Tested Applications
| Positive WB detected in | MCF-7 cells, human liver tissue |
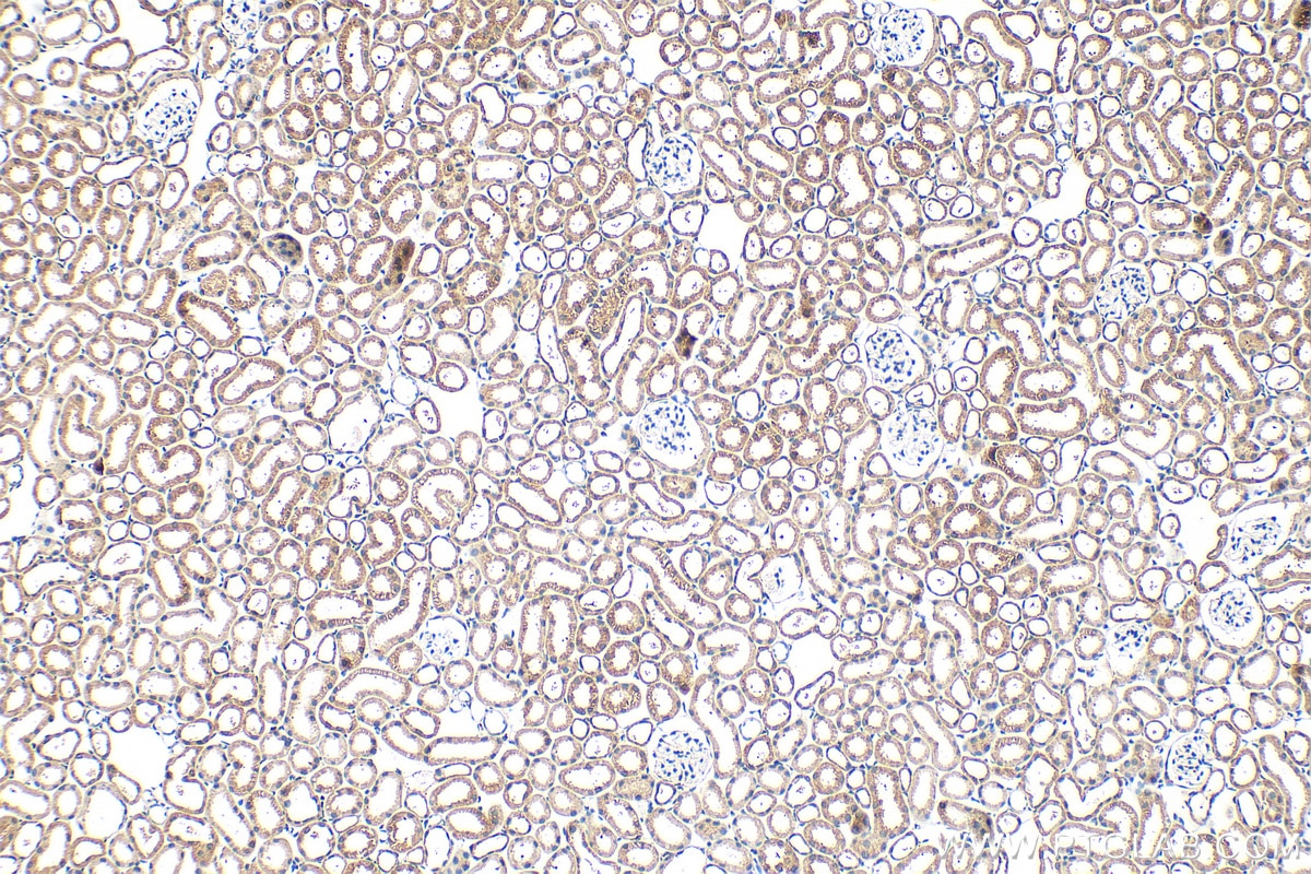
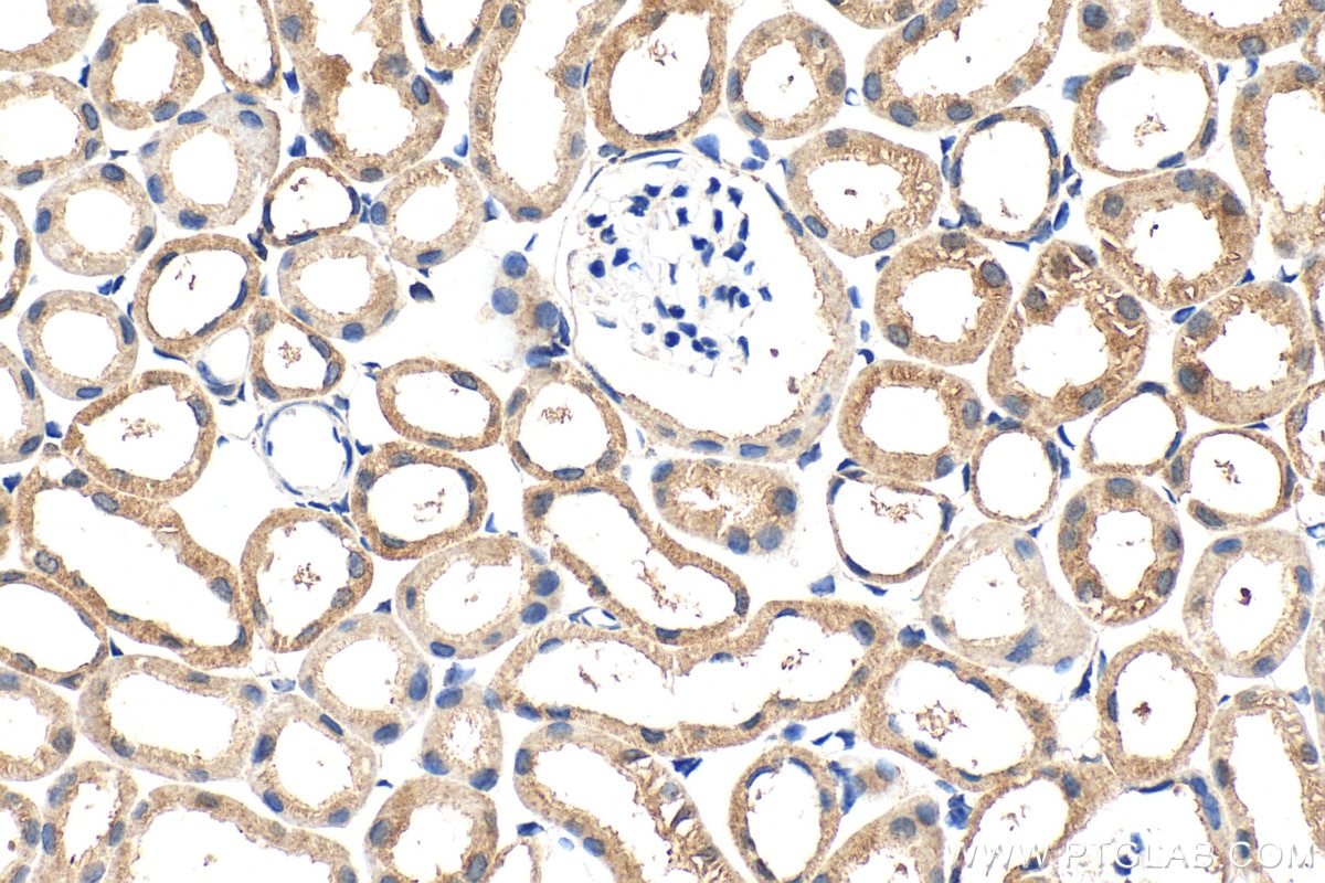
| Positive IHC detected in | mouse kidney tissue Note: suggested antigen retrieval with TE buffer pH 9.0; (*) Alternatively, antigen retrieval may be performed with citrate buffer pH 6.0 |
| Positive IF/ICC detected in | MCF-7 cells |
Recommended dilution
| Application | Dilution |
|---|---|
| Western Blot (WB) | WB : 1:500-1:2000 |
| Immunohistochemistry (IHC) | IHC : 1:50-1:500 |
| Immunofluorescence (IF)/ICC | IF/ICC : 1:50-1:500 |
| It is recommended that this reagent should be titrated in each testing system to obtain optimal results. | |
| Sample-dependent, Check data in validation data gallery. | |
Published Applications
| KD/KO | See 2 publications below |
| WB | See 10 publications below |
| CoIP | See 1 publications below |
Product Information
15650-1-AP targets MTO1 in WB, IHC, IF/ICC, CoIP, ELISA applications and shows reactivity with human, mouse samples.
