NAC1 Recombinant monoclonal antibody

NAC1 Uni-rAb® Recombinant Antibody for WB, IHC, IF/ICC, FC (Intra), ELISA
Cat No. 85380-2-RR
Clone No.242788E11

Host / Isotype

Rabbit / IgG

Reactivity

human

Applications

WB, IHC, IF/ICC, FC (Intra), ELISA

NACC1, 242788E11, BEND8, BTB/POZ domain-containing protein 14B, BTBD14B

Formulation:  PBS, Azide, Glycerol
PBS, Azide, Glycerol
PBS Only
Conjugate:  Unconjugated
Unconjugated
CoraLite® Plus 488
Size/Concentration: 

-/ -

Freight/Packing: -

Quantity

Please visit your regions distributor:


Tested Applications

Positive WB detected inLNCaP cells, SH-SY5Y cells, HeLa cells, K-562 cells, MCF-7 cells
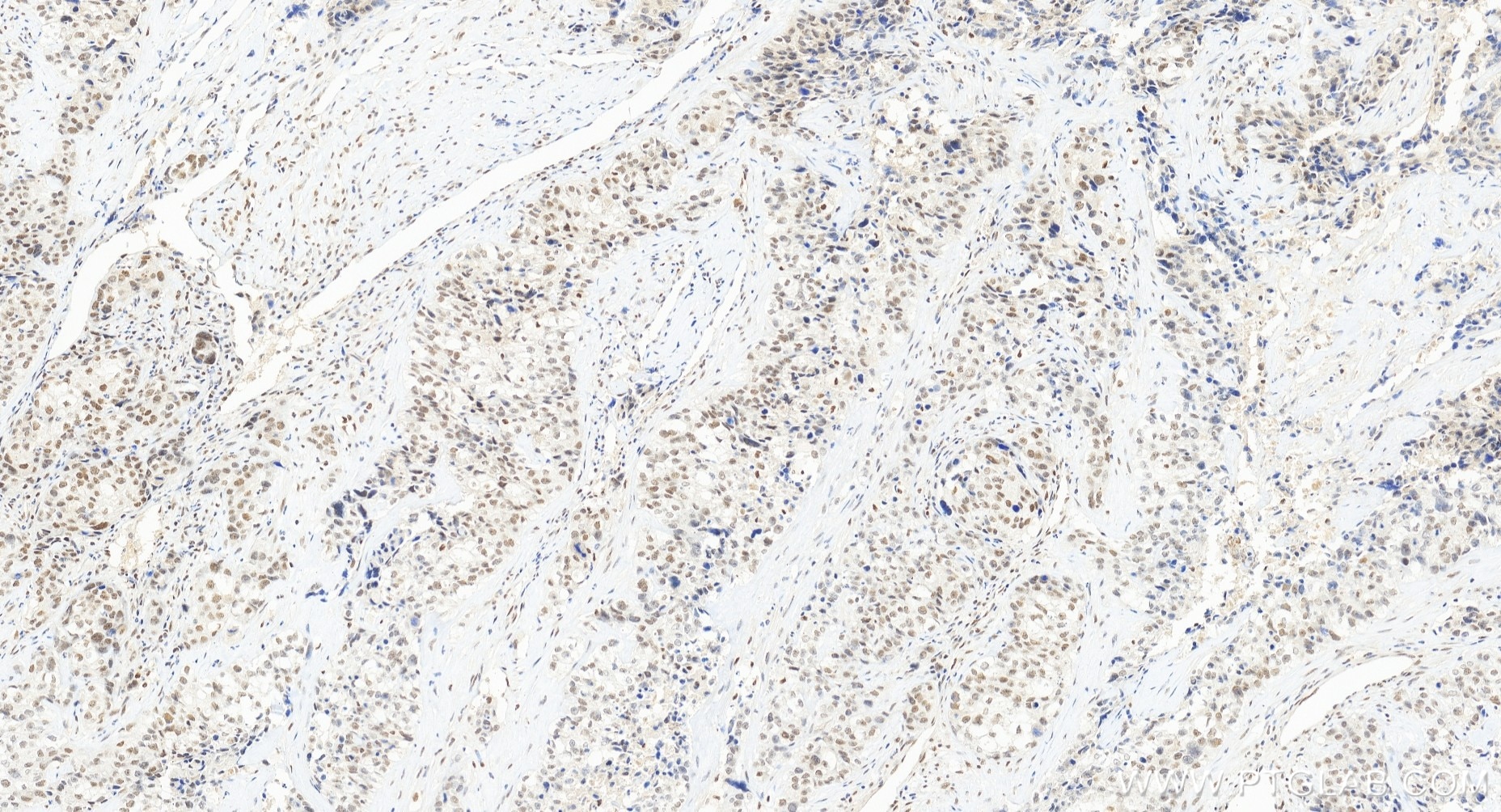
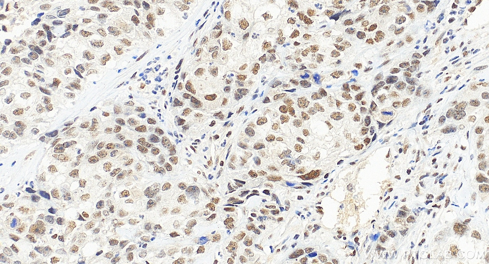
Positive IHC detected inhuman ovary cancer tissue
Note: suggested antigen retrieval with TE buffer pH 9.0; (*) Alternatively, antigen retrieval may be performed with citrate buffer pH 6.0
Positive IF/ICC detected inMCF-7 cells, SH-SY5Y cells
Positive FC (Intra) detected inHeLa cells

