Tested Applications
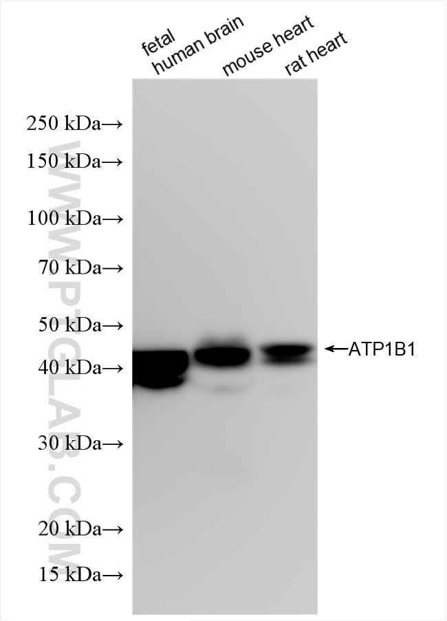
| Positive WB detected in | mouse brain tissue, fetal human brain tissue, mouse heart tissue, rat heart tissue, rat brain tissue |
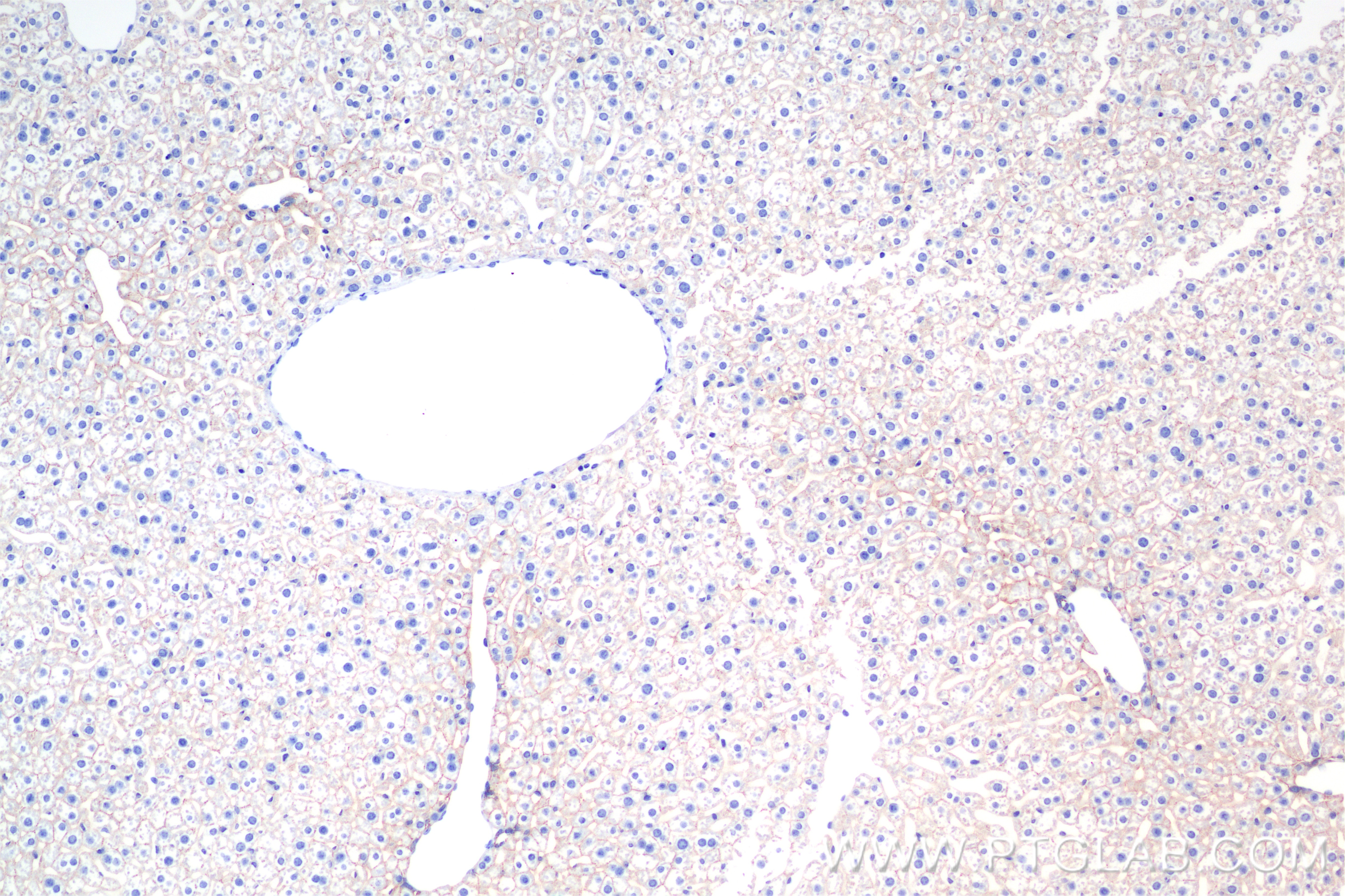
| Positive IHC detected in | mouse brain tissue, mouse liver tissue Note: suggested antigen retrieval with TE buffer pH 9.0; (*) Alternatively, antigen retrieval may be performed with citrate buffer pH 6.0 |
Recommended dilution
| Application | Dilution |
|---|---|
| Western Blot (WB) | WB : 1:5000-1:50000 |
| Immunohistochemistry (IHC) | IHC : 1:250-1:1000 |
| It is recommended that this reagent should be titrated in each testing system to obtain optimal results. | |
| Sample-dependent, Check data in validation data gallery. | |
Published Applications
| WB | See 1 publications below |
Product Information
85916-1-RR targets ATP1B1 in WB, IHC, IF-P, ELISA applications and shows reactivity with human, mouse, rat samples.
| Tested Reactivity | human, mouse, rat |
| Cited Reactivity | human |
| Host / Isotype | Rabbit / IgG |
| Class | Recombinant |
| Type | Antibody |
| Immunogen |
CatNo: Eg3007 Product name: Recombinant Mouse ATP1B1 protein (rFc Tag) Source: mammalian cells-derived, V37 Tag: C-rFc Domain: 63-304 aa of NM_009721.6 Sequence: ELKPTYQDRVAPPGLTQIPQIQKTEISFRPNDPKSYEAYVLNIIRFLEKYKDSAQKDDMIFEDCGNVPSEPKERGDINHERGERKVCRFKLDWLGNCSGLNDDSYGYREGKPCIIIKLNRVLGFKPKPPKNESLETYPLMMKYNPNVLPVQCTGKRDEDKDKVGNIEYFGMGGYYGFPLQYYPYYGKLLQPKYLQPLLAVQFTNLTVDTEIRVECKAYGENIGYSEKDRFQGRFDVKIEIKS Predict reactive species |
