Tested Applications
| Positive IP detected in | HL-60 cells |
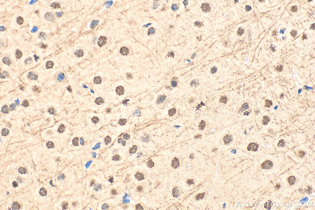
| Positive IHC detected in | mouse brain tissue Note: suggested antigen retrieval with TE buffer pH 9.0; (*) Alternatively, antigen retrieval may be performed with citrate buffer pH 6.0 |
Recommended dilution
| Application | Dilution |
|---|---|
| Immunoprecipitation (IP) | IP : 0.5-4.0 ug for 1.0-3.0 mg of total protein lysate |
| Immunohistochemistry (IHC) | IHC : 1:200-1:800 |
| It is recommended that this reagent should be titrated in each testing system to obtain optimal results. | |
| Sample-dependent, Check data in validation data gallery. | |
Product Information
18107-1-AP targets PHACTR3 in IHC, IP, ELISA applications and shows reactivity with human, mouse samples.
| Tested Reactivity | human, mouse |
| Host / Isotype | Rabbit / IgG |
| Class | Polyclonal |
| Type | Antibody |
| Immunogen |
CatNo: Ag12486 Product name: Recombinant human PHACTR3 protein Source: e coli.-derived, PET28a Tag: 6*His Domain: 211-559 aa of BC108303 Sequence: ADSLDSPPRPLERSVGQLPSPPLLPTPPPKASSKTTKNVTGQATLFQASSMKSADPSLRGQLSTPTGSPHLTTVHRPLPPSRVIEELHRALATKHRQDSFQGRESKGSPKKRLDVRLSRTSSVERGKEREEAWSFDGALENKRTAAKESEENKENLIINSELKDDLLLYQDEEALNDSIISGTLPRKCKKELLAVKLRNRPSKQELEDRNIFPRRTDEERQEIRQQIEMKLSKRLSQRPAVEELERRNILKQRNDQTEQEERREIKQRLTRKLNQRPTVDELRDRKILIRFSDYVEVAKAQDYDRRADKPWTRLSAADKAAIRKELNEYKSNEMEVHASSKHLTRFHRP Predict reactive species |
| Full Name | phosphatase and actin regulator 3 |
| Calculated Molecular Weight | 559 aa, 63 kDa |
| Observed Molecular Weight | 60 kDa and 75 kDa |
| GenBank Accession Number | BC108303 |
| Gene Symbol | PHACTR3 |
| Gene ID (NCBI) | 116154 |
| RRID | AB_3669291 |
| Conjugate | Unconjugated |
| Form | Liquid |
| Purification Method | Antigen affinity purification |
| UNIPROT ID | Q96KR7 |
| Storage Buffer | PBS with 0.02% sodium azide and 50% glycerol, pH 7.3. |
| Storage Conditions | Store at -20°C. Stable for one year after shipment. Aliquoting is unnecessary for -20oC storage. 20ul sizes contain 0.1% BSA. |
Background Information
PHACTR3 was originally named as the nuclear scaffold-associated PP1-inhibiting protein (Scapinin), which is found in the nuclear insoluble fraction of the leukemia cell line HL-60. However, PHACTR3 is distributed to the plasma membrane in adherent cells, and it enhances cell migration (PMID: 25405772). In humans, there are two PHACTR3 isoforms that are 75 kDa and 60 kDa, respectively (PMID: 32423795).
Protocols
| Product Specific Protocols | |
|---|---|
| IHC protocol for PHACTR3 antibody 18107-1-AP | Download protocol |
| IP protocol for PHACTR3 antibody 18107-1-AP | Download protocol |
| Standard Protocols | |
|---|---|
| Click here to view our Standard Protocols |





