Tested Applications
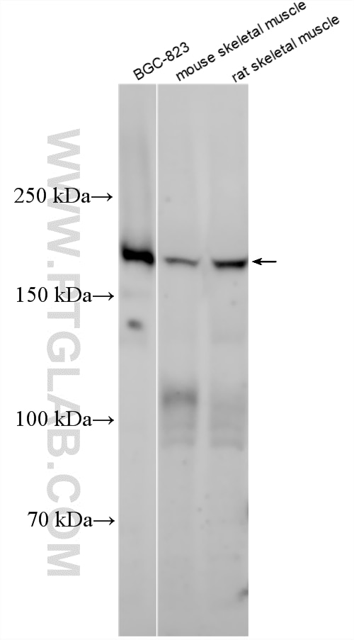
| Positive WB detected in | BGC-823 cells, mouse skeletal muscle tissue, rat skeletal muscle tissue |
| Positive IP detected in | mouse skeletal muscle tissue |
Recommended dilution
| Application | Dilution |
|---|---|
| Western Blot (WB) | WB : 1:200-1:1000 |
| Immunoprecipitation (IP) | IP : 0.5-4.0 ug for 1.0-3.0 mg of total protein lysate |
| It is recommended that this reagent should be titrated in each testing system to obtain optimal results. | |
| Sample-dependent, Check data in validation data gallery. | |
Published Applications
| KD/KO | See 1 publications below |
| WB | See 5 publications below |
| IP | See 1 publications below |
| CoIP | See 1 publications below |
Product Information
26069-1-AP targets UBR1 in WB, IP, CoIP, ELISA applications and shows reactivity with human, mouse, rat samples.
| Tested Reactivity | human, mouse, rat |
| Cited Reactivity | human |
| Host / Isotype | Rabbit / IgG |
| Class | Polyclonal |
| Type | Antibody |
| Immunogen |
CatNo: Ag22076 Product name: Recombinant human UBR1 protein Source: e coli.-derived, PGEX-4T Tag: GST Domain: 1-98 aa of BC113505 Sequence: MADEEAGGTERMEISAELPQTPQRLASWWDQQVDFYTAFLHHLAQLVPEIYFAEMDPDLEKQEESVQMSIFTPLEWYLFGEDPDICLEKLKHSGAFQL Predict reactive species |
| Full Name | ubiquitin protein ligase E3 component n-recognin 1 |
| Calculated Molecular Weight | 1749 aa, 200 kDa |
| Observed Molecular Weight | 200 kDa |
| GenBank Accession Number | BC113505 |
| Gene Symbol | UBR1 |
| Gene ID (NCBI) | 197131 |
| RRID | AB_2880360 |
| Conjugate | Unconjugated |
| Form | Liquid |
| Purification Method | Antigen affinity purification |
| UNIPROT ID | Q8IWV7 |
| Storage Buffer | PBS with 0.02% sodium azide and 50% glycerol, pH 7.3. |
| Storage Conditions | Store at -20°C. Stable for one year after shipment. Aliquoting is unnecessary for -20oC storage. 20ul sizes contain 0.1% BSA. |
Protocols
| Product Specific Protocols | |
|---|---|
| IHC protocol for UBR1 antibody 26069-1-AP | Download protocol |
| IP protocol for UBR1 antibody 26069-1-AP | Download protocol |
| WB protocol for UBR1 antibody 26069-1-AP | Download protocol |
| Standard Protocols | |
|---|---|
| Click here to view our Standard Protocols |
Publications
| Species | Application | Title |
|---|---|---|
J Cachexia Sarcopenia Muscle Identification of Ubr1 as an amino acid sensor of steatosis in liver and muscle | ||
EMBO Rep METTL3 protects METTL14 from STUB1-mediated degradation to maintain m6 A homeostasis | ||
Aging (Albany NY) UBR1 is a prognostic biomarker and therapeutic target associated with immune cell infiltration in gastric cancer | ||
Mol Cell A regulator of amino acid sensing links lipid peroxidation and lipid droplet-dependent antioxidant response | ||
Diabetes N-end Rule-Mediated Proteasomal Degradation of ATGL Promotes Lipid Storage
|