| Full Name | ATPase, Na+/K+ transporting, beta 1 polypeptide |
| Calculated Molecular Weight | 35 kDa |
| Observed Molecular Weight | 40-50 kDa |
| GenBank Accession Number | NM_009721.6 |
| Gene Symbol | Atp1b1 |
| Gene ID (NCBI) | 11931 |
| RRID | AB_3744471 |
| Conjugate | Unconjugated |
| Form | Liquid |
| Purification Method | Protein A purification |
| UNIPROT ID | P14094 |
| Storage Buffer | PBS with 0.02% sodium azide and 50% glycerol, pH 7.3. |
| Storage Conditions | Store at -20°C. Stable for one year after shipment. Aliquoting is unnecessary for -20oC storage. 20ul sizes contain 0.1% BSA. |
Background Information
ATP1B1 is one of beta subunits of the Na+/K+ ATPase and responsible for formation and structural integrity of the Na+/K+ ATPase. The Na+/K+ ATPase is a plasma membrane pump consisting of alpha, beta, and gamma subunits. At least four of Na+/K+-ATPase beta subunits (β1, β2, β3, β4) have been identified in mammalian cells; the β1-subunit (ATP1B1) is the most ubiquitous. The Na+/K+ ATPase β subunits have multiple N-glycosylation sites. The predicted MW of ATP1B1 is 35 kDa, while it migrates around 40-52 kDa due to the variable glycosylation. (PMID: 10896885, 17714085)
Protocols
| Product Specific Protocols | |
|---|---|
| IHC protocol for ATP1B1 antibody 85916-1-RR | Download protocol |
| WB protocol for ATP1B1 antibody 85916-1-RR | Download protocol |
| Standard Protocols | |
|---|---|
| Click here to view our Standard Protocols |







