Various lysates were subjected to SDS PAGE followed by western blot with RMX00046 (RPL10A antibody) at dilution of 1:15000 incubated at room temperature for 1.5 hours.
Various lysates were subjected to SDS PAGE followed by western blot with RMX00046 (RPL10A antibody) at dilution of 1:15000 incubated at room temperature for 1.5 hours.
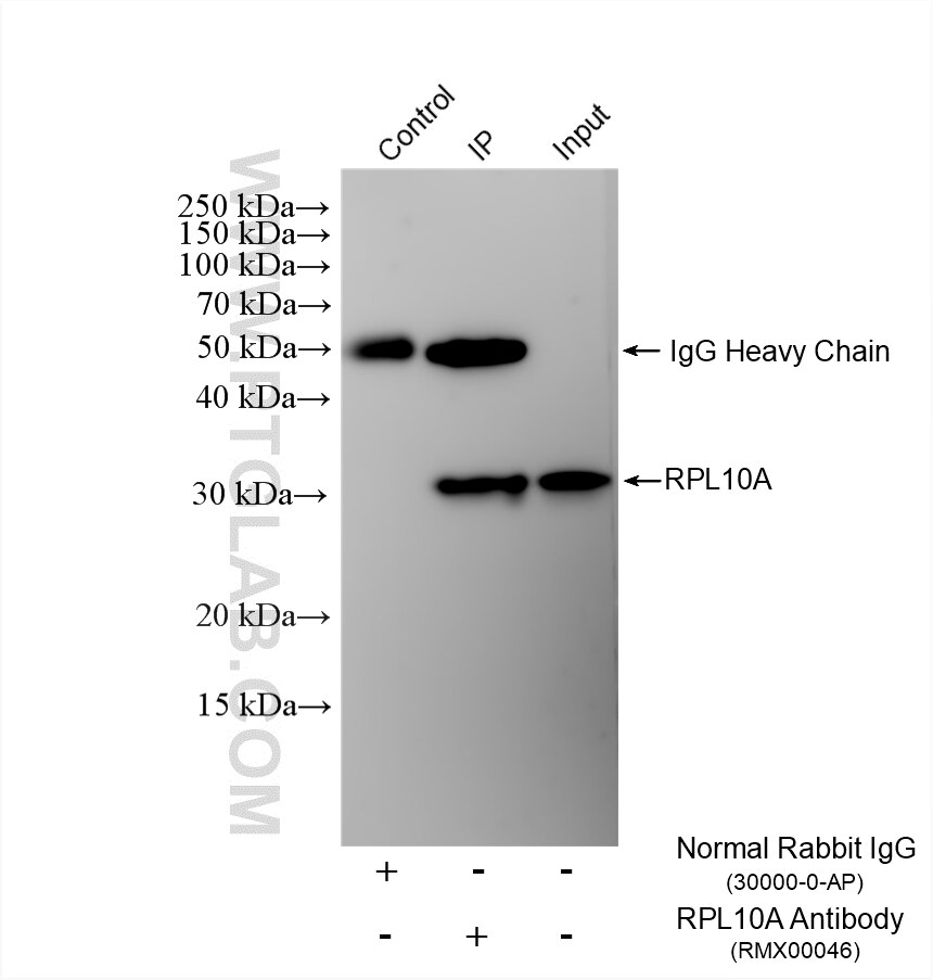
IP experiment of HepG2 using RMX00046
IP result of anti-RPL10A (IP:RMX00046, 4ug; Detection:RMX00046 1:10000) with HepG2 cells lysate 1600 ug.
Immunohistochemical analysis of paraffin-embedded mouse liver tissue slide using RMX00046 (RPL10A antibody) at dilution of 1:500 (under 40x lens). Heat mediated antigen retrieval with Tris-EDTA buffer (pH 9.0).
IF Staining of HepG2 using RMX00046
Immunofluorescent analysis of (-20°C Ethanol) fixed HepG2 cells using RPL10A antibody (RMX00046) at dilution of 1:400 and CoraLite®488-Conjugated Goat Anti-Rabbit IgG(H+L) (SA00013-2).
Immunofluorescent analysis of (-20°C Ethanol) fixed HepG2 cells using RPL10A antibody (RMX00046) at dilution of 1:400 and CoraLite®488-Conjugated Goat Anti-Rabbit IgG(H+L) (SA00013-2).
