assembly during myogenesis | ||
Autophagy MEF2D-NR4A1-FAM134B2-mediated reticulophagy contributes to amino acid homeostasis | ||
Ecotoxicol Environ Saf GPX4 degradation via chaperone-mediated autophagy contributes to antimony-triggered neuronal ferroptosis. | ||
J Transl Med Extracellular vesicle miR-32 derived from macrophage promotes arterial calcification in mice with type 2 diabetes via inhibiting VSMC autophagy. | ||
Reviews
The reviews below have been submitted by verified Proteintech customers who received an incentive for providing their feedback.
FH Chao (Verified Customer) (03-12-2020) | Weak but predicted size band in adult mouse heart.
|











