Tested Applications
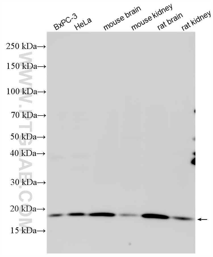
| Positive WB detected in | BxPC-3 cells, HeLa cells, mouse brain tissue, mouse kidney tissue, rat brain tissue, rat kidney tissue |
Recommended dilution
| Application | Dilution |
|---|---|
| Western Blot (WB) | WB : 1:500-1:2000 |
| It is recommended that this reagent should be titrated in each testing system to obtain optimal results. | |
| Sample-dependent, Check data in validation data gallery. | |
Published Applications
| WB | See 1 publications below |
Product Information
10207-2-AP targets UBE2V1 in WB, ELISA applications and shows reactivity with human, mouse, rat samples.
| Tested Reactivity | human, mouse, rat |
| Cited Reactivity | mouse |
| Host / Isotype | Rabbit / IgG |
| Class | Polyclonal |
| Type | Antibody |
| Immunogen |
CatNo: Ag0278 Product name: Recombinant human UBE2V1 protein Source: e coli.-derived, PGEX-4T Tag: GST Domain: 17-109 aa of BC000468 Sequence: LLEELEEGQKGVGDGTVSWGLEDDEDMTLTRWTGMIIGPPRTIYENRIYSLKIECGPKYPEAPPFVRFVTKINMNGVNSSNGVVDPRAISVLA Predict reactive species |
| Full Name | ubiquitin-conjugating enzyme E2 variant 1 |
| Calculated Molecular Weight | 20 kDa |
| Observed Molecular Weight | 20 kDa |
| GenBank Accession Number | BC000468 |
| Gene Symbol | UBE2V1 |
| Gene ID (NCBI) | 7335 |
| RRID | AB_2272560 |
| Conjugate | Unconjugated |
| Form | Liquid |
| Purification Method | Antigen affinity purification |
| UNIPROT ID | Q13404 |
| Storage Buffer | PBS with 0.02% sodium azide and 50% glycerol, pH 7.3. |
| Storage Conditions | Store at -20°C. Stable for one year after shipment. Aliquoting is unnecessary for -20oC storage. 20ul sizes contain 0.1% BSA. |
Background Information
UBE2V1(Ubiquitin-conjugating enzyme E2 variant 1) is also named as CROC1, UBE2V, UEV1 and belongs to the ubiquitin-conjugating enzyme family. It has no ubiquitin ligase activity on its own and the UBE2V1-UBE2N heterodimer catalyzes the synthesis of non-canonical poly-ubiquitin chains that are linked through Lys-63. CROC1 transcripts in all human tissues examined, with highest levels in brain, skeletal muscle, and kidney(PMID:9305758). It has 5 isoforms produced by alternative splicing.
Protocols
| Product Specific Protocols | |
|---|---|
| WB protocol for UBE2V1 antibody 10207-2-AP | Download protocol |
| Standard Protocols | |
|---|---|
| Click here to view our Standard Protocols |
Reviews
The reviews below have been submitted by verified Proteintech customers who received an incentive for providing their feedback.
FH Sarah (Verified Customer) (09-05-2025) | Antibody signal was quite weak in HEK293T cells, including some off-target products as well. Antibody was used in 5% BSA in milk with overnight incubation at 4C.
|

