Tested Applications
| Positive WB detected in | Jurkat cells, THP-1 cells |
| Positive IP detected in | Jurkat cells |
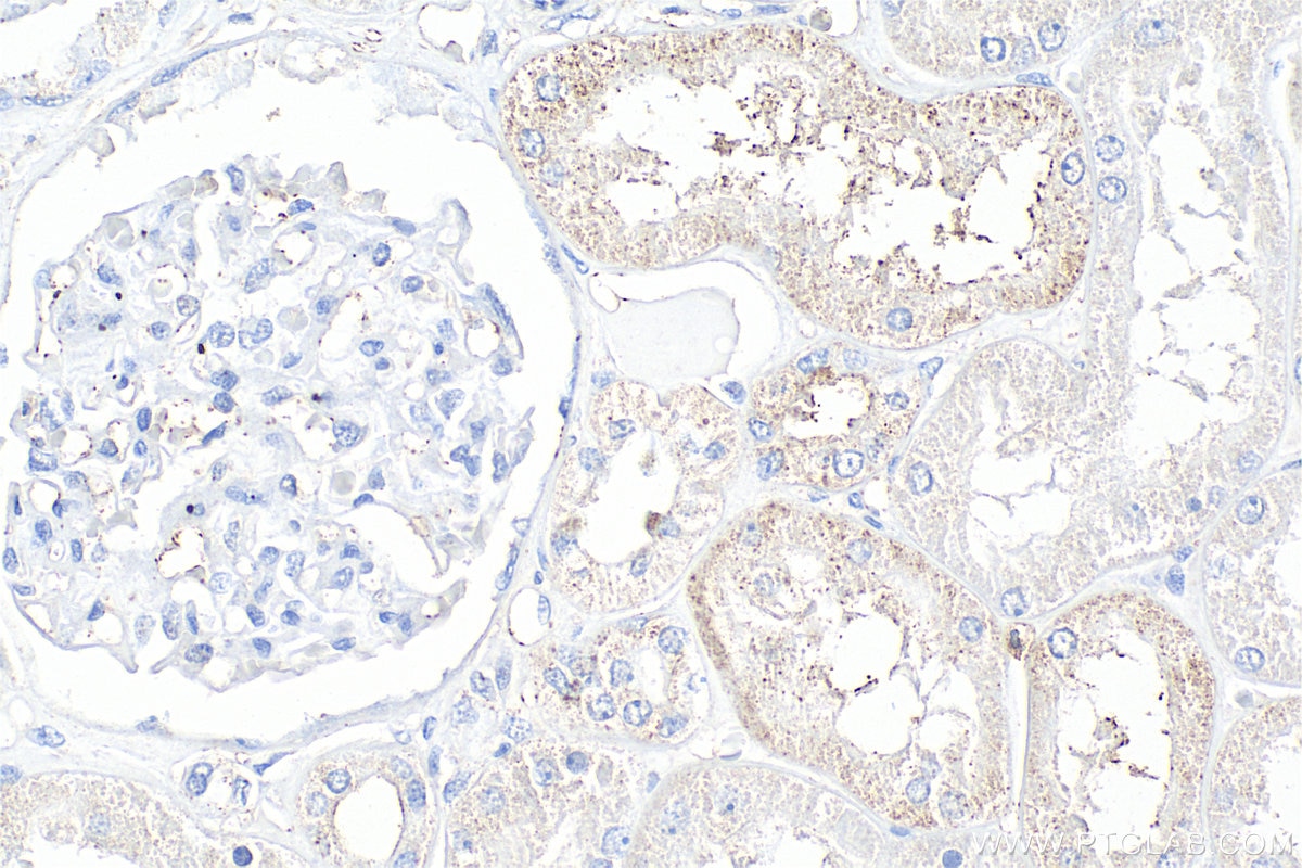
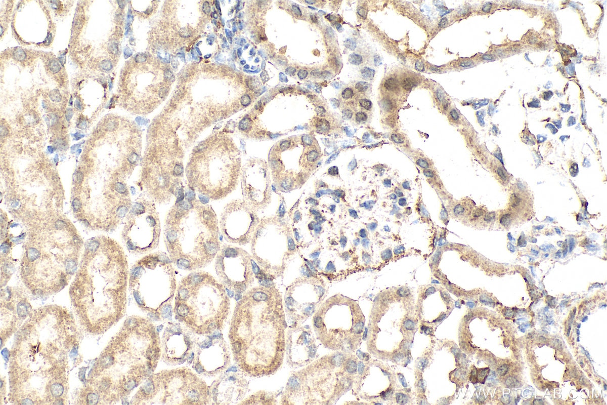
| Positive IHC detected in | human colon cancer tissue, human kidney tissue, mouse kidney tissue Note: suggested antigen retrieval with TE buffer pH 9.0; (*) Alternatively, antigen retrieval may be performed with citrate buffer pH 6.0 |
| Positive IF/ICC detected in | Jurkat cells, HeLa cells |
| Positive FC (Intra) detected in | Jurkat cells |
Recommended dilution
| Application | Dilution |
|---|---|
| Western Blot (WB) | WB : 1:2000-1:16000 |
| Immunoprecipitation (IP) | IP : 0.5-4.0 ug for 1.0-3.0 mg of total protein lysate |
| Immunohistochemistry (IHC) | IHC : 1:50-1:500 |
| Immunofluorescence (IF)/ICC | IF/ICC : 1:50-1:500 |
| Flow Cytometry (FC) (INTRA) | FC (INTRA) : 0.40 ug per 10^6 cells in a 100 µl suspension |
| It is recommended that this reagent should be titrated in each testing system to obtain optimal results. | |
| Sample-dependent, Check data in validation data gallery. | |
Published Applications
| WB | See 1 publications below |
| IF | See 1 publications below |
Product Information
30291-1-AP targets VAV3 in WB, IHC, IF/ICC, FC (Intra), IP, ELISA applications and shows reactivity with human samples.
