Tested Applications
| Positive WB detected in | CTLL-2 cells |
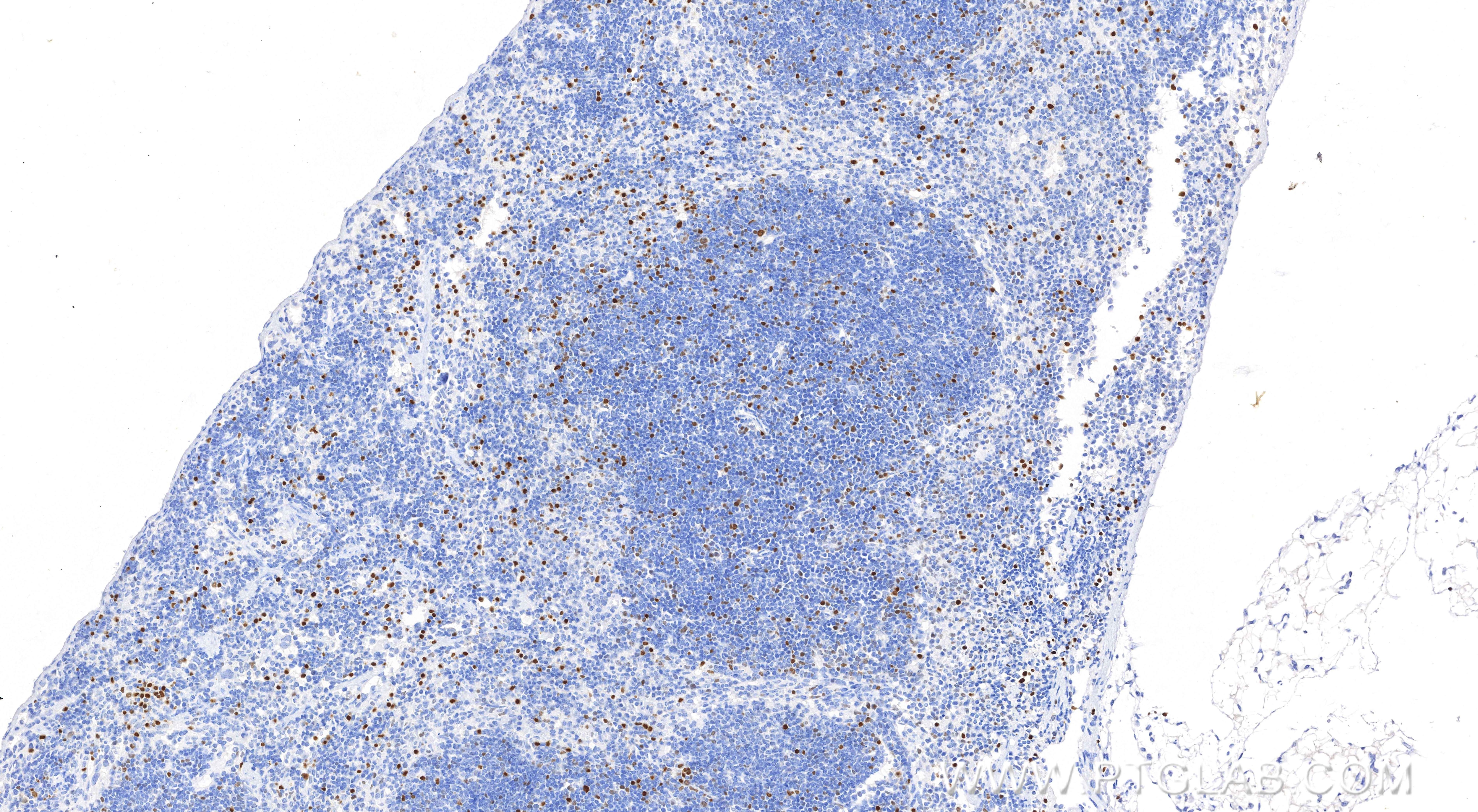
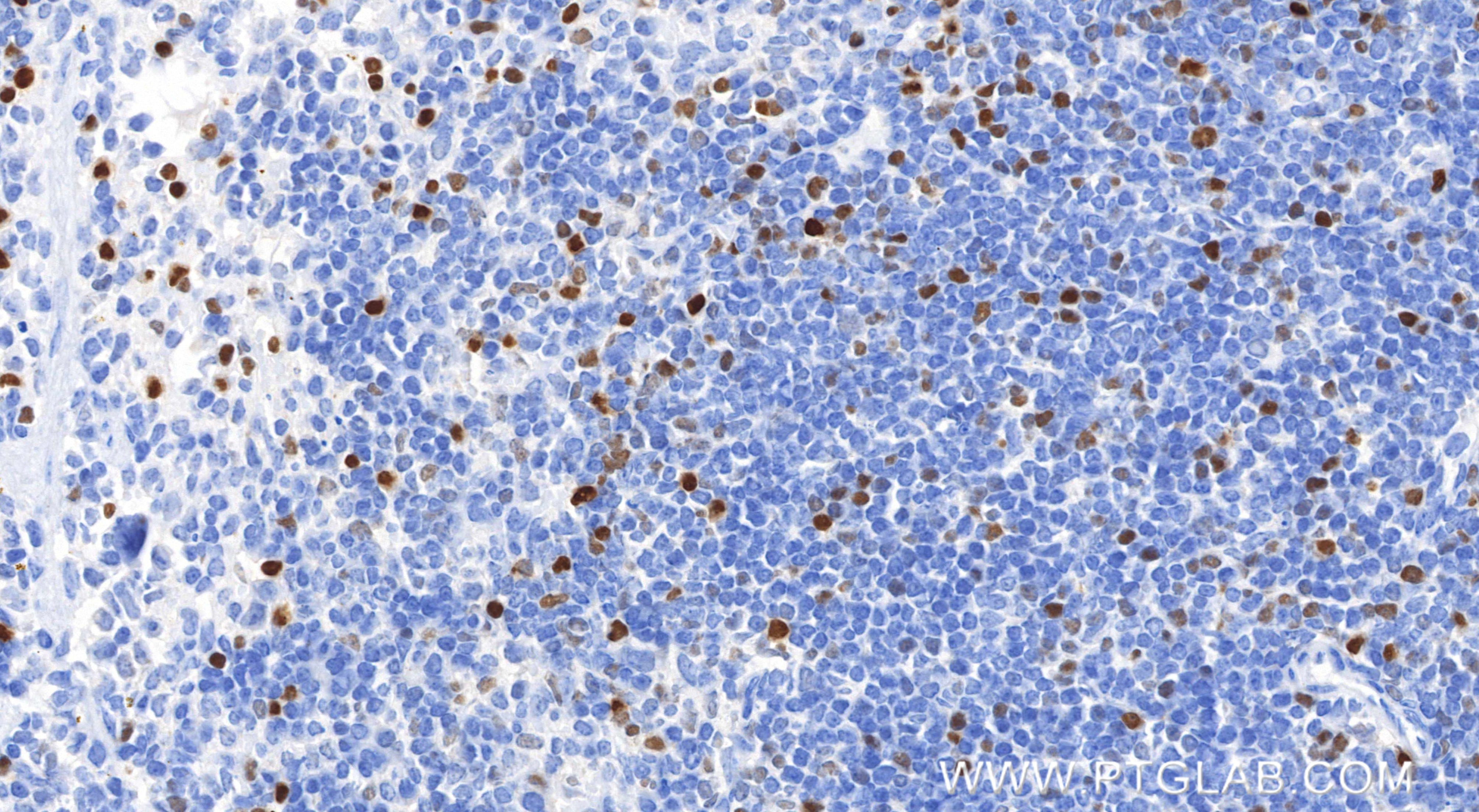
| Positive IHC detected in | mouse spleen tissue Note: suggested antigen retrieval with TE buffer pH 9.0; (*) Alternatively, antigen retrieval may be performed with citrate buffer pH 6.0 |
Recommended dilution
| Application | Dilution |
|---|---|
| Western Blot (WB) | WB : 1:5000-1:50000 |
| Immunohistochemistry (IHC) | IHC : 1:500-1:2000 |
| It is recommended that this reagent should be titrated in each testing system to obtain optimal results. | |
| Sample-dependent, Check data in validation data gallery. | |
Product Information
83804-6-RR targets TBX21/T-bet in WB, IHC, ELISA applications and shows reactivity with human, mouse samples.
| Tested Reactivity | human, mouse |
| Host / Isotype | Rabbit / IgG |
| Class | Recombinant |
| Type | Antibody |
| Immunogen |
CatNo: Ag4618 Product name: Recombinant human TBX21,T-bet protein Source: e coli.-derived, PGEX-4T Tag: GST Domain: 1-328 aa of BC039739 Sequence: MGIVEPGCGDMLTGTEPMPGSDEGRAPGADPQHRYFYPEPGAQDADERRGGGSLGSPYPGGALVPAPPSRFLGAYAYPPRPQAAGFPGAGESFPPPADAEGYQPGEGYAAPDPRAGLYPGPREDYALPAGLEVSGKLRVALNNHLLWSKFNQHQTEMIITKQGRRMFPFLSFTVAGLEPTSHYRMFVDVVLVDQHHWRYQSGKWVQCGKAEGSMPGNRLYVHPDSPNTGAHWMRQEVSFGKLKLTNNKGASNNVTQMIVLQSLHKYQPRLHIVEVNDGEPEAACNASNTHIFTFQETQFIAVTAYQNAEITQLKIDNNPFAKGFRENF Predict reactive species |
