Tested Applications
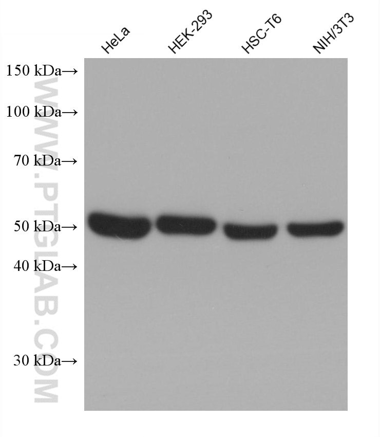
| Positive WB detected in | HeLa cells, HEK-293 cells, HSC-T6 cells, NIH/3T3 cells |
| Positive IHC detected in | human lung cancer tissue Note: suggested antigen retrieval with TE buffer pH 9.0; (*) Alternatively, antigen retrieval may be performed with citrate buffer pH 6.0 |
| Positive IF/ICC detected in | HeLa cells |
Recommended dilution
| Application | Dilution |
|---|---|
| Western Blot (WB) | WB : 1:5000-1:50000 |
| Immunohistochemistry (IHC) | IHC : 1:500-1:2000 |
| Immunofluorescence (IF)/ICC | IF/ICC : 1:200-1:800 |
| It is recommended that this reagent should be titrated in each testing system to obtain optimal results. | |
| Sample-dependent, Check data in validation data gallery. | |
Published Applications
| WB | See 1 publications below |
| IF | See 1 publications below |
Product Information
67851-1-Ig targets RUVBL2 in WB, IHC, IF/ICC, ELISA applications and shows reactivity with human, mouse, rat samples.
| Tested Reactivity | human, mouse, rat |
| Cited Reactivity | mouse |
| Host / Isotype | Mouse / IgG2b |
| Class | Monoclonal |
| Type | Antibody |
| Immunogen |
CatNo: Ag0253 Product name: Recombinant human RUVBL2 protein Source: e coli.-derived, PGEX-4T Tag: GST Domain: 220-463 aa of BC000428 Sequence: SQTKFVQCPDGELQKRKEVVHTVSLHEIDVINSRTQGFLALFSGDTGEIKSEVREQINAKVAEWREEGKAEIIPGVLFIDEVHMLDIESFSFLNRALESDMAPVLIMATNRGITRIRGTSYQSPHGIPIDLLDRLLIVSTTPYSEKDTKQILRIRCEEEDVEMSEDAYTVLTRIGLETSLRYAIQLITAASLVCRKRKGTEVQVDDIKRVYSLFLDESRSTQYMKEYQDAFLFNELKGETMDTS Predict reactive species |
| Full Name | RuvB-like 2 (E. coli) |
| Calculated Molecular Weight | 51 kDa |
| Observed Molecular Weight | 51 kDa |
| GenBank Accession Number | BC000428 |
| Gene Symbol | RUVBL2 |
| Gene ID (NCBI) | 10856 |
| RRID | AB_2918610 |
| Conjugate | Unconjugated |
| Form | Liquid |
| Purification Method | Protein A purification |
| UNIPROT ID | Q9Y230 |
| Storage Buffer | PBS with 0.02% sodium azide and 50% glycerol, pH 7.3. |
| Storage Conditions | Store at -20°C. Stable for one year after shipment. Aliquoting is unnecessary for -20oC storage. 20ul sizes contain 0.1% BSA. |
Background Information
RUVBL2 belongs to the conserved ATPases associated with various cellular activities (AAA+) protein subfamily, which is characterized by the presence of conserved Walker A and B motifs that are involved in ATP binding and hydrolysis. The AAA+ (ATPases associated with diverse cellular activities) ATPases, RUVBL1 and RUVBL2, were originally isolated as components of transcriptional complexes and shown to function in a number of different cellular processes, including transcriptional regulation, chromatin remodelling and DNA damage responses. (PMID: 31572066, PMID: 31138842)
Protocols
| Product Specific Protocols | |
|---|---|
| IF protocol for RUVBL2 antibody 67851-1-Ig | Download protocol |
| IHC protocol for RUVBL2 antibody 67851-1-Ig | Download protocol |
| WB protocol for RUVBL2 antibody 67851-1-Ig | Download protocol |
| Standard Protocols | |
|---|---|
| Click here to view our Standard Protocols |