| Tested Reactivity | human, mouse |
| Cited Reactivity | human |
| Host / Isotype | Rabbit / IgG |
| Class | Polyclonal |
| Type | Antibody |
| Immunogen |
CatNo: Ag8192 Product name: Recombinant human MTO1 protein Source: e coli.-derived, PGEX-4T Tag: GST Domain: 304-653 aa of BC005808 Sequence: LEKAKVIQPDGVLLLLPRMECNGAISAHHNLPLPGYGVQYDYLDPRQITPSLETHLVQRLFFAGQINGTTGYEEAAAQGVIAGINASLRVSRKPPFVVSRTEGYIGVLIDDLTTLGTSEPYRMFTSRVEFRLSLRPDNADSRLTLRGYKDAGCVSQQRYERACWMKSSLEEGISVLKSIEFLSSKWKKLIPEASISTSRSLPVRALDVLKYEEVDMDSLAKAVPEPLKKYTKCRELAERLKIEATYESVLFHQLQEIKGVQQDEALQLPKDLDYLTIRDVSLSHEVREKLHFSRPQTIGAASRIPGVTPAAIINLLRFVKTTQRRQSAMNESSKTDQYLCDADRLQEREL Predict reactive species |
| Full Name | mitochondrial translation optimization 1 homolog (S. cerevisiae) |
| Calculated Molecular Weight | 717 aa, 80 kDa |
| Observed Molecular Weight | 70-75 kDa |
| GenBank Accession Number | BC005808 |
| Gene Symbol | MTO1 |
| Gene ID (NCBI) | 25821 |
| RRID | AB_2266805 |
| Conjugate | Unconjugated |
| Form | Liquid |
| Purification Method | Antigen affinity purification |
| UNIPROT ID | Q9Y2Z2 |
| Storage Buffer | PBS with 0.02% sodium azide and 50% glycerol, pH 7.3. |
| Storage Conditions | Store at -20°C. Stable for one year after shipment. Aliquoting is unnecessary for -20oC storage. 20ul sizes contain 0.1% BSA. |
Protocols
| Product Specific Protocols | |
|---|---|
| IF protocol for MTO1 antibody 15650-1-AP | Download protocol |
| IHC protocol for MTO1 antibody 15650-1-AP | Download protocol |
| WB protocol for MTO1 antibody 15650-1-AP | Download protocol |
| Standard Protocols | |
|---|---|
| Click here to view our Standard Protocols |
Publications
| Species | Application | Title |
|---|---|---|
Nucleic Acids Res Restoration of mitochondrial function through activation of hypomodified tRNAs with pathogenic mutations associated with mitochondrial diseases | ||
Nat Commun RNA modification landscape of the human mitochondrial tRNALys regulates protein synthesis. | ||
Nucleic Acids Res The human tRNA taurine modification enzyme GTPBP3 is an active GTPase linked to mitochondrial diseases. | ||
J Hepatol Severe respiratory complex III defect prevents liver adaptation to prolonged fasting. | ||
Am J Hum Genet Mutations of the mitochondrial-tRNA modifier MTO1 cause hypertrophic cardiomyopathy and lactic acidosis. | ||
Hum Mol Genet Altered 2-thiouridylation impairs mitochondrial translation in reversible infantile respiratory chain deficiency. |









