Tested Applications
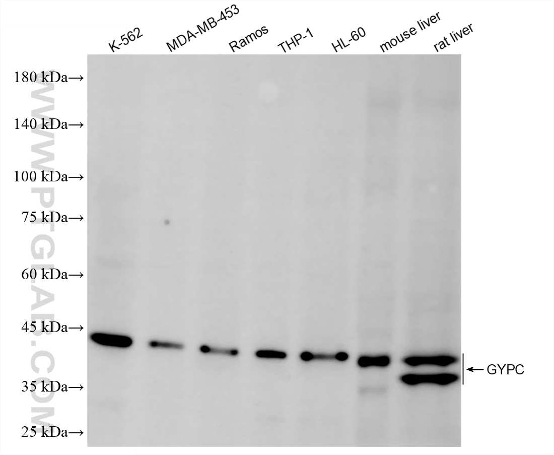
| Positive WB detected in | K-562 cells, MDA-MB-453 cells, Ramos cells, THP-1 cells, HL-60 cells, mouse liver tissue, rat liver tissue |
Recommended dilution
| Application | Dilution |
|---|---|
| Western Blot (WB) | WB : 1:500-1:2000 |
| It is recommended that this reagent should be titrated in each testing system to obtain optimal results. | |
| Sample-dependent, Check data in validation data gallery. | |
Product Information
86574-1-RR targets GYPC in WB, ELISA applications and shows reactivity with human, mouse, rat samples.
| Tested Reactivity | human, mouse, rat |
| Host / Isotype | Rabbit / IgG |
| Class | Recombinant |
| Type | Antibody |
| Immunogen |
CatNo: Eg4905 Product name: Recombinant Human GYPC protein (rFc Tag) Source: mammalian cells-derived, pHZ-KIsec-C-rFc Tag: C-rFc Domain: 1-57 aa of BC104246 Sequence: MWSTRSPNSTAWPLSLEPDPGMASASTTMHTTTIAEPDPGMSGWPDGRMETSTPTIM Predict reactive species |
| Full Name | glycophorin C (Gerbich blood group) |
| Calculated Molecular Weight | 14 kDa |
| Observed Molecular Weight | 35-40 kDa |
| GenBank Accession Number | BC104246 |
| Gene Symbol | GYPC |
| Gene ID (NCBI) | 2995 |
| Conjugate | Unconjugated |
| Form | Liquid |
| Purification Method | Protein A purification |
| UNIPROT ID | P04921 |
| Storage Buffer | PBS with 0.02% sodium azide and 50% glycerol, pH 7.3. |
| Storage Conditions | Store at -20°C. Stable for one year after shipment. Aliquoting is unnecessary for -20oC storage. 20ul sizes contain 0.1% BSA. |
Background Information
Glycophorin-C, encoded by the GYPC gene, is a minor sialoglycoprotein in human erythrocyte membranes. Glycophorin-C interacts with protein 4.1R (EPB41) and plays an important role in regulating the mechanical stability of red cells. Glycophorin C acts as the receptor for the Plasmodium falciparum erythrocyte binding ligand PfEBP-2 (baebl). Glycophorin-D, also encoded by the GYPC gene, is now known as a variant of Glycophorin-C. This antibody is raised against the full-length protein of human Glycophorin-C. The apparent molecular weight of Glycophorin-C is larger than the calculated molecular weight due to glycosylation.
Protocols
| Product Specific Protocols | |
|---|---|
| WB protocol for GYPC antibody 86574-1-RR | Download protocol |
| Standard Protocols | |
|---|---|
| Click here to view our Standard Protocols |

