Tested Applications
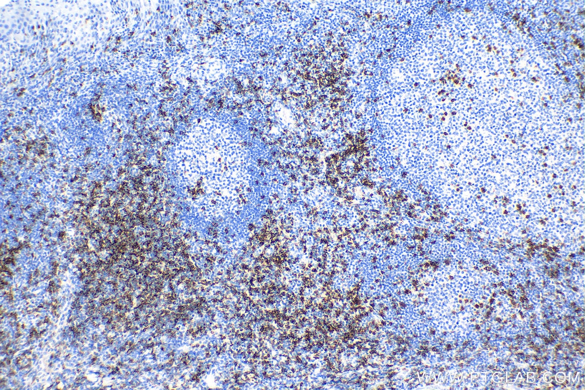
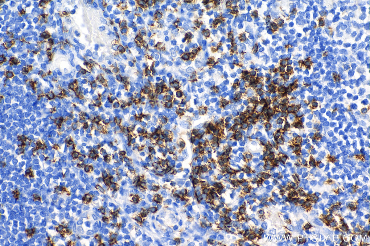
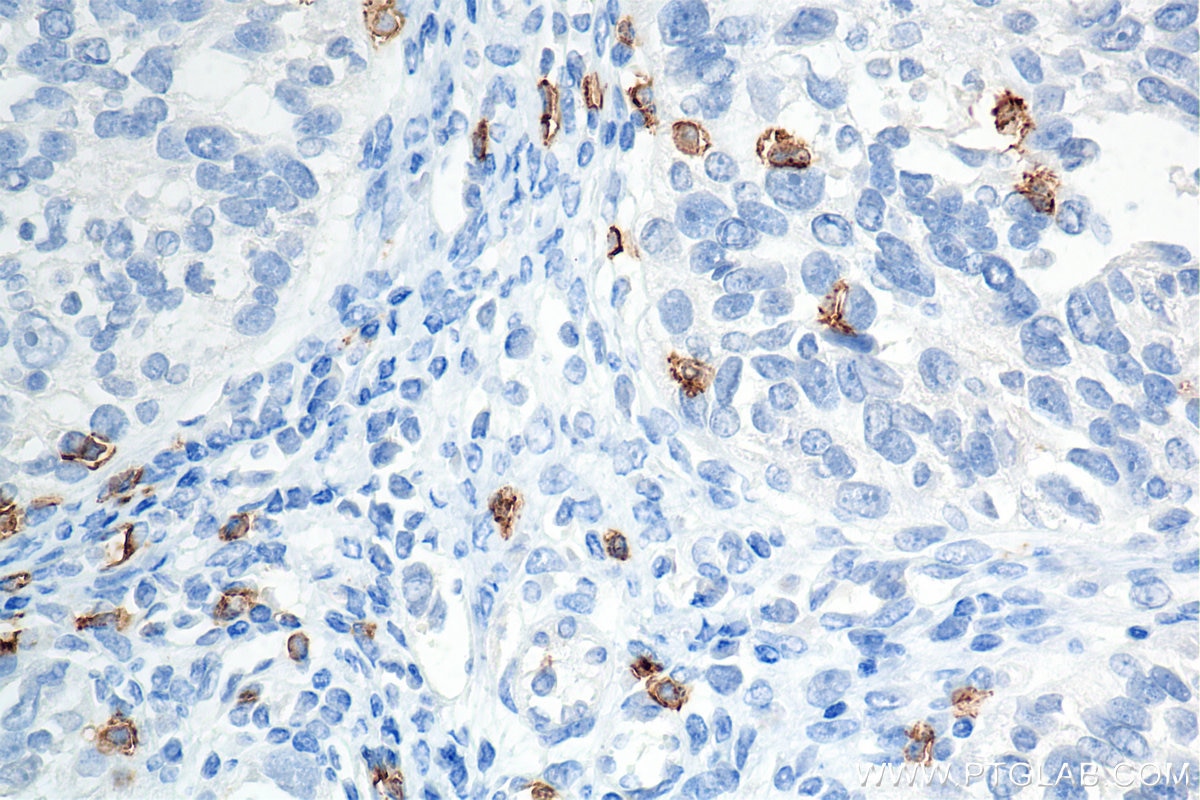
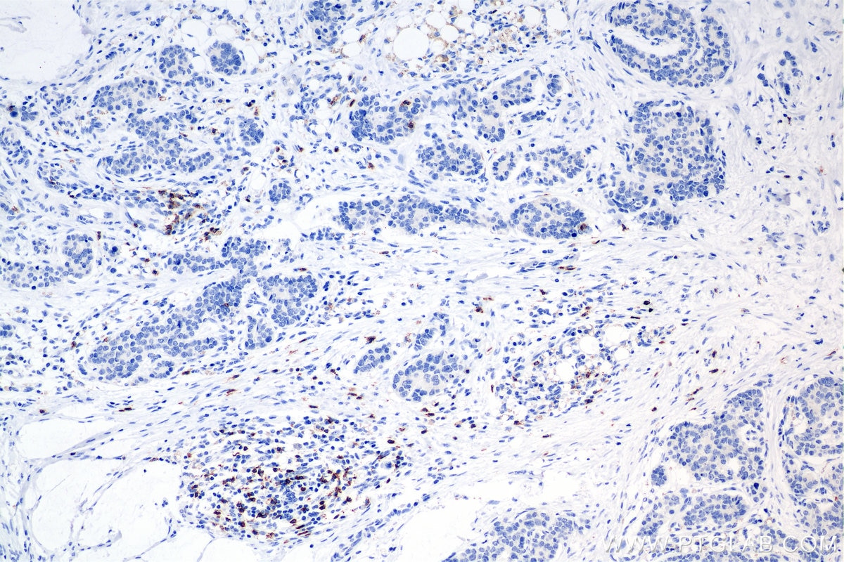
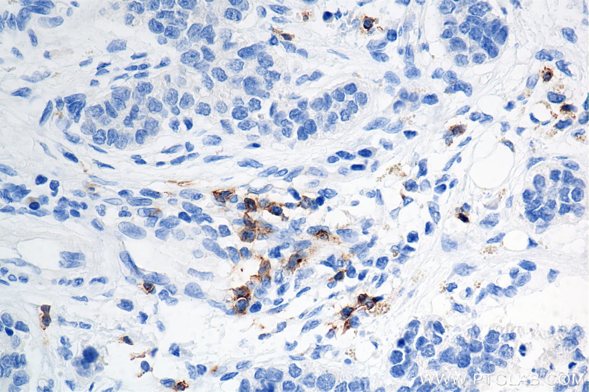
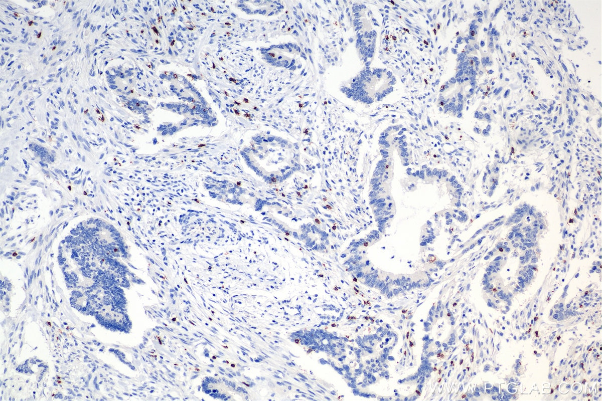
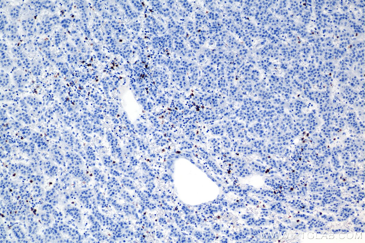
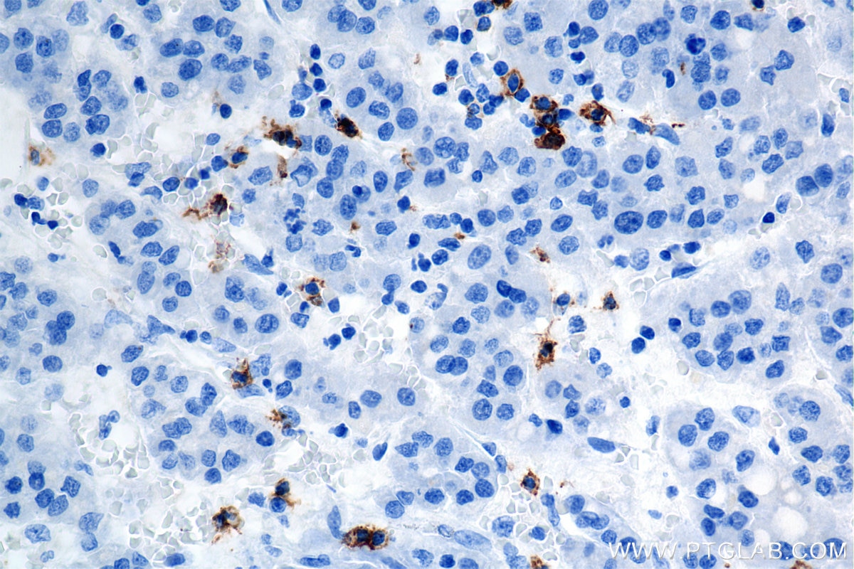
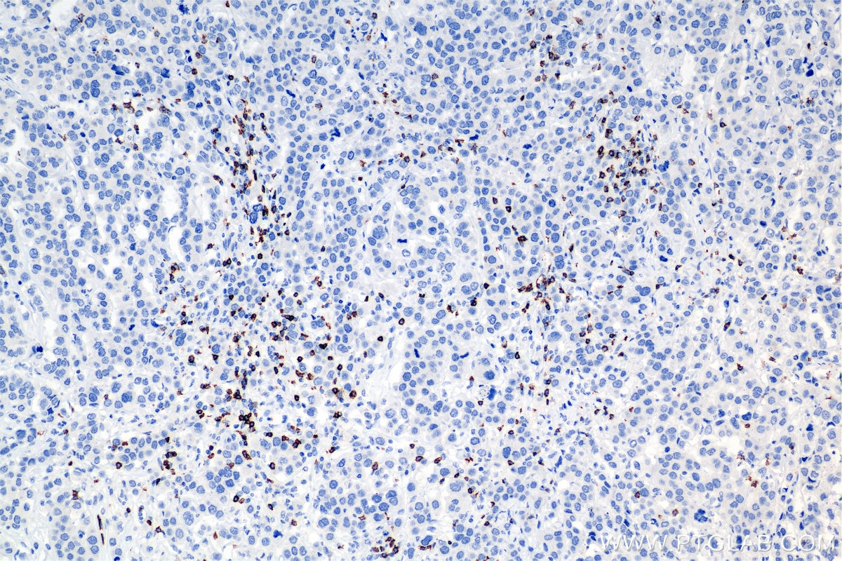
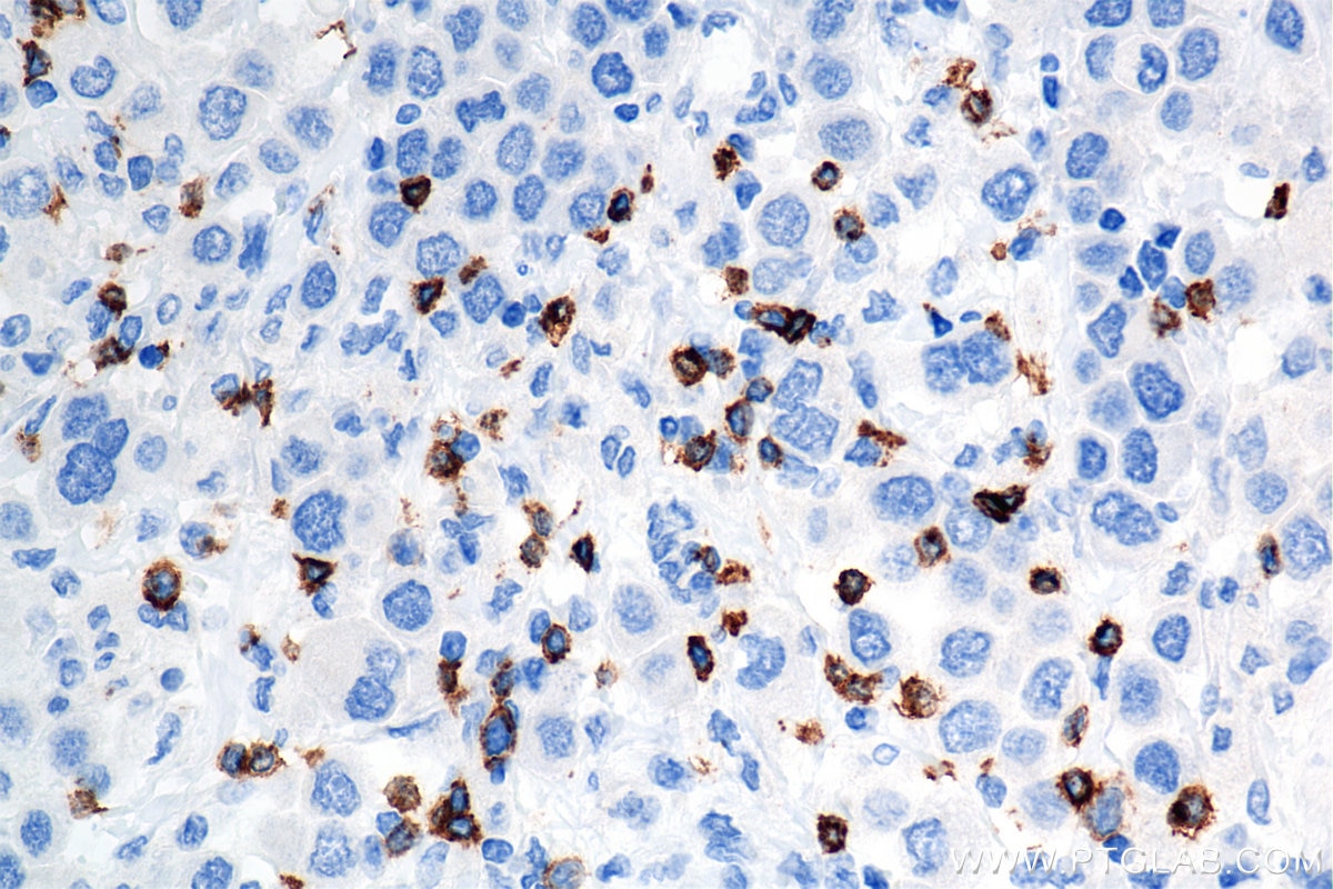
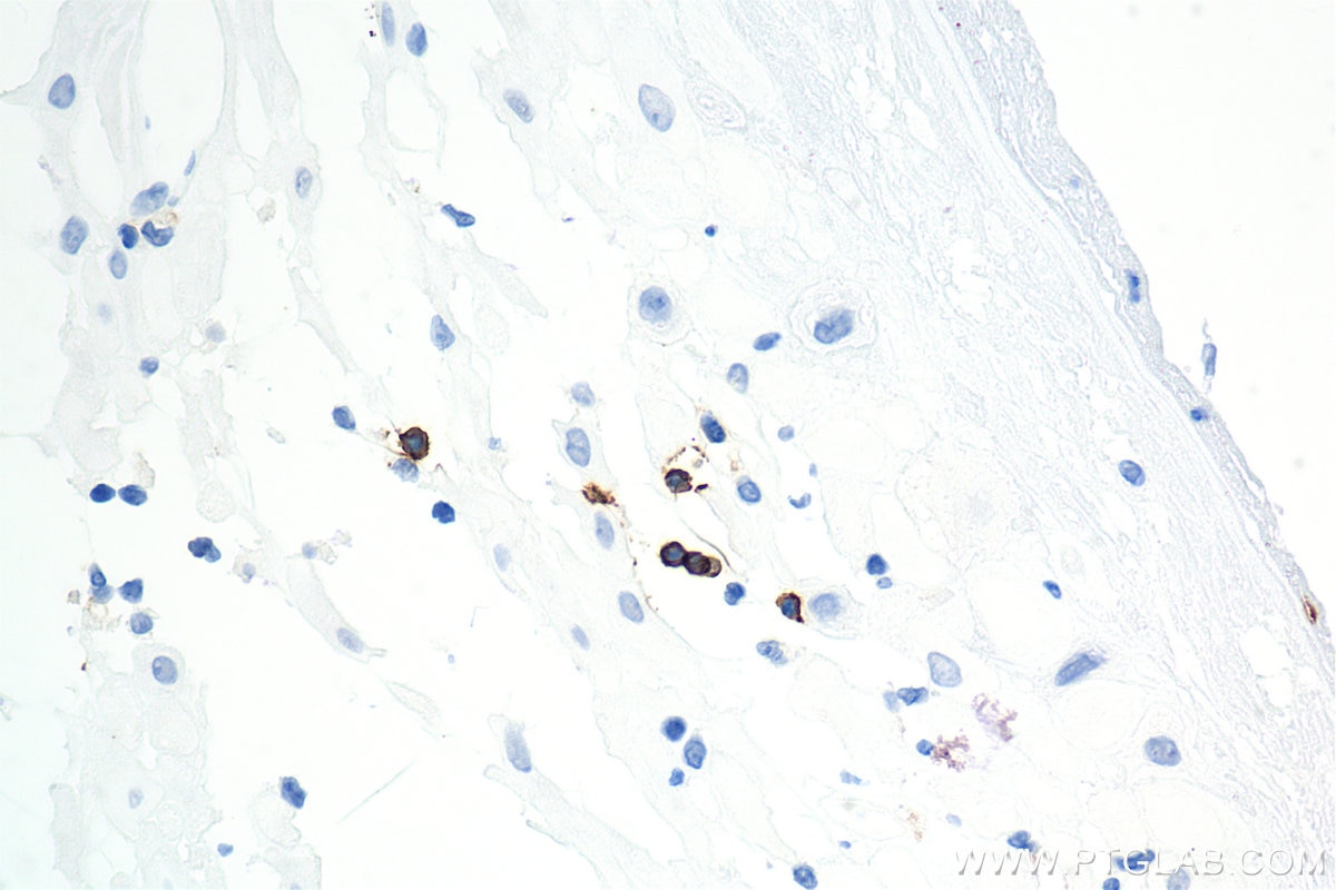
| Positive IHC detected in | human tonsillitis tissue, human ovary cancer tissue, human stomach cancer tissue, human rectal cancer tissue, human hepatocellular cancer, human breast