Tested Applications
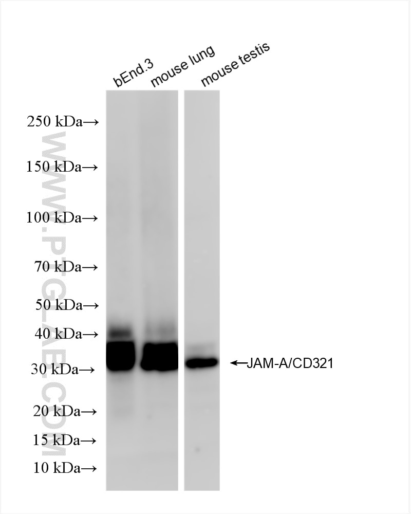
| Positive WB detected in | bEnd.3 cells, rat lung tissue, mouse lung tissue, mouse testis tissue, mouse liver tissue |
| Positive IF/ICC detected in | bEnd.3 cells |
Recommended dilution
| Application | Dilution |
|---|---|
| Western Blot (WB) | WB : 1:1000-1:8000 |
| Immunofluorescence (IF)/ICC | IF/ICC : 1:400-1:1600 |
| It is recommended that this reagent should be titrated in each testing system to obtain optimal results. | |
| Sample-dependent, Check data in validation data gallery. | |
Product Information
86229-1-RR targets JAM-A/CD321 in WB, IF/ICC, ELISA applications and shows reactivity with mouse, rat samples.
| Tested Reactivity | mouse, rat |
| Host / Isotype | Rabbit / IgG |
| Class | Recombinant |
| Type | Antibody |
| Immunogen |
CatNo: Eg3117 Product name: Recombinant Mouse JAM-A/Junctional Adhesion Molecule A protein (rFc Tag) (HPLC verified) Source: mammalian cells-derived, V37 Tag: C-rFc Domain: 27-238 aa of NM_172647.2 Sequence: KGSVYTAQSDVQVPENESIKLTCTYSGFSSPRVEWKFVQGSTTALVCYNSQITAPYADRVTFSSSGITFSSVTRKDNGEYTCMVSEEGGQNYGEVSIHLTVLVPPSKPTISVPSSVTIGNRAVLTCSEHDGSPPSEYSWFKDGISMLTADAKKTRAFMNSSFTIDPKSGDLIFDPVTAFDSGEYYCQAQNGYGTAMRSEAAHMDAVELNVGG Predict reactive species |
| Full Name | F11 receptor |
| Calculated Molecular Weight | 32 kDa |
| Observed Molecular Weight | 33 kDa |
| GenBank Accession Number | NM_172647.2 |
| Gene Symbol | F11r |
| Gene ID (NCBI) | 16456 |
| Conjugate | Unconjugated |
| Form | Liquid |
| Purification Method | Protein A purification |
| UNIPROT ID | O88792 |
| Storage Buffer | PBS with 0.02% sodium azide and 50% glycerol, pH 7.3. |
| Storage Conditions | Store at -20°C. Stable for one year after shipment. Aliquoting is unnecessary for -20oC storage. 20ul sizes contain 0.1% BSA. |
Background Information
Junctional Adhesion Molecule-A (JAM-A), also known as CD321 or F11R, is a transmembrane glycoprotein belonging to the immunoglobulin superfamily. It is primarily located in the tight junctions of epithelial and endothelial cells and is also expressed on circulating platelets and leukocytes (PMID: 34533648). Targeting F11R/JAM-A with monoclonal antibodies or peptide antagonists has shown promise in inhibiting tumor growth and metastasis in mouse models (PMID: 37563645).
Protocols
| Product Specific Protocols | |
|---|---|
| IF protocol for JAM-A/CD321 antibody 86229-1-RR | Download protocol |
| WB protocol for JAM-A/CD321 antibody 86229-1-RR | Download protocol |
| Standard Protocols | |
|---|---|
| Click here to view our Standard Protocols |