| Full Name | T-box 21 |
| Calculated Molecular Weight | 535 aa, 58 kDa |
| Observed Molecular Weight | 60-65 kDa |
| GenBank Accession Number | BC039739 |
| Gene Symbol | TBX21/T-bet |
| Gene ID (NCBI) | 30009 |
| ENSEMBL Gene ID | ENSG00000073861 |
| Conjugate | Unconjugated |
| Form | Liquid |
| Purification Method | Protein A purfication |
| UNIPROT ID | Q9UL17 |
| Storage Buffer | PBS with 0.02% sodium azide and 50% glycerol, pH 7.3. |
| Storage Conditions | Store at -20°C. Stable for one year after shipment. Aliquoting is unnecessary for -20oC storage. 20ul sizes contain 0.1% BSA. |
Background Information
TBX21 is a transcription factor that drives the Th1 immune response primarily through promoting expression of the IFN-γ gene. TBX21 initiates TH1 lineage development from naive TH precursor cells both by activating TH1 genetic programs and by repressing the opposing TH2 programs. It has also been shown to play an influential role in inflammatory processes such as inflammatory bowel disease, autoimmune diseases such as rheumatoid arthritis, and immune-mediated conditions like asthma.
Protocols
| Product Specific Protocols | |
|---|---|
| IHC protocol for TBX21/T-bet antibody 83804-6-RR | Download protocol |
| WB protocol for TBX21/T-bet antibody 83804-6-RR | Download protocol |
| Standard Protocols | |
|---|---|
| Click here to view our Standard Protocols |







