Tested Applications
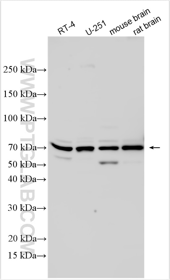
| Positive WB detected in | RT-4 cells, U-251 cells, mouse brain tissue, rat brain tissue |
Recommended dilution
| Application | Dilution |
|---|---|
| Western Blot (WB) | WB : 1:2000-1:12000 |
| It is recommended that this reagent should be titrated in each testing system to obtain optimal results. | |
| Sample-dependent, Check data in validation data gallery. | |
Product Information
32482-1-AP targets RNF220 in WB, ELISA applications and shows reactivity with human, mouse, rat samples.
| Tested Reactivity | human, mouse, rat |
| Host / Isotype | Rabbit / IgG |
| Class | Polyclonal |
| Type | Antibody |
| Immunogen |
CatNo: Ag36190 Product name: Recombinant human RNF220 protein Source: e coli.-derived, PET28a Tag: 6*His Domain: 253-566 aa of BC034221 Sequence: SKNSLLKDAMAPGTPKSLLLSASIKREGESPTASPHSSATDDLHHSDRYQTFLRVRANRQTRLNARIGKMKRRKQDEGQREGSCMAEDDAVDIEHENNNRFEEYEWCGQKRIRATTLLEGGFRGSGFIMCSGKENPDSDADLDVDGDDTLEYGKPQYTEADVIPCTGEEPGEAKEREALRGAVLNGGPPSTRITPEFSKWASDEMPSTSNGESSKQEAMQKTCKNSDIEKITEDSAVTTFEALKARVRELERQLSRGDRYKCLICMDSYSMPLTSIQCWHVHCEECWLRTLGAKKLCPQCNTITAPGDLRRIYL Predict reactive species |
| Full Name | ring finger protein 220 |
| Observed Molecular Weight | 70 kDa |
| GenBank Accession Number | BC034221 |
| Gene Symbol | RNF220 |
| Gene ID (NCBI) | 55182 |
| Conjugate | Unconjugated |
| Form | Liquid |
| Purification Method | Antigen affinity Purification |
| UNIPROT ID | Q5VTB9 |
| Storage Buffer | PBS with 0.02% sodium azide and 50% glycerol, pH 7.3. |
| Storage Conditions | Store at -20°C. Stable for one year after shipment. Aliquoting is unnecessary for -20oC storage. 20ul sizes contain 0.1% BSA. |
Background Information
RNF220 is an E3 ubiquitin ligase that plays a crucial role in the ubiquitination process, which targets proteins for degradation by the proteasome. Mutations in RNF220 have been linked to laminopathies, which are characterized by leukodystrophy, ataxia, and deafness. Additionally, RNF220 is involved in the progression of certain cancers, such as acute myeloid leukemia (AML) and colorectal cancer. Studies have shown that RNF220 promotes the proliferation of leukemia cells and reduces the degradation of Cyclin D1 protein through USP22. It also enhances canonical Wnt signaling through USP7-mediated deubiquitination of beta-catenin. (PMID: 32896826)
Protocols
| Product Specific Protocols | |
|---|---|
| WB protocol for RNF220 antibody 32482-1-AP | Download protocol |
| Standard Protocols | |
|---|---|
| Click here to view our Standard Protocols |

