Product Information
66854-1-PBS targets Phospho-RIPK1 (Ser161) in WB, IHC, IF/ICC, FC (Intra), ELISA applications and shows reactivity with human samples.
| Tested Reactivity | human |
| Host / Isotype | Mouse / IgG1 |
| Class | Monoclonal |
| Type | Antibody |
| Immunogen |
Peptide Predict reactive species |
| Full Name | receptor (TNFRSF)-interacting serine-threonine kinase 1 |
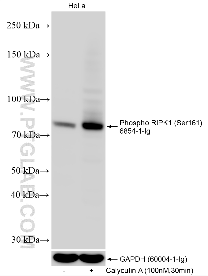
| Calculated Molecular Weight | 76 kDa |
| Observed Molecular Weight | 74 kDa, 45 kDa |
| GenBank Accession Number | NM_003804 |
| Gene Symbol | RIPK1 |
| Gene ID (NCBI) | 8737 |
| RRID | AB_2882194 |
| Conjugate | Unconjugated |
| Form | Liquid |
| Purification Method | Protein G purification |
| UNIPROT ID | Q13546 |
| Storage Buffer | PBS only, pH 7.3. |
| Storage Conditions | Store at -80°C. |
Background Information
RIPK1(Receptor-interacting serine/threonine-protein kinase 1) is primarily involved in mediating TNF-R1-induced cell activation, apoptosis and necroptosis and belongs to a novel class of kinases thatfunction in cell survival and cell death mechanisms(PMID:22685397 ).It has 2 isoforms produced by alternative splicing.It also can exist as the protein with lower molecular weight about 25kd and 45kd in HAEC and HUVEC(PMID:22685397).

















