Tested Applications
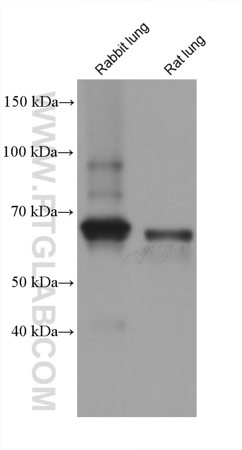
| Positive WB detected in | Calu-1 cells, rabbit lung tissue, HUVEC cells, A172 cells, K-562 cells, pig lung tissue |
Recommended dilution
| Application | Dilution |
|---|---|
| Western Blot (WB) | WB : 1:5000-1:50000 |
| It is recommended that this reagent should be titrated in each testing system to obtain optimal results. | |
| Sample-dependent, Check data in validation data gallery. | |
Product Information
61031-3-Ig targets SDPR in WB, ELISA applications and shows reactivity with human, mouse, rat, rabbit samples.
| Tested Reactivity | human, mouse, rat, rabbit |
| Host / Isotype | Mouse / IgG1 |
| Class | Monoclonal |
| Type | Antibody |
| Immunogen |
CatNo: Ag34151 Product name: Recombinant human SDPR protein Source: e coli.-derived, PET28a Tag: 6*His Domain: 170-425 aa of BC016475 Sequence: VFVKQPVSGAVEGKEELPDENKSLEETLHTVDLSSDDDLPHDEEALEDSAEEKVEESRAEKIKRSSLKKVDSLKKAFSRQNIEKKMNKLGTKIVSVERREKIKKSLTSNHQKISSGKSSPFKVSPLTFGRKKVREGESHAENETKSEDLPSSEQMPNDQEEESFAEGHSEASLASALVEGEIAEEAAEKATSRGSNSGMDSNIDLTIVEDEEEESVALEQAQKVRYEGSYALTSEEAERSDGDPVQPAVLQVHQTS Predict reactive species |
| Full Name | serum deprivation response (phosphatidylserine binding protein) |
| Calculated Molecular Weight | 425 aa, 47 kDa |
| Observed Molecular Weight | 68-70 kDa |
| GenBank Accession Number | BC016475 |
| Gene Symbol | SDPR |
| Gene ID (NCBI) | 8436 |
| RRID | AB_3743263 |
| Conjugate | Unconjugated |
| Form | Liquid |
| Purification Method | Protein G purification |
| UNIPROT ID | O95810 |
| Storage Buffer | PBS with 0.02% sodium azide and 50% glycerol, pH 7.3. |
| Storage Conditions | Store at -20°C. Stable for one year after shipment. Aliquoting is unnecessary for -20oC storage. 20ul sizes contain 0.1% BSA. |
Background Information
Serum deprivation-response protein(SDRP), a substrate of protein kinase C, is a member of a group of proteins that bind to phosphatidylserine in a clacium-dependent manner. SDPR may participate in the generation or stabilization of membrane curvature. SDPR is highly expressed in heart and lung, and low in brain,kidney, liver, pancreas, placenta and skeletal muscle. SDRP of molecular masses 115 kDa and 100 kDa were found in neutrophils, monocytes, lymphocytes, platelets and erythrocytes. In platelets, however, the principal SDRP is a cytosolic protein of molecular mass 68 kDa. (PMID: 2390065 )
Protocols
| Product Specific Protocols | |
|---|---|
| WB protocol for SDPR antibody 61031-3-Ig | Download protocol |
| Standard Protocols | |
|---|---|
| Click here to view our Standard Protocols |



