Various lysates were subjected to SDS PAGE followed by western blot with RMX00066 (RBM25 antibody) at dilution of 1:10000 incubated at room temperature for 1.5 hours.
Various lysates were subjected to SDS PAGE followed by western blot with RMX00066 (RBM25 antibody) at dilution of 1:10000 incubated at room temperature for 1.5 hours.
WB analysis using RMX00066
Various lysates were subjected to SDS PAGE followed by western blot with RMX00066 (RBM25 antibody) at dilution of 1:10000 incubated at room temperature for 1.5 hours.
Various lysates were subjected to SDS PAGE followed by western blot with RMX00066 (RBM25 antibody) at dilution of 1:10000 incubated at room temperature for 1.5 hours.
IP experiment of HEK-293 using RMX00066
IP result of anti-RBM25 (IP:RMX00066, 4ug; Detection:RMX00066 1:5000) with HEK-293 cells lysate 1000 ug.
IP result of anti-RBM25 (IP:RMX00066, 4ug; Detection:RMX00066 1:5000) with HEK-293 cells lysate 1000 ug.
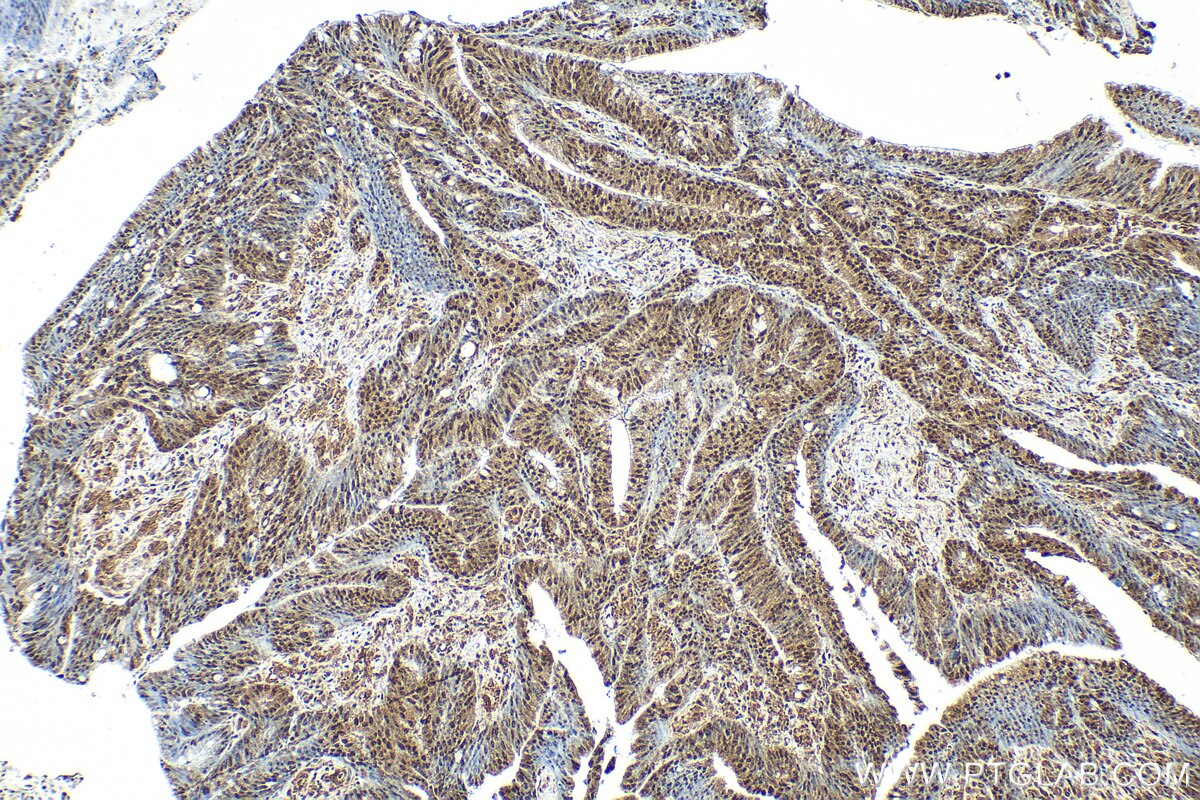
IHC staining of human colon cancer using RMX00066
Immunohistochemical analysis of paraffin-embedded human colon cancer tissue slide using RMX00066 (RBM25 antibody) at dilution of 1:4000 (under 10x lens). Heat mediated antigen retrieval with Tris-EDTA buffer (pH 9.0).
Immunohistochemical analysis of paraffin-embedded human colon cancer tissue slide using RMX00066 (RBM25 antibody) at dilution of 1:4000 (under 10x lens). Heat mediated antigen retrieval with Tris-EDTA buffer (pH 9.0).
