Tested Applications
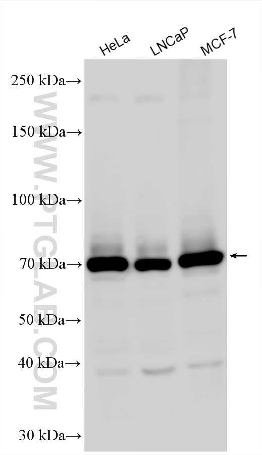
| Positive WB detected in | HeLa cells, MCF-7 cells, LNCaP cells |
| Positive IP detected in | HeLa cells |
| Positive IHC detected in | human breast cancer tissue, human lung cancer tissue Note: suggested antigen retrieval with TE buffer pH 9.0; (*) Alternatively, antigen retrieval may be performed with citrate buffer pH 6.0 |
| Positive IF/ICC detected in | HeLa cells |
| Positive FC (Intra) detected in | HeLa cells |
Recommended dilution
| Application | Dilution |
|---|---|
| Western Blot (WB) | WB : 1:2000-1:12000 |
| Immunoprecipitation (IP) | IP : 0.5-4.0 ug for 1.0-3.0 mg of total protein lysate |
| Immunohistochemistry (IHC) | IHC : 1:50-1:500 |
| Immunofluorescence (IF)/ICC | IF/ICC : 1:200-1:800 |
| Flow Cytometry (FC) (INTRA) | FC (INTRA) : 0.20 ug per 10^6 cells in a 100 µl suspension |
| It is recommended that this reagent should be titrated in each testing system to obtain optimal results. | |
| Sample-dependent, Check data in validation data gallery. | |
Published Applications
| KD/KO | See 4 publications below |
| WB | See 8 publications below |
| IHC | See 5 publications below |
| IF | See 4 publications below |
| IP | See 2 publications below |
| CoIP | See 1 publications below |
Product Information
13883-1-AP targets PKC Iota in WB, IHC, IF/ICC, FC (Intra), IP, CoIP, ELISA applications and shows reactivity with human samples.
| Tested Reactivity | human |
| Cited Reactivity | human, mouse, chicken |
| Host / Isotype | Rabbit / IgG |
| Class | Polyclonal |
| Type | Antibody |
| Immunogen |
CatNo: Ag4990 Product name: Recombinant human PRKCI protein Source: e coli.-derived, PGEX-4T Tag: GST Domain: 238-587 aa of BC022016 Sequence: SSLGLQDFDLLRVIGRGSYAKVLLVRLKKTDRIYAMKVVKKELVNDDEDIDWVQTEKHVFEQASNHPFLVGLHSCFQTESRLFFVIEYVNGGDLMFHMQRQRKLPEEHARFYSAEISLALNYLHERGIIYRDLKLDNVLLDSEGHIKLTDYGMCKEGLRPGDTTSTFCGTPNYIAPEILRGEDYGFSVDWWALGVLMFEMMAGRSPFDIVGSSDNPDQNTEDYLFQVILEKQIRIPRSMSVKAASVLKSFLNKDPKERLGCLPQTGFADIQGHPFFRNVDWDMMEQKQVVPPFKPNISGEFGLDNFDSQFTNERVQLTPDDDDIVRKIDQSEFEGFEYINPLLMSAEECV Predict reactive species |
| Full Name | protein kinase C, iota |
| Calculated Molecular Weight | 68 kDa |
| Observed Molecular Weight | 67 kDa |
| GenBank Accession Number | BC022016 |
| Gene Symbol | PKC Iota |
| Gene ID (NCBI) | 5584 |
| RRID | AB_2171777 |
| Conjugate | Unconjugated |
| Form | Liquid |
| Purification Method | Antigen affinity purification |
| UNIPROT ID | P41743 |
| Storage Buffer | PBS with 0.02% sodium azide and 50% glycerol, pH 7.3. |
| Storage Conditions | Store at -20°C. Stable for one year after shipment. Aliquoting is unnecessary for -20oC storage. 20ul sizes contain 0.1% BSA. |
Background Information
The atypical protein kinase C isoform PRKC iota (PRKCI) is a member of the protein kinase C (PKC) family of serine/threonine protein kinases. PKC family comprises at least eight members, which are differentially expressed and are involved in a wide variety of cellular processes. PRKC iota is calcium-independent and phospholipid-dependent. It is not activated by phorbolesters or diacylglycerol. This kinase can be recruited to vesicle tubular clusters (VTCs) by direct interaction with the small GTPase RAB2, where this kinase phosphorylates glyceraldehyde-3-phosphate dehydrogenase (GAPD/GAPDH) and plays a role in microtubule dynamics in the early secretory pathway. This kinase is found to be necessary for BCL-ABL-mediated resistance to drug-induced apoptosis and therefore protects leukemia cells against drug-induced apoptosis. PRKC iota plays a key role in cell proliferation, differentiation, and carcinogenesis, and it has been shown to be a human oncogene.
Protocols
| Product Specific Protocols | |
|---|---|
| FC protocol for PKC Iota antibody 13883-1-AP | Download protocol |
| IF protocol for PKC Iota antibody 13883-1-AP | Download protocol |
| IHC protocol for PKC Iota antibody 13883-1-AP | Download protocol |
| IP protocol for PKC Iota antibody 13883-1-AP | Download protocol |
| WB protocol for PKC Iota antibody 13883-1-AP | Download protocol |
| Standard Protocols | |
|---|---|
| Click here to view our Standard Protocols |
Publications
| Species | Application | Title |
|---|---|---|
Mol Cancer circPARD3 drives malignant progression and chemoresistance of laryngeal squamous cell carcinoma by inhibiting autophagy through the PRKCI-Akt-mTOR pathway.
| ||
Development Coupling of apical-basal polarity and PCP to interpret the Wnt signaling gradient and orient feather branch.
| ||
Mol Med Paired protein kinases PRKCI-RIPK2 promote pancreatic cancer growth and metastasis via enhancing NF-κB/JNK/ERK phosphorylation | ||
Int J Biol Sci Poly (ADP-ribose) polymerase 1 (PARP1) inhibition promotes pulmonary metastasis of osteosarcoma by boosting ezrin phosphorylation. | ||
Onco Targets Ther Protein kinase C-iota-mediated glycolysis promotes non-small-cell lung cancer progression.
| ||
Antioxidants (Basel) PKCiota Inhibits the Ferroptosis of Esophageal Cancer Cells via Suppressing USP14-Mediated Autophagic Degradation of GPX4
|

















