Product Information
86760-3-PBS targets MINA in WB, IF/ICC, Indirect ELISA applications and shows reactivity with human samples.
| Tested Reactivity | human |
| Host / Isotype | Rabbit / IgG |
| Class | Recombinant |
| Type | Antibody |
| Immunogen |
CatNo: Ag2838 Product name: Recombinant human MINA protein Source: e coli.-derived, PGEX-4T Tag: GST Domain: 160-465 aa of BC014928 Sequence: SLVGSNVYITPAGSQGLPPHYDDVEVFILQLEGEKHWRLYHPTVPLAREYSVEAEERIGRPVHEFMLKPGDLLYFPRGTIHQADTPAGLAHSTHVTISTYQNNSWGDFLLDTISGLVFDTAKEDVELRTGIPRQLLLQVESTTVATRRLSGFLRTLADRLEGTKELLSSDMKKDFIMHRLPPYSAGDGAELSTPGGKLPRLDSVVRLQFKDHIVLTVLPDQDQSDETQEKMVYIYHSLKNSRETHMMGNEEETEFHGLRFPLSHLDALKQIWNSPAISVKDLKLTTDEEKESLVLSLWTECLIQVV Predict reactive species |
| Full Name | MYC induced nuclear antigen |
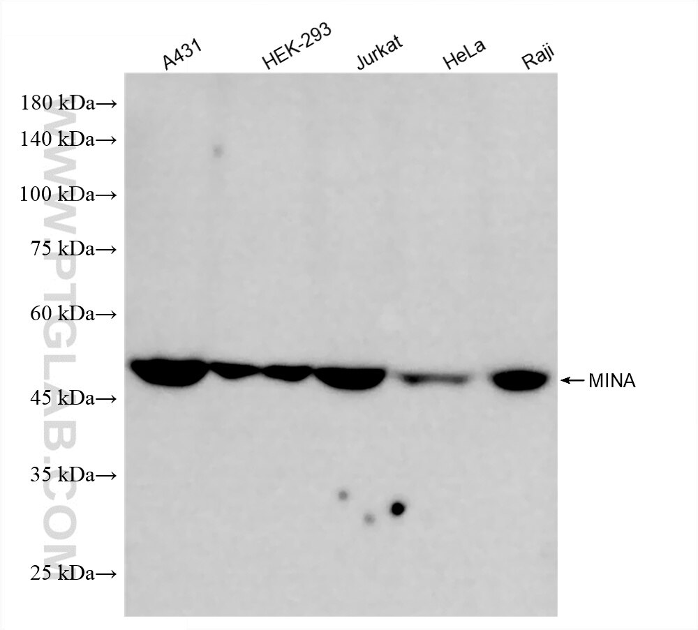
| Calculated Molecular Weight | 465 aa, 53 kDa |
| Observed Molecular Weight | 53 kDa |
| GenBank Accession Number | BC014928 |
| Gene Symbol | MINA |
| Gene ID (NCBI) | 84864 |
| Conjugate | Unconjugated |
| Form | Liquid |
| Purification Method | Protein A purification |
| UNIPROT ID | Q8IUF8 |
| Storage Buffer | PBS only, pH 7.3. |
| Storage Conditions | Store at -80°C. |
Background Information
MINA, also named as MDIG, MINA53 and NO52, belongs to the MINA53/NO66 family. It is involved in cellular proliferation. MINA may play an important role in cell growth and survival. It is involved in ribosome biogenesis, most likely during the assembly process of pre-ribosomal particles. The transcriptional repressor MINA has been shown to repress Il4 gene expression by directly binding to its promoter, thereby, controlling TH2 bias.(PMID:21499227)



