Tested Applications
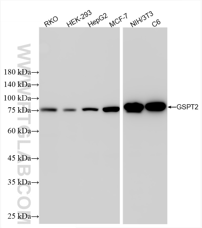
| Positive WB detected in | RKO cells, HEK-293 cells, HepG2 cells, MCF-7 cells, NIH/3T3 cells, C6 cells |
| Positive IF/ICC detected in | MCF-7 cells |
Recommended dilution
| Application | Dilution |
|---|---|
| Western Blot (WB) | WB : 1:2000-1:10000 |
| Immunofluorescence (IF)/ICC | IF/ICC : 1:250-1:1000 |
| It is recommended that this reagent should be titrated in each testing system to obtain optimal results. | |
| Sample-dependent, Check data in validation data gallery. | |
Product Information
86508-3-RR targets GSPT2 in WB, IF/ICC, ELISA applications and shows reactivity with human, mouse, rat samples.
| Tested Reactivity | human, mouse, rat |
| Host / Isotype | Rabbit / IgG |
| Class | Recombinant |
| Type | Antibody |
| Immunogen |
CatNo: Ag3641 Product name: Recombinant human GSPT2 protein Source: e coli.-derived, PGEX-4T Tag: GST Domain: 1-200 aa of BC036077 Sequence: MDSGSSSSDSAPDCWDQVDMESTGSAPSGDGVSSAVAEAQREPLSSAFSRKLNVNAKPFVPNVHAAEFVPSFLRGPTQPPTLPAGSGSNDETCTGAGYPQGKRMGRGAPVEPSREEPLVSLEGSNSAVTMELSEPVVENGEVEMALEESWEHSKEVSEAEPGGGSSGDSGPPEESGQEMMEEKEEIRKSKSVIVPSGAPK Predict reactive species |
| Full Name | G1 to S phase transition 2 |
| Calculated Molecular Weight | 628 aa, 69 kDa |
| Observed Molecular Weight | 69-75 kDa |
| GenBank Accession Number | BC036077 |
| Gene Symbol | GSPT2 |
| Gene ID (NCBI) | 23708 |
| Conjugate | Unconjugated |
| Form | Liquid |
| Purification Method | Protein A purification |
| UNIPROT ID | Q8IYD1 |
| Storage Buffer | PBS with 0.02% sodium azide and 50% glycerol, pH 7.3. |
| Storage Conditions | Store at -20°C. Stable for one year after shipment. Aliquoting is unnecessary for -20oC storage. 20ul sizes contain 0.1% BSA. |
Background Information
GSPT2, also named as eukaryotic peptide chain release factor GTP-binding subunit ERF3B or G1 to S phase transition protein 2 homolog, is a 628 amino acid protein, which belongs to the GTP-binding elongation factor family ERF3 subfamily. GSPT2 localizes in the cytoplasm and is highly expressed in IUCC stage II colorectal cancer (CRC). GSPT2 is involved in translation termination in response to the termination codons UAA, UAG, and UGA and may play a role as a potent stimulator of the release factor activity of ETF1. It may play a role in cell cycle progression.
Protocols
| Product Specific Protocols | |
|---|---|
| IF protocol for GSPT2 antibody 86508-3-RR | Download protocol |
| WB protocol for GSPT2 antibody 86508-3-RR | Download protocol |
| Standard Protocols | |
|---|---|
| Click here to view our Standard Protocols |