The Proteintech guarantee covers Proteintech antibodies in any species and any application, including those not listed on the datasheet. If the antibody doesn’t perform, you can receive a hassle-free refund or credit note.
HeLa cells, HepG2 cells, mouse spleen tissue, rat spleen tissue
Positive IP detected in
HepG2 cells
Positive IHC detected in
mouse liver tissue Note: suggested antigen retrieval with TE buffer pH 9.0; (*) Alternatively, antigen retrieval may be performed with citrate buffer pH 6.0
Positive IF/ICC detected in
HepG2 cells
Recommended dilution
Application
Dilution
Western Blot (WB)
WB : 1:5000-1:50000
Immunoprecipitation (IP)
IP : 0.5-4.0 ug for 1.0-3.0 mg of total protein lysate
Immunohistochemistry (IHC)
IHC : 1:250-1:1000
Immunofluorescence (IF)/ICC
IF/ICC : 1:200-1:800
It is recommended that this reagent should be titrated in each testing system to obtain optimal results.
Sample-dependent, Check data in validation data gallery.
Product Information
RMX00046 targets RPL10A in WB, IHC, IF/ICC, IP, ELISA applications and shows reactivity with human, mouse, rat samples.
Store at -20°C. Stable for one year after shipment. Aliquoting is unnecessary for -20oC storage. 20ul sizes contain 0.1% BSA.
Background Information
RPL10A (Ribosomal Protein L10a) is a component of the 60S subunit of the ribosome and belongs to the L1P family of ribosomal proteins. It is located in the cytoplasm. RPL10A is ubiquitously expressed in various tissues, it plays a crucial role in ribosome biogenesis and protein synthesis. In addition to its role in protein synthesis, RPL10A has been implicated in cell proliferation, embryogenesis, and organogenesis. PMID: 29953919
Various lysates were subjected to SDS PAGE followed by western blot with RMX00046 (RPL10A antibody) at dilution of 1:15000 incubated at room temperature for 1.5 hours.
IHC Figures
IHC staining of mouse liver using RMX00046
Immunohistochemical analysis of paraffin-embedded mouse liver tissue slide using RMX00046 (RPL10A antibody) at dilution of 1:500 (under 10x lens). Heat mediated antigen retrieval with Tris-EDTA buffer (pH 9.0).
IHC staining of mouse liver using RMX00046
Immunohistochemical analysis of paraffin-embedded mouse liver tissue slide using RMX00046 (RPL10A antibody) at dilution of 1:500 (under 40x lens). Heat mediated antigen retrieval with Tris-EDTA buffer (pH 9.0).
IP Figures
IP experiment of HepG2 using RMX00046
IP result of anti-RPL10A (IP:RMX00046, 4ug; Detection:RMX00046 1:10000) with HepG2 cells lysate 1600 ug.
IF/ICC Figures
IF Staining of HepG2 using RMX00046
Immunofluorescent analysis of (-20°C Ethanol) fixed HepG2 cells using RPL10A antibody (RMX00046) at dilution of 1:400 and CoraLite®488-Conjugated Goat Anti-Rabbit IgG(H+L) (SA00013-2).
The species listed in Tested Reactivity are in-house verified and applicable species. For unlisted species, please refer to the homology analysis of the immunogen sequence and related species. For rabbit polyclonal antibodies, homology >70% is recommended. For mouse monoclonal antibodies and rabbit recombinant antibodies, homology >90% is recommended. Generally, the higher the homology, the greater the applicability. However, there will be certain differences in protein expression in different species, tissues or cells. Therefore, the homology analysis results are for reference only and do not serve as a guarantee.
At Proteintech, we pride ourselves on our antibody quality, customer service and transparency. As such, we are comparing our antibodies with other vendors, enabling easy identification and comparisons of key data to help you choose the suitable antibody for your needs.
We have selected the top cited antibodies from these vendors for you to compare.
Proteintech
RPL10A Multi-Recombinant antibody
Catalog Number
RMX00046
Citations
-
Dilutions
WB : 1:5000-1:50000 IP : 0.5-4.0 ug for IP and 0.5-4.0 ug for 1.0-3.0 mg of total protein lysate for WB IHC : 1:250-1:1000 IF/ICC : 1:200-1:800
Applications
WB, IHC, IF/ICC, IP, ELISA
Reactivity
human, mouse, rat
Product Guarantee
Covers any species including not listed on datasheet
Covers any applications including not listed on datasheet