Tested Applications
| Positive WB detected in | A431 cells, HCT 116 cells, HaCaT cells, MCF-7 cells |
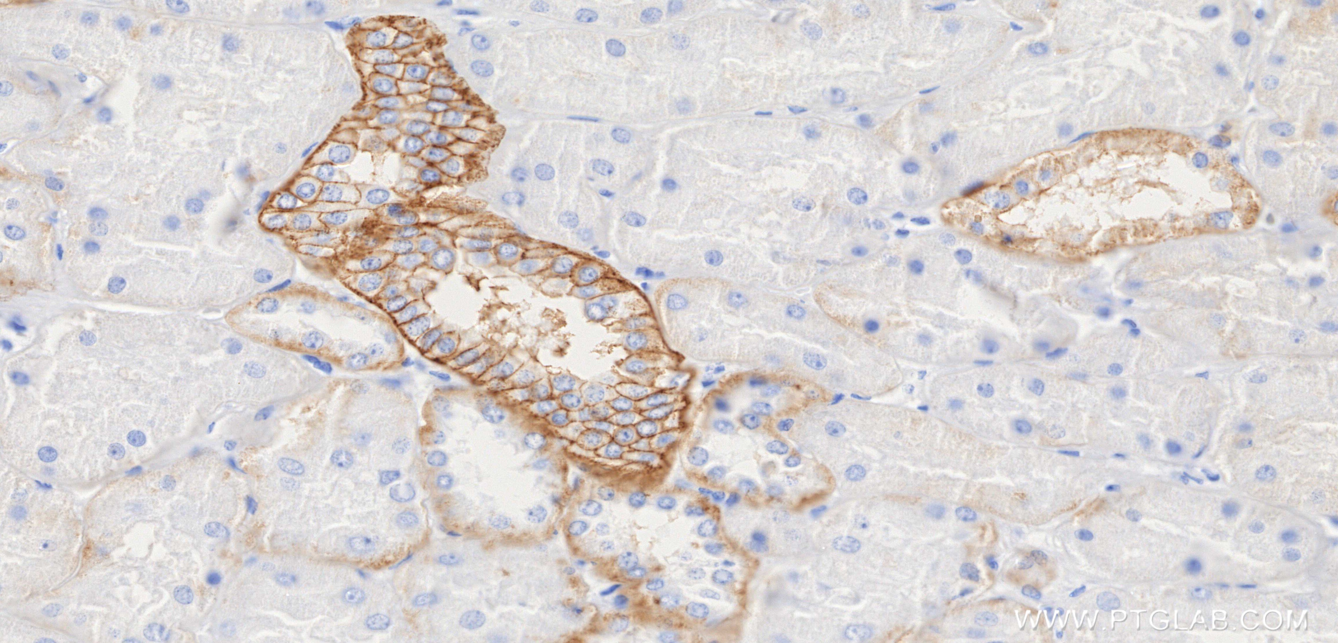
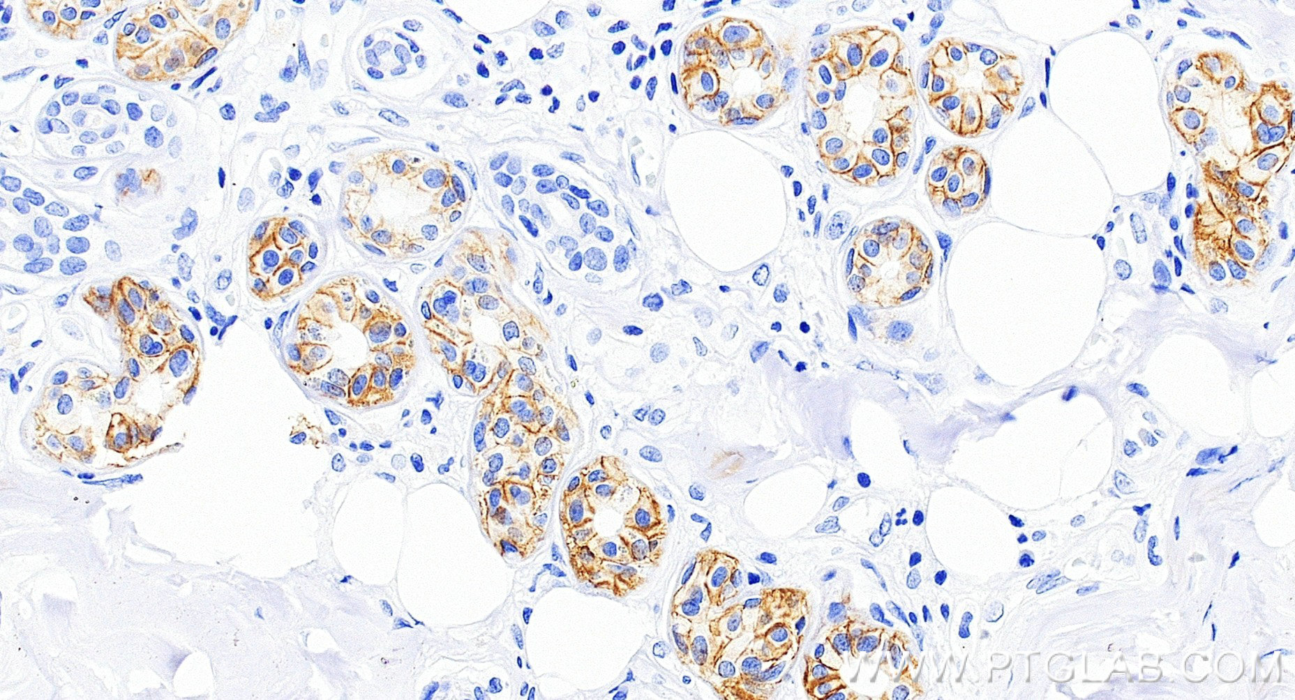
| Positive IHC detected in | human ovary cancer tissue, human colon cancer tissue, human kidney tissue, human skin tissue Note: suggested antigen retrieval with TE buffer pH 9.0; (*) Alternatively, antigen retrieval may be performed with citrate buffer pH 6.0 |
| Positive IF/ICC detected in | MCF-7 cells |
Recommended dilution
| Application | Dilution |
|---|---|
| Western Blot (WB) | WB : 1:5000-1:50000 |
| Immunohistochemistry (IHC) | IHC : 1:500-1:2000 |
| Immunofluorescence (IF)/ICC | IF/ICC : 1:200-1:800 |
| It is recommended that this reagent should be titrated in each testing system to obtain optimal results. | |
| Sample-dependent, Check data in validation data gallery. | |
Published Applications
| IF | See 1 publications below |
Product Information
84073-6-RR targets EPCAM/CD326 in WB, IHC, IF/ICC, ELISA applications and shows reactivity with human samples.
| Tested Reactivity | human |
| Cited Reactivity | human |
| Host / Isotype | Rabbit / IgG |
| Class | Recombinant |
| Type | Antibody |
| Immunogen |
CatNo: Eg1370 Product name: Recombinant Human EpCAM/CD326 protein (His Tag) Source: mammalian cells-derived, pHZ-KIsec-C-6*HIS Tag: C-6*HIS Domain: 24-265 aa of NM_002354.3 Sequence: QEECVCENYKLAVNCFVNNNRQCQCTSVGAQNTVICSKLAAKCLVMKAEMNGSKLGRRAKPEGALQNNDGLYDPDCDESGLFKAKQCNGTSMCWCVNTAGVRRTDKDTEITCSERVRTYWIIIELKHKAREKPYDSKSLRTALQKEITTRYQLDPKFITSILYENNVITIDLVQNSSQKTQNDVDIADVAYYFEKDVKGESLFHSKKMDLTVNGEQLDLDPGQTLIYYVDEKAPEFSMQGLK Predict reactive species |
