Tested Applications
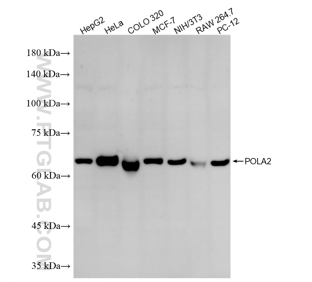
| Positive WB detected in | HepG2 cells, HeLa cells, COLO 320 cells, MCF-7 cells, NIH/3T3 cells, RAW 264.7 cells, PC-12 cells |
| Positive IF/ICC detected in | HeLa cells |
Recommended dilution
| Application | Dilution |
|---|---|
| Western Blot (WB) | WB : 1:5000-1:50000 |
| Immunofluorescence (IF)/ICC | IF/ICC : 1:250-1:1000 |
| It is recommended that this reagent should be titrated in each testing system to obtain optimal results. | |
| Sample-dependent, Check data in validation data gallery. | |
Product Information
86856-1-RR targets POLA2 in WB, IF/ICC, ELISA applications and shows reactivity with human, mouse, rat samples.
| Tested Reactivity | human, mouse, rat |
| Host / Isotype | Rabbit / IgG |
| Class | Recombinant |
| Type | Antibody |
| Immunogen |
CatNo: Ag0271 Product name: Recombinant human POLA2 protein Source: e coli.-derived, PGEX-4T Tag: GST Domain: 17-275 aa of BC001347 Sequence: LDCEEALIEKLVELCVQYGQNEEGMVGELIAFCTSTHKVGLTSEILNSFEHEFLSKRLSKARHSTCKDSGHAGARDIVSIQELIEVEEEEEILLNSYTTPSKGSQKRAISTPETPLTKRSVSTRSPHQLLSPSSFSPSATPSQKYNSRSNRGEVVTSFGLAQGVSWSGRGGAGNISLKVLGCPEALTGSYKSMFQKLPDIREVLTCKIEELGSELKEHYKIEAFTPLLAPAQEPVTLLGQIGCDSNGKLNNKSVILEGD Predict reactive species |
| Full Name | polymerase (DNA directed), alpha 2 (70kD subunit) |
| Calculated Molecular Weight | 70 kDa |
| Observed Molecular Weight | 68-70 kDa |
| GenBank Accession Number | BC001347 |
| Gene Symbol | POLA2 |
| Gene ID (NCBI) | 23649 |
| RRID | AB_3745166 |
| Conjugate | Unconjugated |
| Form | Liquid |
| Purification Method | Protein A purification |
| UNIPROT ID | Q14181 |
| Storage Buffer | PBS with 0.02% sodium azide and 50% glycerol, pH 7.3. |
| Storage Conditions | Store at -20°C. Stable for one year after shipment. Aliquoting is unnecessary for -20oC storage. 20ul sizes contain 0.1% BSA. |
Background Information
POLA2 (DNA polymerase α subunit B) is the non-catalytic regulatory subunit of DNA polymerase α (Polα-primase complex). It connects the catalytic subunit POLA1 to the primase subunits PRIM1/PRIM2, stabilizing the tetrameric complex and ensuring primer synthesis and translocation to the polymerase active site to initiate DNA replication. This protein is expressed in the cell nucleus and is crucial for DNA replication and cell cycle progression in eukaryotes.
Protocols
| Product Specific Protocols | |
|---|---|
| IF protocol for POLA2 antibody 86856-1-RR | Download protocol |
| WB protocol for POLA2 antibody 86856-1-RR | Download protocol |
| Standard Protocols | |
|---|---|
| Click here to view our Standard Protocols |





