Tested Applications
| Positive WB detected in | MG132 treated HCT 116 cells, MG132 treated NIH/3T3 cells, MG132 treated HepG2 cells |
Recommended dilution
| Application | Dilution |
|---|---|
| Western Blot (WB) | WB : 1:5000-1:50000 |
| It is recommended that this reagent should be titrated in each testing system to obtain optimal results. | |
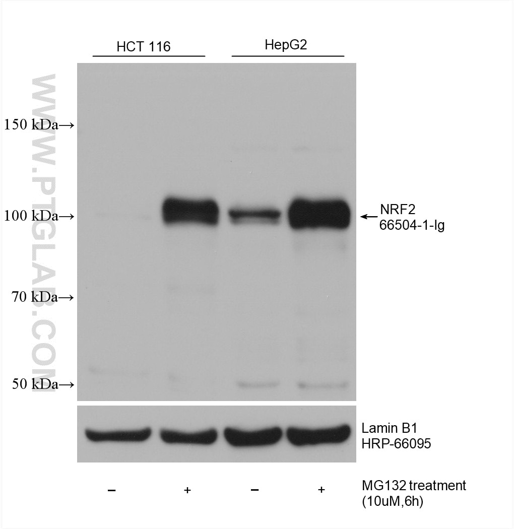
| Sample-dependent, Check data in validation data gallery. | |
Published Applications
| KD/KO | See 15 publications below |
| WB | See 110 publications below |
| IHC | See 8 publications below |
| IF | See 23 publications below |
| IP | See 1 publications below |
| CoIP | See 4 publications below |
| ChIP | See 1 publications below |
Product Information
66504-1-Ig targets NRF2, NFE2L2 in WB, IHC, IF, IP, CoIP, ChIP, ELISA applications and shows reactivity with human, mouse samples.
| Tested Reactivity | human, mouse |
| Cited Reactivity | human, mouse, rat, pig, zebrafish |
| Host / Isotype | Mouse / IgG2b |
| Class | Monoclonal |
| Type | Antibody |
| Immunogen |
CatNo: Ag9469 Product name: Recombinant human NRF2, NFE2L2 protein Source: e coli.-derived, PET28a Tag: 6*His Domain: 256-605 aa of BC011558 Sequence: SILSTEDPNQLTVNSLNSDATVNTDFGDEFYSAFIAEPSISNSMPSPATLSHSLSELLNGPIDVSDLSLCKAFNQNHPESTAEFNDSDSGISLNTSPSVASPEHSVESSSYGDTLLGLSDSEVEELDSAPGSVKQNGPKTPVHSSGDMVQPLSPSQGQSTHVHDAQCENTPEKELPVSPGHRKTPFTKDKHSSRLEAHLTRDELRAKALHIPFPVEKIINLPVVDFNEMMSKEQFNEAQLALIRDIRRRGKNKVAAQNCRKRKLENIVELEQDLDHLKDEKEKLLKEKGENDKSLHLLKKQLSTLYLEVFSMLRDEDGKPYSPSEYSLQQTRDGNVFLVPKSKKPDVKKN Predict reactive species |
| Full Name | nuclear factor (erythroid-derived 2)-like 2 |
| Calculated Molecular Weight | 605 aa, 68 kDa |
| Observed Molecular Weight | 110 kDa |
| GenBank Accession Number | BC011558 |
| Gene Symbol | NRF2 |
| Gene ID (NCBI) | 4780 |
| RRID | AB_2881867 |
| Conjugate | Unconjugated |
| Form | Liquid |
| Purification Method | Protein A purification |
| UNIPROT ID | Q16236 |
| Storage Buffer | PBS with 0.02% sodium azide and 50% glycerol, pH 7.3. |
| Storage Conditions | Store at -20°C. Stable for one year after shipment. Aliquoting is unnecessary for -20oC storage. 20ul sizes contain 0.1% BSA. |
Background Information
NRF2, also named as NFE2L2, belongs to the bZIP family and CNC subfamily. It is a transcription activator that binds to antioxidant response (ARE) elements in the promoter regions of target genes. NRF2 is important for the coordinated up-regulation of genes in response to oxidative stress. It may be involved in the transcriptional activation of genes of the beta-globin cluster by mediating enhancer activity of hypersensitive site 2 of the beta-globin locus control region. Nrf2 is a key player in the regulation of genes encoding for many antioxidative response enzymes.The expression of NRF2 may be induced under oxidative stress (PMID:14567983).In lung cancer, Nrf2 activation in malignant cells has been associated with tumor progression and chemotherapy resistance(PMID:20534738). Identifying patients with abnormal NRF2 expression may be important for selection for chemotherapy in NSCLC. As new investigators break into the emerging field of Nrf2 research, confusion regarding the correct migratory pattern of Nrf2 is causing doubts about the accuracy and reproducibility of published results. This letter provides solid evidence that the actually observed molecular weight of Nrf2 is about 70kDa and 95-110 kDa. (PMID: 22703241).
Protocols
| Product Specific Protocols | |
|---|---|
| WB protocol for NRF2, NFE2L2 antibody 66504-1-Ig | Download protocol |
| Standard Protocols | |
|---|---|
| Click here to view our Standard Protocols |
Publications
| Species | Application | Title |
|---|---|---|
J Clin Invest FAM117B promotes gastric cancer growth and drug resistance by targeting the KEAP1/NRF2 signaling pathway | ||
Nat Commun Pyridoxine induces glutathione synthesis via PKM2-mediated Nrf2 transactivation and confers neuroprotection. | ||
Aging Cell Lysyl oxidase-like 2 inhibitor rescues D-galactose-induced skeletal muscle fibrosis. | ||
Redox Biol Inhibition of STAT3-ferroptosis negative regulatory axis suppresses tumor growth and alleviates chemoresistance in gastric cancer. | ||
Cell Rep Targeting CXCR1 alleviates hyperoxia-induced lung injury through promoting glutamine metabolism | ||
Phytomedicine Tiliroside targets TBK1 to induce ferroptosis and sensitize hepatocellular carcinoma to sorafenib
|
Reviews
The reviews below have been submitted by verified Proteintech customers who received an incentive for providing their feedback.
FH Shunbin (Verified Customer) (05-14-2024) | Two specific bands without background. Great!
![]() |
FH Shinford (Verified Customer) (10-26-2023) | In tissues, we observed bands at varying positions, but in cancer cell lines, the bands appeared significantly clearer. The optimal concentration was found to be 1:1000.
![]() |





