Tested Applications
| Positive WB detected in | HeLa cells, MDA-MB-231 cells, A549 cells, mouse heart tissue, rat heart tissue |
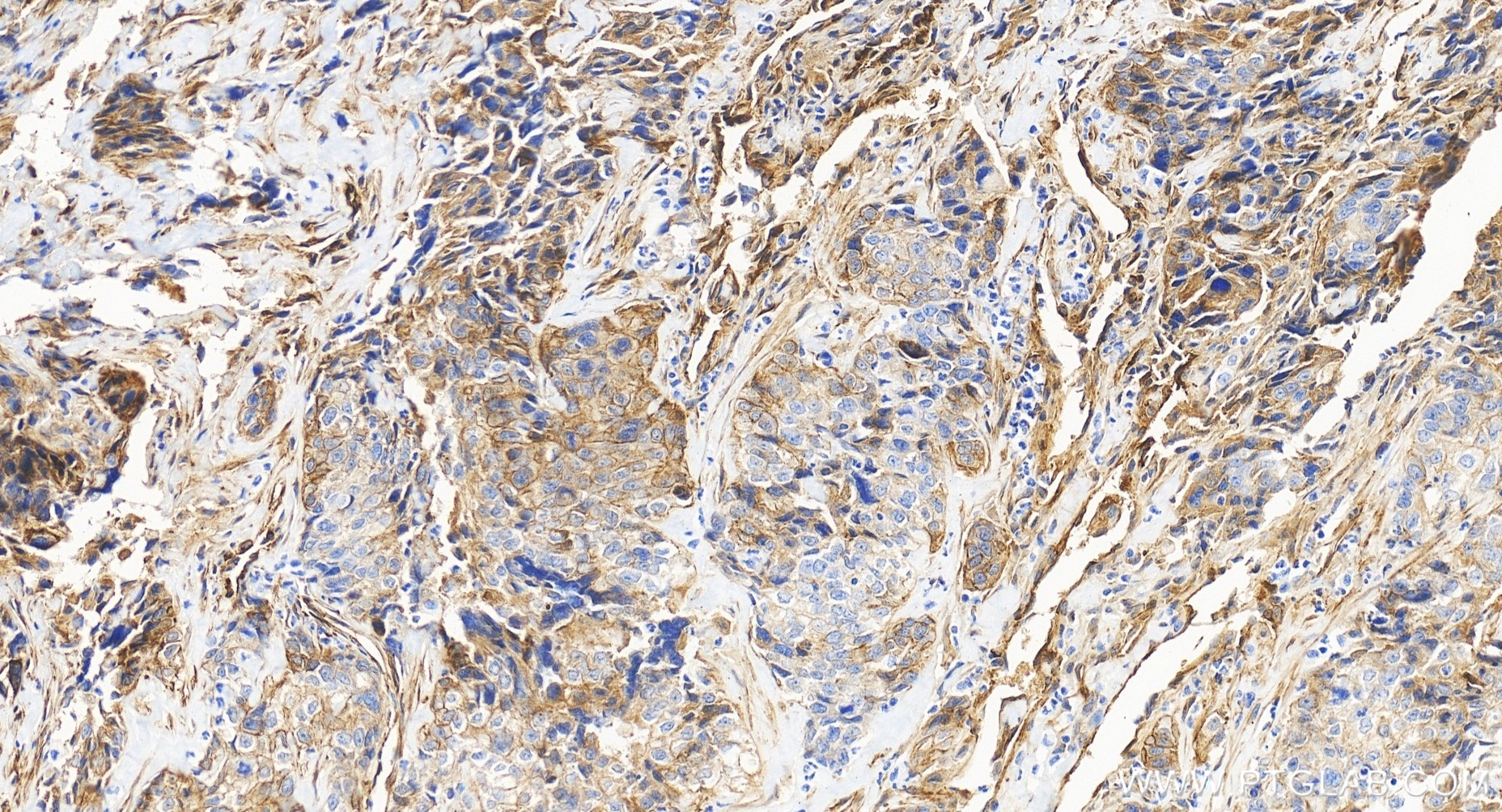
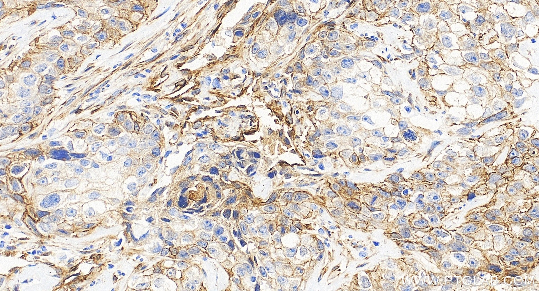
| Positive IHC detected in | human ovary cancer tissue Note: suggested antigen retrieval with TE buffer pH 9.0; (*) Alternatively, antigen retrieval may be performed with citrate buffer pH 6.0 |
| Positive IF/ICC detected in | A549 cells |
| Positive FC (Intra) detected in | A431 cells |
Recommended dilution
| Application | Dilution |
|---|---|
| Western Blot (WB) | WB : 1:5000-1:50000 |
| Immunohistochemistry (IHC) | IHC : 1:250-1:1000 |
| Immunofluorescence (IF)/ICC | IF/ICC : 1:200-1:800 |
| Flow Cytometry (FC) (INTRA) | FC (INTRA) : 0.25 ug per 10^6 cells in a 100 µl suspension |
| It is recommended that this reagent should be titrated in each testing system to obtain optimal results. | |
| Sample-dependent, Check data in validation data gallery. | |
Product Information
85604-4-RR targets EHD2 in WB, IHC, IF/ICC, FC (Intra), ELISA applications and shows reactivity with human, mouse, rat samples.
