Product Information
86899-1-PBS targets MTX2 as part of a matched antibody pair:
MP02767-1: 86899-3-PBS capture and 86899-1-PBS detection (validated in Cytometric bead array)
Unconjugated rabbit recombinant monoclonal antibody in PBS only (BSA and azide free) storage buffer at a concentration of 1 mg/mL, ready for conjugation. Created using Proteintech’s proprietary in-house recombinant technology. Recombinant production enables unrivalled batch-to-batch consistency, easy scale-up, and future security of supply.
This conjugation ready format makes antibodies ideal for use in many applications including: ELISAs, multiplex assays requiring matched pairs, mass cytometry, and multiplex imaging applications.Antibody use should be optimized by the end user for each application and assay.
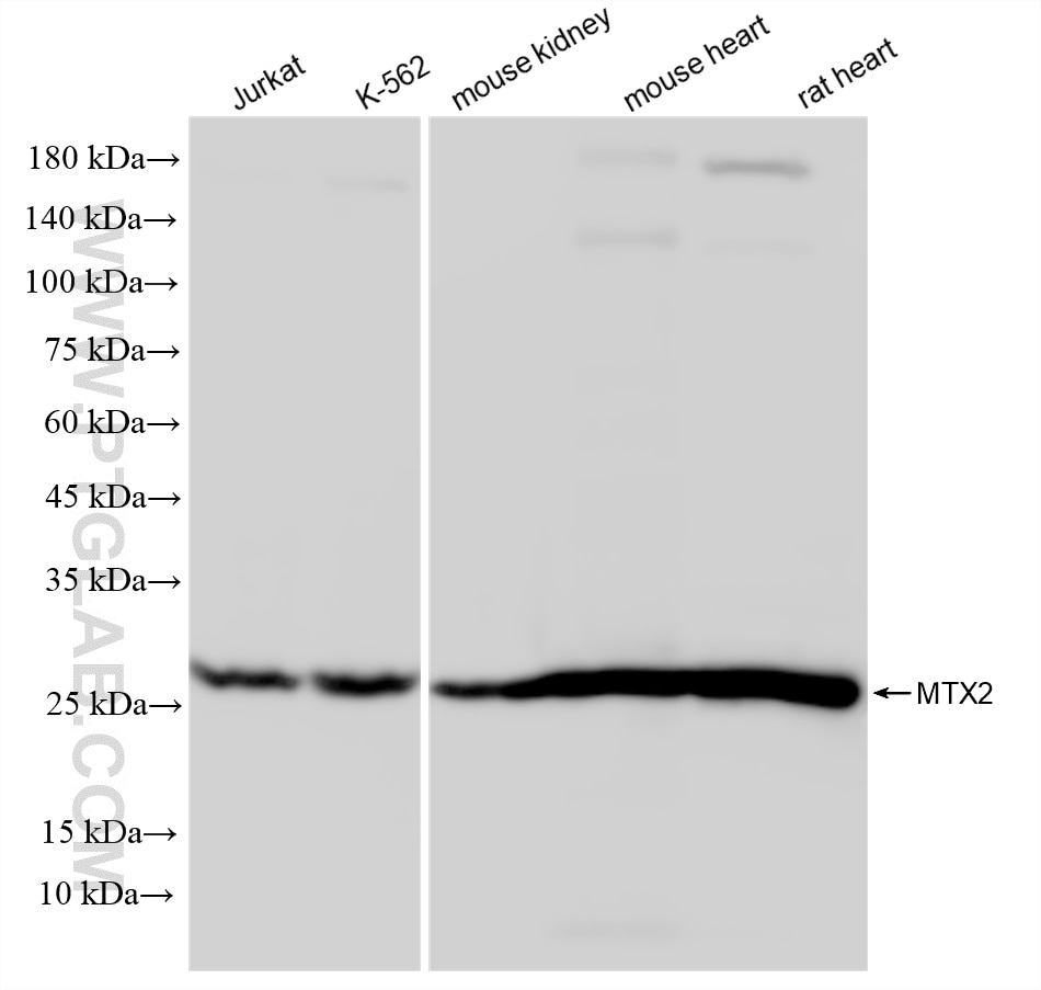
| Tested Reactivity | human, mouse, rat |
| Host / Isotype | Rabbit / IgG |
| Class | Recombinant |
| Type | Antibody |
| Immunogen |
CatNo: Ag2181 Product name: Recombinant human MTX2 protein Source: e coli.-derived, PGEX-4T Tag: GST Domain: 1-253 aa of BC017271 Sequence: MYIAAEPWPENATLYQQLKGEQILLSDNAASLAVQAFLQMCNLPIKVVCRANAEYMSPSGKVPFIHVGNQVVSELGPIVQFVKAKGHSLSDGLEEVQKAEMKAYMELVNNMLLTAELYLQWCDEATVGEITHARYGSPYPWPLNHILAYQKQWEVKRKMKAIGWGKKTLDQVLEDVDQCCQALSQRLGTQPYFFNKQPTELDALVFGHLYTILTTQLTNDELSEKVKNYSNLLAFCRRIEQHYFEDRGKGRLS Predict reactive species |
| Full Name | metaxin 2 |
| Calculated Molecular Weight | 263 aa, 30 kDa |
| Observed Molecular Weight | 25-29 kDa |
| GenBank Accession Number | BC017271 |
| Gene Symbol | MTX2 |
| Gene ID (NCBI) | 10651 |
| Conjugate | Unconjugated |
| Form | Liquid |
| Purification Method | Protein A purification |
| UNIPROT ID | O75431 |
| Storage Buffer | PBS only, pH 7.3. |
| Storage Conditions | Store at -80°C. |









