MBD2 Recombinant monoclonal antibody

MBD2 Uni-rAb® Recombinant Antibody for WB, ELISA
Cat No. 86393-3-RR
Clone No.250339G9

Host / Isotype

Rabbit / IgG

Reactivity

human, mouse

Applications

WB, ELISA

Demethylase, DMTase, Methyl-CpG-binding domain protein 2, Methyl-CpG-binding protein MBD2, NY CO 41

Formulation:  PBS, Azide, Glycerol
PBS, Azide, Glycerol
PBS Only
Conjugate:  Unconjugated
Unconjugated
Size/Concentration: 

-/ -

Freight/Packing: -

Quantity

Please visit your regions distributor:


Tested Applications

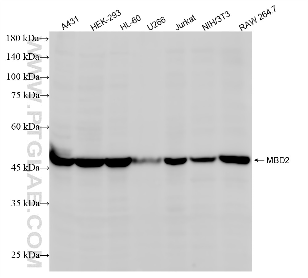
Positive WB detected inA431 cells, HEK-293 cells, HL-60 cells, U266 cells, Jurkat cells, NIH/3T3 cells, RAW 264.7 cells

Recommended dilution

ApplicationDilution
Western Blot (WB)WB : 1:1000-1:4000
It is recommended that this reagent should be titrated in each testing system to obtain optimal results.
Sample-dependent, Check data in validation data gallery.

Product Information

86393-3-RR targets MBD2 in WB, ELISA applications and shows reactivity with human, mouse samples.

Tested Reactivity human, mouse
Host / Isotype Rabbit / IgG
Class Recombinant
Type Antibody
Immunogen

Peptide

Predict reactive species
Full Name methyl-CpG binding domain protein 2
Calculated Molecular Weight 43 kDa
Observed Molecular Weight 43-50 kDa
GenBank Accession NumberNM_003927
Gene Symbol MBD2
Gene ID (NCBI) 8932
Conjugate Unconjugated
FormLiquid
Purification MethodProtein A purification
UNIPROT IDQ9UBB5
Storage Buffer PBS with 0.02% sodium azide and 50% glycerol, pH 7.3.
Storage ConditionsStore at -20°C. Stable for one year after shipment. Aliquoting is unnecessary for -20oC storage. 20ul sizes contain 0.1% BSA.

Background Information

MBD2, also named as DMTase, binds CpG islands in promoters where the DNA is methylated at position 5 of cytosine within CpG dinucleotides. MBD2 binds hemi-methylated DNA as well. It recruits histone deacetylases and DNA methyltransferases. MBD2 acts as transcriptional repressor and plays a role in gene silencing (PMID:9774669). MBD2 belongs to a highly conserved member of the MBD protein family, is considered a reader of DNA methylation and drives the crosstalk between DNA methylation and histone deacetylation (PMID: 40089655). MBD2 drives breast cancer progression through the modulation of epithelial-to-mesenchymal transition (PMID: 38556549).

Protocols

Product Specific Protocols
WB protocol for MBD2 antibody 86393-3-RRDownload protocol
Standard Protocols
Click here to view our Standard Protocols
Loading...
||
New chat Able
正在加载,请稍候...