Tested Applications
| Positive WB detected in | ROS1728 cells, mouse liver tissue |
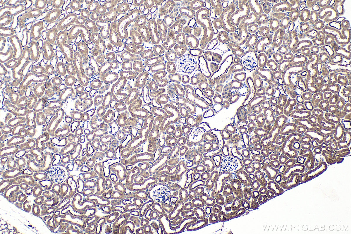
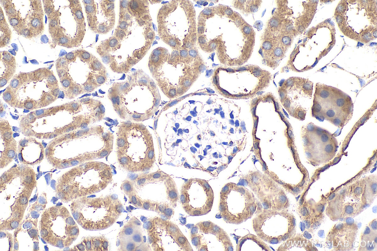
| Positive IHC detected in | mouse kidney tissue, human liver cancer tissue, human breast cancer tissue Note: suggested antigen retrieval with TE buffer pH 9.0; (*) Alternatively, antigen retrieval may be performed with citrate buffer pH 6.0 |
Recommended dilution
| Application | Dilution |
|---|---|
| Western Blot (WB) | WB : 1:500-1:2000 |
| Immunohistochemistry (IHC) | IHC : 1:50-1:500 |
| It is recommended that this reagent should be titrated in each testing system to obtain optimal results. | |
| Sample-dependent, Check data in validation data gallery. | |
Published Applications
| WB | See 2 publications below |
Product Information
16202-1-AP targets PLEKHM1 in WB, IHC, ELISA applications and shows reactivity with human, mouse, rat samples.
| Tested Reactivity | human, mouse, rat |
| Cited Reactivity | human, mouse |
| Host / Isotype | Rabbit / IgG |
| Class | Polyclonal |
| Type | Antibody |
| Immunogen |
CatNo: Ag9145 Product name: Recombinant human PLEKHM1 protein Source: e coli.-derived, PGEX-4T Tag: GST Domain: 708-1056 aa of BC064361 Sequence: EALKCFRIRNNEKMLSDSHGVETIRDILPDTSLGGPSFFKIITAKAVLKLQAGNAEEAALWRDLVRKVLASYLETAEEAVTLGGSLDENCQEVLKFATRENGFLLQYLVAIPMEKGLDSQGCFCAGCSRQIGFSFVRPKLCAFSGLYYCDICHQDDASVIPARIIHNWDLTKRPICRQALKFLTQIRAQPLINLQMVNASLYEHVERMHLIGRRREQLKLLGDYLGLCRSGALKELSKRLNHRNYLLESPHRFSVADLQQIADGVYEGFLKALIEFASQHVYHCDLCTQRGFICQICQHHDIIFPFEFDTTVRCAECKTVFHQSCQAVVKKGCPRCARRRKYQEQNIFA Predict reactive species |
| Full Name | pleckstrin homology domain containing, family M (with RUN domain) member 1 |
| Calculated Molecular Weight | 117 kDa |
| Observed Molecular Weight | 117 kDa |
| GenBank Accession Number | BC064361 |
| Gene Symbol | PLEKHM1 |
| Gene ID (NCBI) | 9842 |
| RRID | AB_2878228 |
| Conjugate | Unconjugated |
| Form | Liquid |
| Purification Method | Antigen affinity purification |
| UNIPROT ID | Q9Y4G2 |
| Storage Buffer | PBS with 0.02% sodium azide and 50% glycerol, pH 7.3. |
| Storage Conditions | Store at -20°C. Stable for one year after shipment. Aliquoting is unnecessary for -20oC storage. 20ul sizes contain 0.1% BSA. |
Background Information
PLEKHM1, also known as AP162, OPTB6, belongs to the Pleckstrin homology domain protein family. PLEKHM1 functions as a multivalent adapter protein that regulates Rab7-dependent and HOPS complex-dependent fusion events within the endolysosomal system, thereby coupling autophagic and endocytic trafficking pathways. In osteoclasts, PLEKHM1 is crucial for bone resorption by regulating the vesicle transport process and ensuring the formation of the ruffled border.
Protocols
| Product Specific Protocols | |
|---|---|
| IHC protocol for PLEKHM1 antibody 16202-1-AP | Download protocol |
| WB protocol for PLEKHM1 antibody 16202-1-AP | Download protocol |
| Standard Protocols | |
|---|---|
| Click here to view our Standard Protocols |
Publications
| Species | Application | Title |
|---|---|---|
Autophagy SDC1-dependent TGM2 determines radiosensitivity in glioblastoma by coordinating EPG5-mediated fusion of autophagosomes with lysosomes | ||
Nutrients Improving Lipophagy by Restoring Rab7 Cycle: Protective Effects of Quercetin on Ethanol-Induced Liver Steatosis. | ||
Cell Biol Toxicol Downregulation of MYBL1 in endothelial cells contributes to atherosclerosis by repressing PLEKHM1-inducing autophagy |

















