Tested Applications
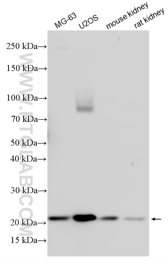
| Positive WB detected in | HeLa cells, MG-63 cells, U2OS cells, mouse kidney tissue, mouse liver tissue, rat kidney tissue |
| Positive IHC detected in | human placenta tissue, rat liver tissue Note: suggested antigen retrieval with TE buffer pH 9.0; (*) Alternatively, antigen retrieval may be performed with citrate buffer pH 6.0 |
Recommended dilution
| Application | Dilution |
|---|---|
| Western Blot (WB) | WB : 1:1000-1:4000 |
| Immunohistochemistry (IHC) | IHC : 1:50-1:500 |
| It is recommended that this reagent should be titrated in each testing system to obtain optimal results. | |
| Sample-dependent, Check data in validation data gallery. | |
Product Information
17640-1-AP targets SPCS3 in WB, IHC, ELISA applications and shows reactivity with human, mouse, rat samples.
| Tested Reactivity | human, mouse, rat |
| Host / Isotype | Rabbit / IgG |
| Class | Polyclonal |
| Type | Antibody |
| Immunogen |
CatNo: Ag11780 Product name: Recombinant human SPCS3 protein Source: e coli.-derived, PGEX-4T Tag: GST Domain: 1-180 aa of BC047290 Sequence: MNTVLSRANSLFAFSLSVMAALTFGCFITTAFKDRSVPVRLHVSRIMLKNVEDFTGPRERSDLGFITFDITADLENIFDWNVKQLFLYLSAEYSTKNNALNQVVLWDKIVLRGDNPKLLLKDMKTKYFFFDDGNGLKGNRNVTLTLSWNVVPNAGILPLVTGSGHVSVPFPDTYEITKSY Predict reactive species |
| Full Name | signal peptidase complex subunit 3 homolog (S. cerevisiae) |
| Calculated Molecular Weight | 180 aa, 20 kDa |
| Observed Molecular Weight | 23 kDa |
| GenBank Accession Number | BC047290 |
| Gene Symbol | SPCS3 |
| Gene ID (NCBI) | 60559 |
| RRID | AB_3669279 |
| Conjugate | Unconjugated |
| Form | Liquid |
| Purification Method | Antigen affinity purification |
| UNIPROT ID | P61009 |
| Storage Buffer | PBS with 0.02% sodium azide and 50% glycerol, pH 7.3. |
| Storage Conditions | Store at -20°C. Stable for one year after shipment. Aliquoting is unnecessary for -20oC storage. 20ul sizes contain 0.1% BSA. |
Background Information
The microsomal signal peptidase complex (SPC), which is an essential membrane component in the endoplasmic reticulum (ER), has five subunits, including SEC11A, SEC11C, SPCS1, SPCS2, and SPCS3. Functionally, SPC removes signal peptides (SPs) from a series of secretory pre-proteins with high specificity. The dysregulation of the other SPC subunits was also observed in some tumors. SPCS3 expression can be used as a component of a risk score model to predict the survival of patients with pancreatic adenocarcinoma. (PMID: 35653344)
Protocols
| Product Specific Protocols | |
|---|---|
| IHC protocol for SPCS3 antibody 17640-1-AP | Download protocol |
| WB protocol for SPCS3 antibody 17640-1-AP | Download protocol |
| Standard Protocols | |
|---|---|
| Click here to view our Standard Protocols |