cancer tissue, human placenta tissue Note: suggested antigen retrieval with TE buffer pH 9.0; (*) Alternatively, antigen retrieval may be performed with citrate buffer pH 6.0 |
| Positive IF/ICC detected in | human tonsillitis tissue |
Recommended dilution
| Application | Dilution |
|---|---|
| Immunohistochemistry (IHC) | IHC : 1:2000-1:8000 |
| Immunofluorescence (IF)/ICC | IF/ICC : 1:400-1:1600 |
| It is recommended that this reagent should be titrated in each testing system to obtain optimal results. | |
| Sample-dependent, Check data in validation data gallery. | |
Product Information
86063-2-RR targets CD8a in IHC, IF/ICC, ELISA applications and shows reactivity with human samples.
| Tested Reactivity | human |
| Host / Isotype | Rabbit / IgG |
| Class | Recombinant |
| Type | Antibody |
| Immunogen |
CatNo: Eg0819 Product name: Recombinant Human CD8a protein (His Tag) Source: mammalian cells-derived, pHZ-KIsec-C-6*HIS Tag: C-6*HIS Domain: 22-182 aa of NM_001145873.1 Sequence: SQFRVSPLDRTWNLGETVELKCQVLLSNPTSGCSWLFQPRGAAASPTFLLYLSQNKPKAAEGLDTQRFSGKRLGDTFVLTLSDFRRENEGYYFCSALSNSIMYFSHFVPVFLPAKPTTTPAPRPPTPAPTIASQPLSLRPEACRPAAGGAVHTRGLDFACD Predict reactive species |
| Full Name | CD8a molecule |
| Calculated Molecular Weight | 26 kDa |
| GenBank Accession Number | NM_001145873.1 |
