SUFU Recombinant monoclonal antibody, PBS Only (Detector)

SUFU Uni-rAb® Recombinant Antibody for WB, Cytometric bead array, Indirect ELISA

Cat No. 87724-1-PBS
Clone No.253256G1

Host / Isotype

Rabbit / IgG

Reactivity

human, rat

Applications

WB, Cytometric bead array, Indirect ELISA

PRO1280, SUFUH, Suppressor of fused homolog, UNQ650/PRO1280

Formulation:  PBS Only
Conjugate:  Unconjugated
Size/Concentration: 

-/ -

Freight/Packing: -

Quantity

Please visit your regions distributor:


Product Information

87724-1-PBS targets SUFU as part of a matched antibody pair:

MP03174-1: 87724-2-PBS capture and 87724-1-PBS detection (validated in Cytometric bead array)

Unconjugated rabbit recombinant monoclonal antibody in PBS only (BSA and azide free) storage buffer at a concentration of 1 mg/mL, ready for conjugation. Created using Proteintech’s proprietary in-house recombinant technology. Recombinant production enables unrivalled batch-to-batch consistency, easy scale-up, and future security of supply.

This conjugation ready format makes antibodies ideal for use in many applications including: ELISAs, multiplex assays requiring matched pairs, mass cytometry, and multiplex imaging applications.Antibody use should be optimized by the end user for each application and assay.

Tested Reactivity human, rat
Host / Isotype Rabbit / IgG
Class Recombinant
Type Antibody
Immunogen

CatNo: Ag25193

Product name: Recombinant human SUFU protein

Source: e coli.-derived, PGEX-4T

Tag: GST

Domain: 185-454 aa of BC013291

Sequence: MQPVQTPFGVVTFLQIVGVCTEELHSAQQWNGQGILELLRTVPIAGGPWLITDMRRGETIFEIDPHLQERVDKGIETDGSNLSGVSAKCAWDDLSRPPEDDEDSRSICIGTQPRRLSGKDTEQIRETLRRGLEINSKPVLPPINPQRQNGLAHDRAPSRKDSLESDSSTAIIPHELIRTRQLESVHLKFNQESGALIPLCLRGRLLHGRHFTYKSITGDMAITFVSTGVEGAFATEEHPYAAHGPWLQILLTEEFVEKMLEDLEDLTSPE

Predict reactive species
Full Name suppressor of fused homolog (Drosophila)
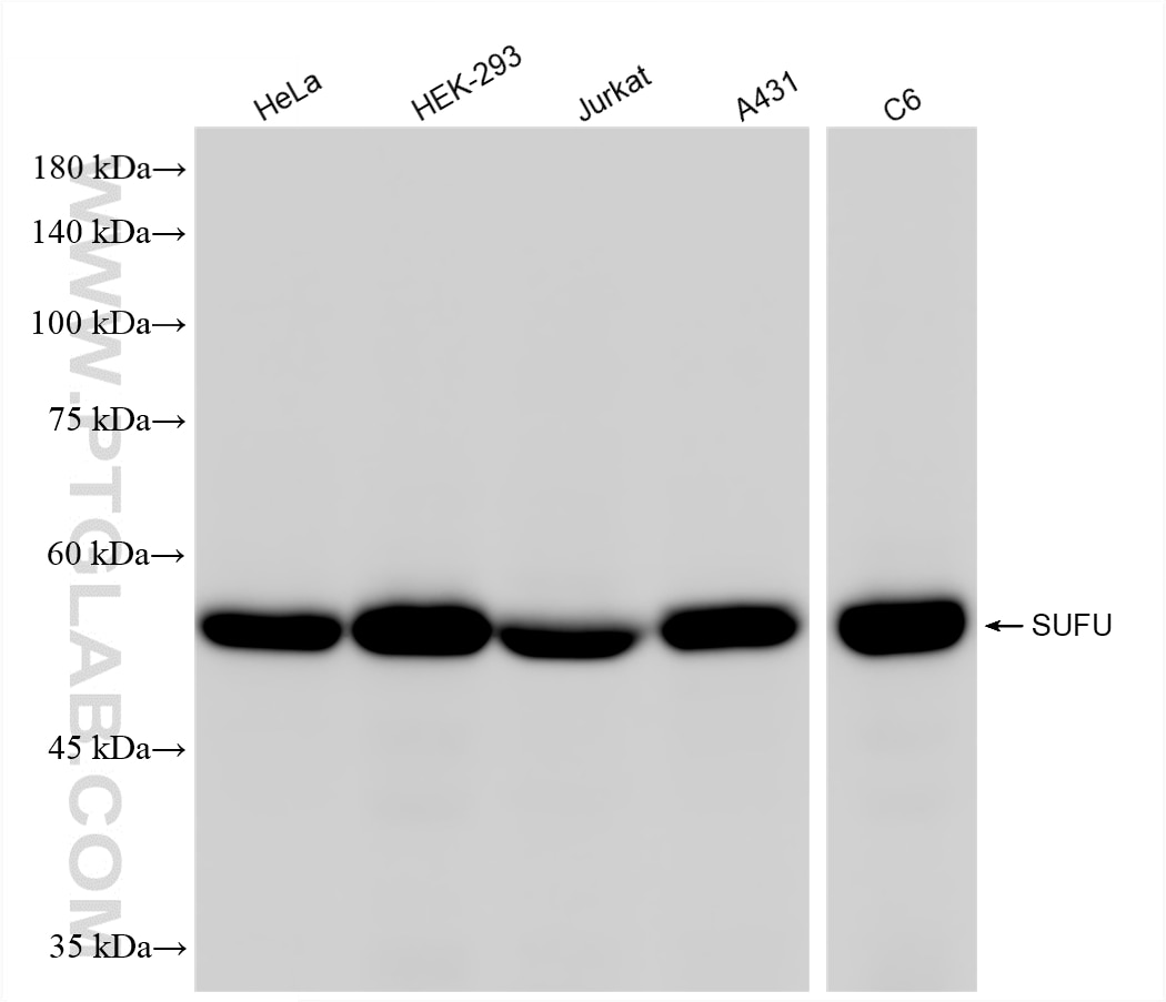
Calculated Molecular Weight 54 kDa
Observed Molecular Weight 54 kDa
GenBank Accession NumberBC013291
Gene Symbol SUFU
Gene ID (NCBI) 51684
Conjugate Unconjugated
FormLiquid
Purification MethodProtein A purification
UNIPROT IDQ9UMX1
Storage Buffer PBS only, pH 7.3.
Storage ConditionsStore at -80°C.

Background Information

Sufu (Suppressor of fused) is a central regulator of Hh (Hedgehog) signaling and acts as a tumor suppressor by maintaining the Gli (Glioma-associated oncogene homolog) transcription factors inactive. Loss of Sufu function promotes tumorigenesis.

Loading...
||
New chat

Able

正在加载,请稍候...