Tested Applications
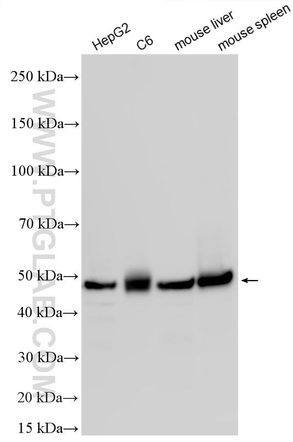
| Positive WB detected in | HepG2 cells, human adrenal gland tissue, C6 cells, mouse liver tissue, mouse spleen tissue |
| Positive IP detected in | mouse spleen tissue |
| Positive IHC detected in | human breast cancer tissue Note: suggested antigen retrieval with TE buffer pH 9.0; (*) Alternatively, antigen retrieval may be performed with citrate buffer pH 6.0 |
| Positive IF/ICC detected in | HeLa cells |
Recommended dilution
| Application | Dilution |
|---|---|
| Western Blot (WB) | WB : 1:1000-1:6000 |
| Immunoprecipitation (IP) | IP : 0.5-4.0 ug for 1.0-3.0 mg of total protein lysate |
| Immunohistochemistry (IHC) | IHC : 1:50-1:500 |
| Immunofluorescence (IF)/ICC | IF/ICC : 1:50-1:500 |
| It is recommended that this reagent should be titrated in each testing system to obtain optimal results. | |
| Sample-dependent, Check data in validation data gallery. | |
Published Applications
| KD/KO | See 1 publications below |
| WB | See 9 publications below |
| IHC | See 5 publications below |
| CoIP | See 1 publications below |
Product Information
14905-1-AP targets PSMC2 in WB, IHC, IF/ICC, IP, CoIP, ELISA applications and shows reactivity with human, mouse, rat samples.
| Tested Reactivity | human, mouse, rat |
| Cited Reactivity | human, mouse, rat |
| Host / Isotype | Rabbit / IgG |
| Class | Polyclonal |
| Type | Antibody |
| Immunogen |
CatNo: Ag6700 Product name: Recombinant human PSMC2 protein Source: e coli.-derived, PET28a Tag: 6*His Domain: 84-433 aa of BC002589 Sequence: KQTLQSEQPLQVARCTKIINADSEDPKYIINVKQFAKFVVDLSDQVAPTDIEEGMRVGVDRNKYQIHIPLPPKIDPTVTMMQVEEKPDVTYSDVGGCKEQIEKLREVVETPLLHPERFVNLGIEPPKGVLLFGPPGTGKTLCARAVANRTDACFIRVIGSELVQKYVGEGARMVRELFEMARTKKACLIFFDEIDAIGGARFDDGAGGDNEVQRTMLELINQLDGFDPRGNIKVLMATNRPDTLDPALMRPGRLDRKIEFSLPDLEGRTHIFKIHARSMSVERDIRFELLARLCPNSTGAEIRSVCTEAGMFAIRARRKIATEKDFLEAVNKVIKSYAKFSATPRYMTYN Predict reactive species |
| Full Name | proteasome (prosome, macropain) 26S subunit, ATPase, 2 |
| Calculated Molecular Weight | 49 kDa |
| Observed Molecular Weight | 49 kDa |
| GenBank Accession Number | BC002589 |
| Gene Symbol | PSMC2 |
| Gene ID (NCBI) | 5701 |
| RRID | AB_2172484 |
| Conjugate | Unconjugated |
| Form | Liquid |
| Purification Method | Antigen affinity purification |
| UNIPROT ID | P35998 |
| Storage Buffer | PBS with 0.02% sodium azide and 50% glycerol, pH 7.3. |
| Storage Conditions | Store at -20°C. Stable for one year after shipment. Aliquoting is unnecessary for -20oC storage. 20ul sizes contain 0.1% BSA. |
Background Information
PSMC2 is also named as MSS1 and belongs to the AAA ATPase family. PSMC2 is 1 of 6 putative ATPases contained within the regulatory complex. PSMC2 is first identified as a possible cellular factor that cooperates with the human immunodeficiency virus-1 (HIV-1) protein Tat, a potent activator of virus gene expression. The PSMC2 gene product works in association with the small subunit of mitoribosomes and seems to play some part in mitochondrial translation(PMID:8392589).
Protocols
| Product Specific Protocols | |
|---|---|
| IF protocol for PSMC2 antibody 14905-1-AP | Download protocol |
| IHC protocol for PSMC2 antibody 14905-1-AP | Download protocol |
| IP protocol for PSMC2 antibody 14905-1-AP | Download protocol |
| WB protocol for PSMC2 antibody 14905-1-AP | Download protocol |
| Standard Protocols | |
|---|---|
| Click here to view our Standard Protocols |
Publications
| Species | Application | Title |
|---|---|---|
Gastroenterology Proteomic characterization identifies clinically relevant subgroups of gastrointestinal stromal tumors | ||
Pharmacol Res Curcumin modulates β-catenin stabilization via targeting proteasomal deubiquitinating enzyme USP14 | ||
Front Immunol PDLIM7 Synergizes With PDLIM2 and p62/Sqstm1 to Inhibit Inflammatory Signaling by Promoting Degradation of the p65 Subunit of NF-κB. | ||
Cardiovasc Drugs Ther Quercetin Prevents In Vivo and In Vitro Myocardial Hypertrophy Through the Proteasome-GSK-3 Pathway. | ||
Calcif Tissue Int Silencing Proteasome 26S Subunit ATPase 2 (PSMC2) Protects the Osteogenic Differentiation In Vitro and Osteogenesis In Vivo.
| ||
Oncol Lett PSMC2, ORC5 and KRTDAP are specific biomarkers for HPV-negative head and neck squamous cell carcinoma. |















