Product Information
81615-1-PBS targets pan RAS as part of a matched antibody pair:
MP80009-1: 60309-1-PBS capture and 81615-1-PBS detection (validated in Cytometric bead array)
Unconjugated rabbit recombinant monoclonal antibody in PBS only (BSA and azide free) storage buffer at a concentration of 1 mg/mL, ready for conjugation. Created using Proteintech’s proprietary in-house recombinant technology. Recombinant production enables unrivalled batch-to-batch consistency, easy scale-up, and future security of supply.
This conjugation ready format makes antibodies ideal for use in many applications including: ELISAs, multiplex assays requiring matched pairs, mass cytometry, and multiplex imaging applications.Antibody use should be optimized by the end user for each application and assay.
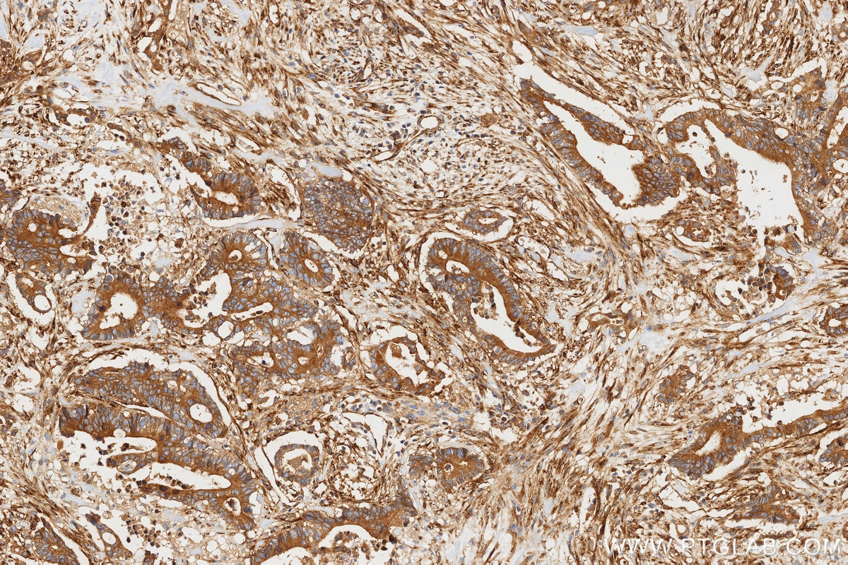
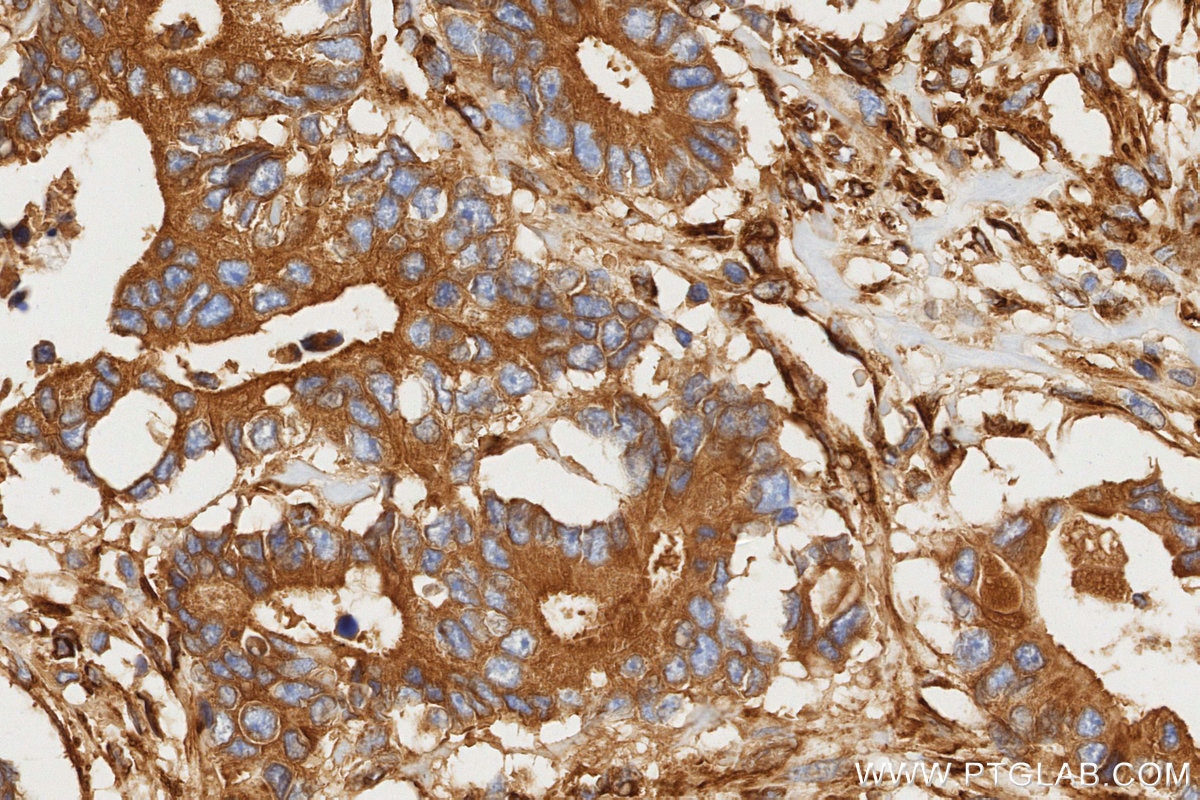
| Tested Reactivity | human, mouse, rat, pig |
| Host / Isotype | Rabbit / IgG |
| Class | Recombinant |
| Type | Antibody |
| Immunogen |
CatNo: Ag2700 Product name: Recombinant human KRAS protein Source: e coli.-derived, PGEX-4T Tag: GST Domain: 1-188 aa of BC013572 Sequence: MTEYKLVVVGAGGVGKSALTIQLIQNHFVDEYDPTIEDSYRKQVVIDGETCLLDILDTAGHEEYSAMRDQYMRTGEGFLCVFAINNTKSFEDIHHYREQIKRVKDSEDVPMVLVGNKCDLPSRTVDTKQAQDLARSYGIPFIETSAKTRQGVDDAFYTLVREIRKHKEKMSKDGKKKKKKSKTKCVIM Predict reactive species |
| Full Name | v-Ki-ras2 Kirsten rat sarcoma viral oncogene homolog |
| Calculated Molecular Weight | 188 aa, 21 kDa |
| Observed Molecular Weight | 21 kDa |
| GenBank Accession Number | BC013572 |
| Gene Symbol | KRAS |
| Gene ID (NCBI) | 3845 |
| Conjugate | Unconjugated |
| Form | Liquid |
| Purification Method | Protein A purification |
| UNIPROT ID | P01116 |
| Storage Buffer | PBS only, pH 7.3. |
| Storage Conditions | Store at -80°C. |
Background Information
The 21 kDa guanine-nucleotide binding proteins (K-Ras, H-Ras, and N-Ras) belong to the Ras oncogene family, whose members are related to the transforming genes of mammalian sarcoma retroviruses. K-Ras, H-Ras, and N-Ras have similar structure and sequences. These proteins can bind GTP and GDP, and they have intrinsic GTPase activity. The ras genes are ubiquitously expressed although mRNA analysis suggests different level expression in tissue. Mutations in each ras gene frequently were found in different tumors, suggesting their involvement in the development of specific neoplasia. This antibody can recognize K-Ras, H-Ras, and N-Ras.

















