Tested Applications
| Positive WB detected in | HepG2 cells, mouse liver tissue, mouse testis tissue, rat liver tissue, U-87 MG cells |
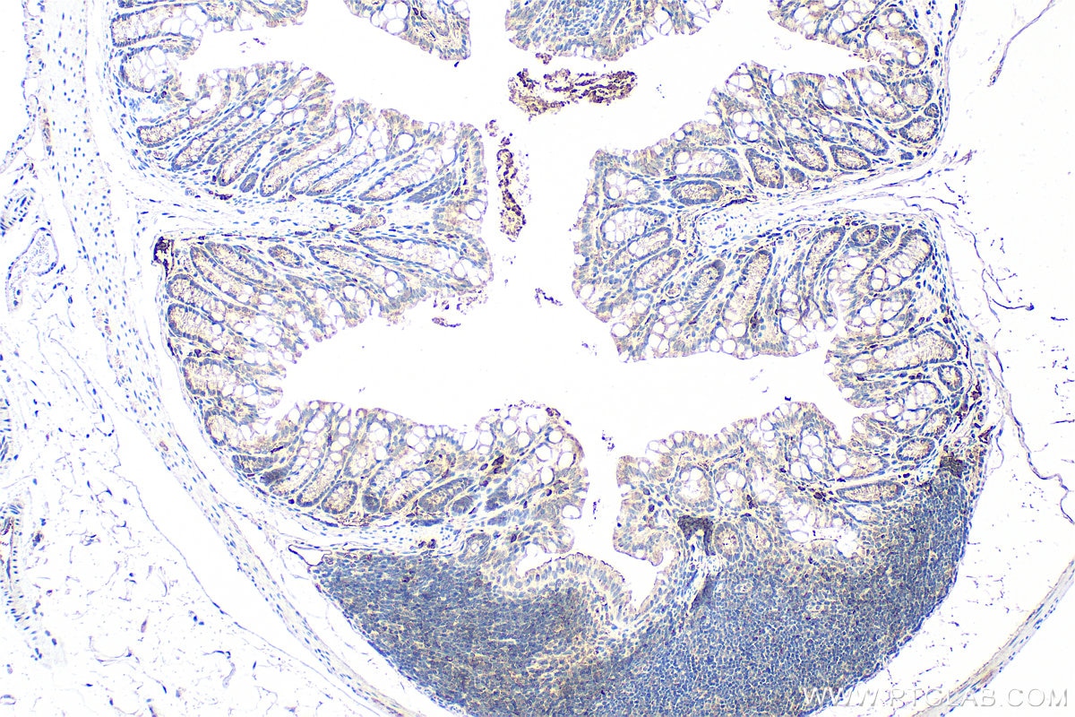
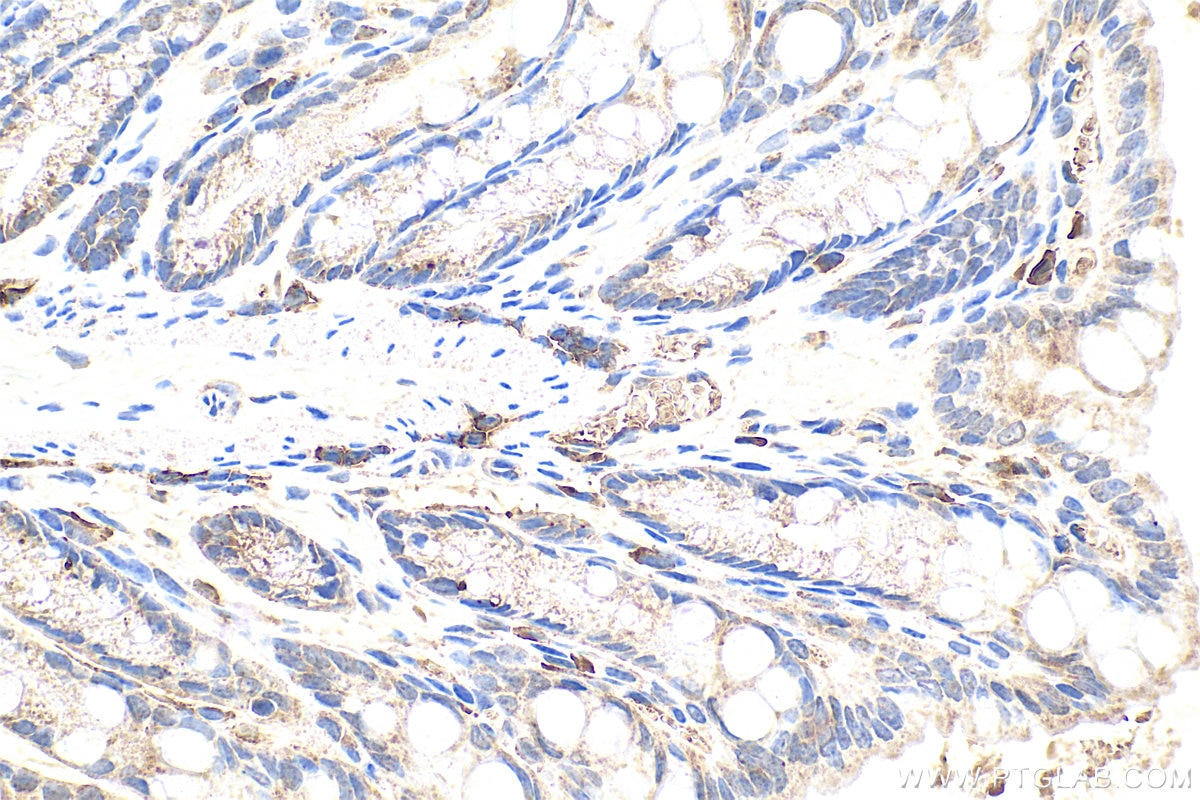
| Positive IHC detected in | mouse colon tissue, human colon tissue, human gliomas tissue Note: suggested antigen retrieval with TE buffer pH 9.0; (*) Alternatively, antigen retrieval may be performed with citrate buffer pH 6.0 |
| Positive IF/ICC detected in | HepG2 cells |
Recommended dilution
| Application | Dilution |
|---|---|
| Western Blot (WB) | WB : 1:1000-1:8000 |
| Immunohistochemistry (IHC) | IHC : 1:50-1:500 |
| Immunofluorescence (IF)/ICC | IF/ICC : 1:10-1:100 |
| It is recommended that this reagent should be titrated in each testing system to obtain optimal results. | |
| Sample-dependent, Check data in validation data gallery. | |
Published Applications
| KD/KO | See 1 publications below |
| WB | See 1 publications below |
| IHC | See 2 publications below |
Product Information
13186-1-AP targets MLF1IP in WB, IHC, IF/ICC, ELISA applications and shows reactivity with human, mouse, rat samples.
| Tested Reactivity | human, mouse, rat |
| Cited Reactivity | human |
| Host / Isotype | Rabbit / IgG |
| Class | Polyclonal |
| Type | Antibody |
| Immunogen |
CatNo: Ag3858 Product name: Recombinant human MLF1IP protein Source: e coli.-derived, PGEX-4T Tag: GST Domain: 243-418 aa of BC031520 Sequence: MKTSDIKELNIVLPEFEKTHLEHQQRIESKVCKAAIATFYVNVKEQFIKMLKESQMLTNLKRKNAKMISDIEKKRQRMIEVQDELLRLEPQLKQLQTKYDELKERKSSLRNAAYFLSNLKQLYQDYSDVQAQEPNVKETYDSSSLPALLFKARTLLGAESHLRNINHQLEKLLDQG Predict reactive species |
| Full Name | MLF1 interacting protein |