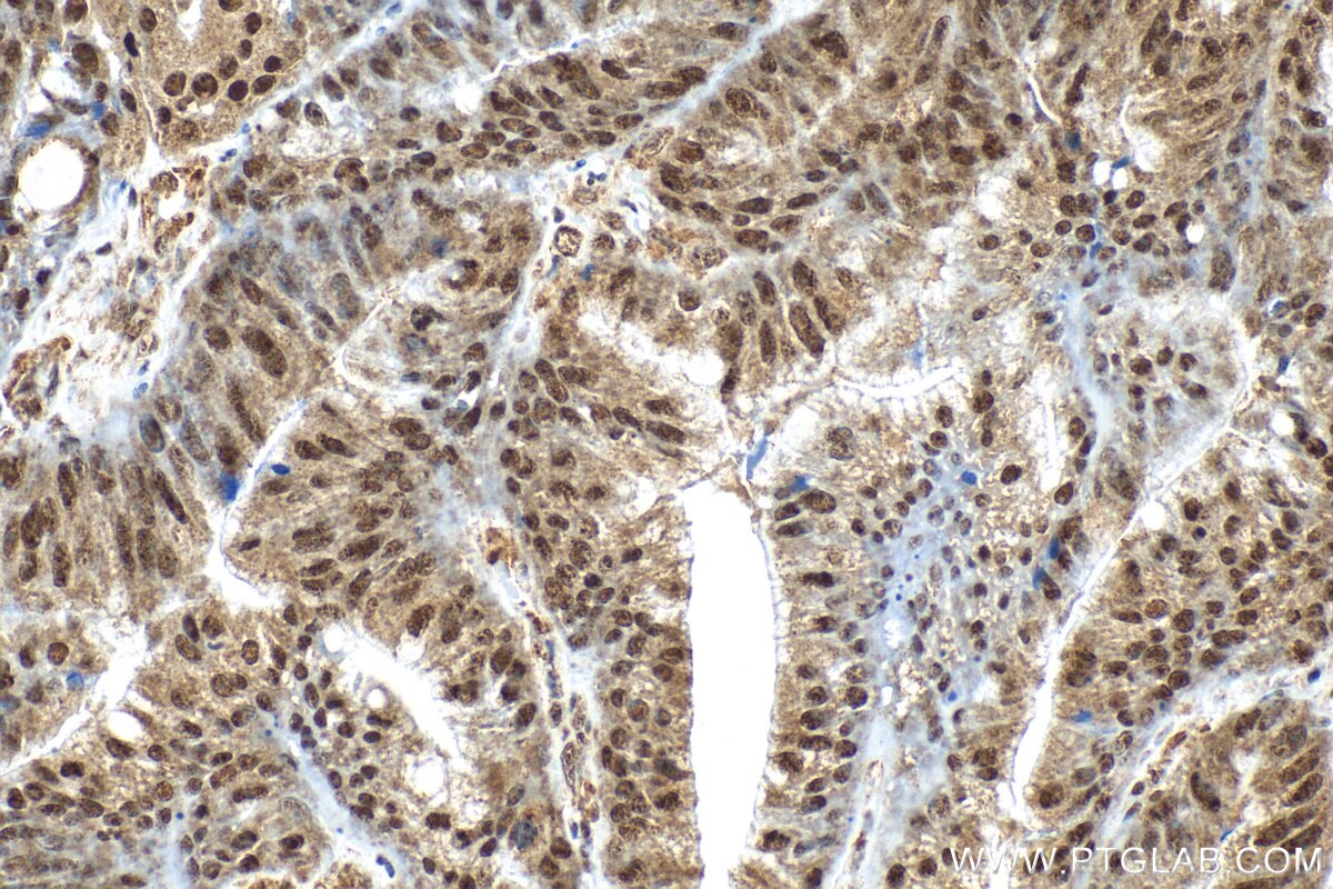
IHC staining of human colon cancer using RMX00066
Immunohistochemical analysis of paraffin-embedded human colon cancer tissue slide using RMX00066 (RBM25 antibody) at dilution of 1:4000 (under 40x lens). Heat mediated antigen retrieval with Tris-EDTA buffer (pH 9.0).
Immunohistochemical analysis of paraffin-embedded human colon cancer tissue slide using RMX00066 (RBM25 antibody) at dilution of 1:4000 (under 40x lens). Heat mediated antigen retrieval with Tris-EDTA buffer (pH 9.0).
IF Staining of HeLa using RMX00066
Immunofluorescent analysis of (4% PFA) fixed HeLa cells using RBM25 antibody (RMX00066) at dilution of 1:1000 and CoraLite®488-Conjugated Goat Anti-Rabbit IgG(H+L) (SA00013-2), CL594-Phalloidin (red).