| Tested Reactivity | human, mouse, rat |
| Host / Isotype | Rabbit / IgG |
| Class | Recombinant |
| Type | Antibody |
| Immunogen |
CatNo: Ag2002 Product name: Recombinant human EHD2 protein Source: e coli.-derived, PGEX-4T Tag: GST Domain: 194-543 aa of BC014445 Sequence: LEISDEFSEAIGALRGHEDKIRVVLNKADMVETQQLMRVYGALMWALGKVVGTPEVLRVYIGSFWSQPLLVPDNRRLFELEEQDLFRDIQGLPRHAALRKLNDLVKRARLVRVHAYIISYLKKEMPSVFGKENKKKQLILKLPVIFAKIQLEHHISPGDFPDCQKMQELLMAHDFTKFHSLKPKLLEALDEMLTHDIAKLMPLLRQEELESTEVGVQGGAFEGTHMGPFVERGPDEAMEDGEEGSDDEAEWVVTKDKSKYDEIFYNLAPADGKLSGSKAKTWMVGTKLPNSVLGRIWKLSDVDRDGMLDDEEFALASHLIEAKLEGHGLPANLPRRLVPPSKRRHKGSAE Predict reactive species |
| Full Name | EH-domain containing 2 |
| Calculated Molecular Weight | 543 aa, 61 kDa |
| Observed Molecular Weight | 61 kDa |
| GenBank Accession Number | BC014445 |
| Gene Symbol | EHD2 |
| Gene ID (NCBI) | 30846 |
| Conjugate | Unconjugated |
| Form | Liquid |
| Purification Method | Protein A purification |
| UNIPROT ID | Q9NZN4 |
| Storage Buffer | PBS with 0.02% sodium azide and 50% glycerol, pH 7.3. |
| Storage Conditions | Store at -20°C. Stable for one year after shipment. Aliquoting is unnecessary for -20oC storage. 20ul sizes contain 0.1% BSA. |
Background Information
EH domain-containing protein 2 (EHD2) is a member of the EHD protein family. It is primarily located in the plasma membrane but can also be found in the cytoplasm and endosomes. EHD2 is also a nuclear-cytoplasmic shuttle protein, acting as a corepressor of transcription to inhibit gene transcription when it enters the cell nucleus. EHD2 is a dynamin-related ATPase that plays a key role in regulating a series of biological processes. As a crucial regulator of endocytic transport, it is involved in the formation and maintenance of endosomal tubules and vesicles, which are vital for intracellular transport of proteins and other substances. EHD2 has been implicated in several human cancers and has potential as a predictive biomarker of chemotherapy efficacy.
Protocols
| Product Specific Protocols | |
|---|---|
| FC protocol for EHD2 antibody 85604-4-RR | Download protocol |
| IF protocol for EHD2 antibody 85604-4-RR | Download protocol |
| IHC protocol for EHD2 antibody 85604-4-RR | Download protocol |
| WB protocol for EHD2 antibody 85604-4-RR | Download protocol |
| Standard Protocols | |
|---|---|
| Click here to view our Standard Protocols |