| Tested Reactivity | human |
| Cited Reactivity | human |
| Host / Isotype | Rabbit / IgG |
| Class | Polyclonal |
| Type | Antibody |
| Immunogen |
CatNo: Ag33022 Product name: Recombinant human VAV3 protein Source: e coli.-derived, PGEX-4T Tag: GST Domain: 546-847 aa of NM_006113 Sequence: KCGARAHKECLGRVDNCGRVNSGEQGTLKLPEKRTNGLRRTPKQVDPGLPKMQVIRNYSGTPPPALHEGPPLQLQAGDTVELLKGDAHSLFWQGRNLASGEVGFFPSDAVKPCPCVPKPVDYSCQPWYAGAMERLQAETELINRVNSTYLVRHRTKESGEYAISIKYNNEAKHIKILTRDGFFHIAENRKFKSLMELVEYYKHHSLKEGFRTLDTTLQFPYKEPEHSAGQRGNRAGNSLLSPKVLGIAIARYDFCARDMRELSLLKGDVVKIYTKMSANGWWRGEVNGRVGWFPSTYVEEDE Predict reactive species |
| Full Name | vav 3 guanine nucleotide exchange factor |
| Calculated Molecular Weight | 98kd |
| Observed Molecular Weight | 98 kDa |
| GenBank Accession Number | NM_006113 |
| Gene Symbol | VAV3 |
| Gene ID (NCBI) | 10451 |
| RRID | AB_3086288 |
| Conjugate | Unconjugated |
| Form | Liquid |
| Purification Method | Antigen affinity purification |
| UNIPROT ID | Q9UKW4 |
| Storage Buffer | PBS with 0.02% sodium azide and 50% glycerol, pH 7.3. |
| Storage Conditions | Store at -20°C. Stable for one year after shipment. Aliquoting is unnecessary for -20oC storage. 20ul sizes contain 0.1% BSA. |
Background Information
Vav3, a member of Dbl family which is also the activator of GTP kinase of Rho family, can activate the expression of RhoA, Racl and Cdc42 (PMID:28285969). Vav3 is associated with tumor growth, apoptosis, invasion, metastasis and angiogenesis (PMID:28285969). Vav3 is a multiple function protein with both signaling molecule and coactivator activities. Vav3 oncogene is overexpressed in androgen-independent prostate cancer cells relative to their androgen-dependent counterparts and contribute to development of hormone refractory prostate cancer (PMID:21455584).
Protocols
| Product Specific Protocols | |
|---|---|
| FC protocol for VAV3 antibody 30291-1-AP | Download protocol |
| IF protocol for VAV3 antibody 30291-1-AP | Download protocol |
| IHC protocol for VAV3 antibody 30291-1-AP | Download protocol |
| IP protocol for VAV3 antibody 30291-1-AP | Download protocol |
| WB protocol for VAV3 antibody 30291-1-AP | Download protocol |
| Standard Protocols | |
|---|---|
| Click here to view our Standard Protocols |
Publications
| Species | Application | Title |
|---|---|---|
CNS Neurosci Ther Identification of Brain Cell Type-Specific Therapeutic Targets for Glioma From Genetics | ||
Nat Commun Neutrophil extracellular traps-inspired DNA hydrogel for wound hemostatic adjuvant |