| Full Name | epithelial cell adhesion molecule |
| Calculated Molecular Weight | 35 kDa |
| Observed Molecular Weight | 35-40 kDa |
| GenBank Accession Number | NM_002354.3 |
| Gene Symbol | EPCAM |
| Gene ID (NCBI) | 4072 |
| RRID | AB_3671643 |
| Conjugate | Unconjugated |
| Form | Liquid |
| Purification Method | Protein A purfication |
| UNIPROT ID | P16422 |
| Storage Buffer | PBS with 0.02% sodium azide and 50% glycerol, pH 7.3. |
| Storage Conditions | Store at -20°C. Stable for one year after shipment. Aliquoting is unnecessary for -20oC storage. 20ul sizes contain 0.1% BSA. |
Background Information
Epithelial cell adhesion molecule (EpCAM, CD326) is a type I transmembrane glycoprotein that functions as a homophilic, epithelial-specific intercellular cell-adhesion molecule. In addition to cell adhesion, EpCAM is also involved in cellular signaling, cell migration, proliferation, and differentiation. EpCAM is highly expressed on most carcinomas and therefore of potential use as a diagnostic and prognostic marker for a variety of carcinomas, and has become a therapeutic target. EpCAM may occur in distinct forms due to glycosylation. (PMID: 20837599; 19249674; 21576002; 22647938; 12691820)
Protocols
| Product Specific Protocols | |
|---|---|
| IF protocol for EPCAM/CD326 antibody 84073-6-RR | Download protocol |
| IHC protocol for EPCAM/CD326 antibody 84073-6-RR | Download protocol |
| WB protocol for EPCAM/CD326 antibody 84073-6-RR | Download protocol |
| Standard Protocols | |
|---|---|
| Click here to view our Standard Protocols |