| Gene Symbol | CD8A |
| Gene ID (NCBI) | 925 |
| ENSEMBL Gene ID | ENSG00000153563 |
| Conjugate | Unconjugated |
| Form | Liquid |
| Purification Method | Protein A purification |
| UNIPROT ID | P01732-1 |
| Storage Buffer | PBS with 0.02% sodium azide and 50% glycerol, pH 7.3. |
| Storage Conditions | Store at -20°C. Stable for one year after shipment. Aliquoting is unnecessary for -20oC storage. 20ul sizes contain 0.1% BSA. |
Background Information
CD8 is a transmembrane glycoprotein that is predominantly expressed on the surface of cytotoxic T cells, and can also be found on natural killer cells, cortical thymocytes, and dendritic cells. CD8 serves as a co-receptor for the T cell receptor (TCR). Both CD8 and TCR recognize antigens displayed by an antigen presenting cell (APC) in the context of class I MHC molecules. CD8 plays a role in T cell development and activation of mature T cells. This antibody is raised against 22-182 aa of human CD8a, the alpha chain of CD8 molecule.
Protocols
| Product Specific Protocols | |
|---|---|
| IF protocol for CD8a antibody 86063-2-RR | Download protocol |
| IHC protocol for CD8a antibody 86063-2-RR | Download protocol |
| Standard Protocols | |
|---|---|
| Click here to view our Standard Protocols |