Immunofluorescent analysis of (4% PFA) fixed HeLa cells using RBM25 antibody (RMX00066) at dilution of 1:1000 and CoraLite®488-Conjugated Goat Anti-Rabbit IgG(H+L) (SA00013-2), CL594-Phalloidin (red).
The Proteintech guarantee covers Proteintech antibodies in any species and any application, including those not listed on the datasheet. If the antibody doesn’t perform, you can receive a hassle-free refund or credit note.
human colon cancer tissue Note: suggested antigen retrieval with TE buffer pH 9.0; (*) Alternatively, antigen retrieval may be performed with citrate buffer pH 6.0
Positive IF/ICC detected in
HeLa cells
Recommended dilution
Application
Dilution
Western Blot (WB)
WB : 1:5000-1:50000
Immunoprecipitation (IP)
IP : 0.5-4.0 ug for 1.0-3.0 mg of total protein lysate
Immunohistochemistry (IHC)
IHC : 1:2000-1:8000
Immunofluorescence (IF)/ICC
IF/ICC : 1:500-1:2000
It is recommended that this reagent should be titrated in each testing system to obtain optimal results.
Sample-dependent, Check data in validation data gallery.
Product Information
RMX00066 targets RBM25 in WB, IHC, IF/ICC, IP, ELISA applications and shows reactivity with human, mouse, rat samples.
Store at -20°C. Stable for one year after shipment. Aliquoting is unnecessary for -20oC storage. 20ul sizes contain 0.1% BSA.
Background Information
RNA-binding protein 25 (RBM25), also named as Protein S164 or RNPC7, is a 843 amino acid protein, which contains one RRM domain and one PWI domain. RBM25 localizes in the nucleus and cytoplasm. RBM25 acts as a regulator of alternative pre-mRNA splicing and is involved in apoptotic cell death through the regulation of the apoptotic factor BCL2L1 isoform expression.
Various lysates were subjected to SDS PAGE followed by western blot with RMX00066 (RBM25 antibody) at dilution of 1:10000 incubated at room temperature for 1.5 hours.
WB analysis using RMX00066
Various lysates were subjected to SDS PAGE followed by western blot with RMX00066 (RBM25 antibody) at dilution of 1:10000 incubated at room temperature for 1.5 hours.
IHC Figures
IHC staining of human colon cancer using RMX00066
Immunohistochemical analysis of paraffin-embedded human colon cancer tissue slide using RMX00066 (RBM25 antibody) at dilution of 1:4000 (under 10x lens). Heat mediated antigen retrieval with Tris-EDTA buffer (pH 9.0).
IHC staining of human colon cancer using RMX00066
Immunohistochemical analysis of paraffin-embedded human colon cancer tissue slide using RMX00066 (RBM25 antibody) at dilution of 1:4000 (under 40x lens). Heat mediated antigen retrieval with Tris-EDTA buffer (pH 9.0).
IP Figures
IP experiment of HEK-293 using RMX00066
IP result of anti-RBM25 (IP:RMX00066, 4ug; Detection:RMX00066 1:5000) with HEK-293 cells lysate 1000 ug.
IF/ICC Figures
IF Staining of HeLa using RMX00066
Immunofluorescent analysis of (4% PFA) fixed HeLa cells using RBM25 antibody (RMX00066) at dilution of 1:1000 and CoraLite®488-Conjugated Goat Anti-Rabbit IgG(H+L) (SA00013-2), CL594-Phalloidin (red).
The species listed in Tested Reactivity are in-house verified and applicable species. For unlisted species, please refer to the homology analysis of the immunogen sequence and related species. For rabbit polyclonal antibodies, homology >70% is recommended. For mouse monoclonal antibodies and rabbit recombinant antibodies, homology >90% is recommended. Generally, the higher the homology, the greater the applicability. However, there will be certain differences in protein expression in different species, tissues or cells. Therefore, the homology analysis results are for reference only and do not serve as a guarantee.
At Proteintech, we pride ourselves on our antibody quality, customer service and transparency. As such, we are comparing our antibodies with other vendors, enabling easy identification and comparisons of key data to help you choose the suitable antibody for your needs.
We have selected the top cited antibodies from these vendors for you to compare.
Proteintech
RBM25 Multi-Recombinant antibody
Catalog Number
RMX00066
Citations
-
Dilutions
WB : 1:5000-1:50000 IP : 0.5-4.0 ug for IP and 0.5-4.0 ug for 1.0-3.0 mg of total protein lysate for WB IHC : 1:2000-1:8000 IF/ICC : 1:500-1:2000
Applications
WB, IHC, IF/ICC, IP, ELISA
Reactivity
human, mouse, rat
Product Guarantee
Covers any species including not listed on datasheet
Covers any applications including not listed on datasheet