| Calculated Molecular Weight | 418 aa, 48 kDa |
| Observed Molecular Weight | 46-50 kDa, 60 kDa |
| GenBank Accession Number | BC031520 |
| Gene Symbol | MLF1IP |
| Gene ID (NCBI) | 79682 |
| RRID | AB_10642941 |
| Conjugate | Unconjugated |
| Form | Liquid |
| Purification Method | Antigen affinity purification |
| UNIPROT ID | Q71F23 |
| Storage Buffer | PBS with 0.02% sodium azide and 50% glycerol, pH 7.3. |
| Storage Conditions | Store at -20°C. Stable for one year after shipment. Aliquoting is unnecessary for -20oC storage. 20ul sizes contain 0.1% BSA. |
Background Information
MLF1IP, also named as CENPU, ICEN24, KLIP1 and PBIP1, belongs to the CENP-U/AME1 family. MLF1IP plays an important role in assembly of kinetochore proteins, mitotic progression and chromosome segregation. Moreover, MLF1IP has been shown to be involved in tumorigenesis in several types of cancer including glioblastoma, prostate cancer and luminal breast cancer (PMID: 27378428). MLF1IP has 3 isoforms with the molecular mass of 21, 38 and 47 kDa.
Protocols
| Product Specific Protocols | |
|---|---|
| IF protocol for MLF1IP antibody 13186-1-AP | Download protocol |
| IHC protocol for MLF1IP antibody 13186-1-AP | Download protocol |
| WB protocol for MLF1IP antibody 13186-1-AP | Download protocol |
| Standard Protocols | |
|---|---|
| Click here to view our Standard Protocols |
Publications
| Species | Application | Title |
|---|---|---|
Cell Signal Overexpression of MLF1IP promotes colorectal cancer cell proliferation through BRCA1/AKT/p27 signaling pathway.
| ||
Int J Mol Med CENPU promotes tumorigenesis and stem cell properties in triple‑negative breast cancer by suppressing lysosomal furin degradation. |



