Recommended dilution

ApplicationDilution
Western Blot (WB)WB : 1:5000-1:50000
Immunohistochemistry (IHC)IHC : 1:50-1:500
Immunofluorescence (IF)/ICCIF/ICC : 1:250-1:1000
Flow Cytometry (FC) (INTRA)FC (INTRA) : 0.25 ug per 10^6 cells in a 100 µl suspension
It is recommended that this reagent should be titrated in each testing system to obtain optimal results.
Sample-dependent, Check data in validation data gallery.

Product Information

85380-2-RR targets NAC1 in WB, IHC, IF/ICC, FC (Intra), ELISA applications and shows reactivity with human samples.

Tested Reactivity human
Host / Isotype Rabbit / IgG
Class Recombinant
Type Antibody
Immunogen

CatNo: Ag6096

Product name: Recombinant human NACC1 protein

Source: e coli.-derived, PGEX-4T

Tag: GST

Domain: 173-527 aa of BC055396

Sequence: SDSVQCMPVAKRLWDSGQKEAGGGGNGSRKMAKFSTPDLAANRPHQPPPPQQAPVVAAAQPAVAAGAGQPAGGVAAAGGVVSGPSTSERTSPGTSSAYTSDSPGSYHNEEDEEEDGGEEGMDEQYRQICNMYTMYSMMNVGQTAEKVEALPEQVAPESRNRIRVRQDLASLPAELINQIGNRCHPKLYDEGDPSEKLELVTGTNVYITRAQLMNCHVSAGTRHKVLLRRLLASFFDRNTLANSCGTGIRSSTNDPRRKPLDSRVLHAVKYYCQNFAPNFKESEMNAIAADMCTNARRVVRKSWMPKVKVLKAEDDAYTTFISETGKIEPDMMGVEHGFETASHEGEAGPSAEALQ

Predict reactive species
Full Name nucleus accumbens associated 1, BEN and BTB (POZ) domain containing
Calculated Molecular Weight 57 kDa
Observed Molecular Weight60-65 kDa
GenBank Accession NumberBC055396
Gene Symbol NACC1
Gene ID (NCBI) 112939
Conjugate Unconjugated
FormLiquid
Purification MethodProtein A purification
UNIPROT IDQ96RE7
Storage Buffer PBS with 0.02% sodium azide and 50% glycerol, pH 7.3.
Storage ConditionsStore at -20°C. Stable for one year after shipment. Aliquoting is unnecessary for -20oC storage. 20ul sizes contain 0.1% BSA.

Background Information

NAC1, also named as BTBD14B and NACC1, belongs to the BTB/POZ family. NACC1 is a transcriptional repressor, which is amplified and overexpressed in various human cancers and plays critical roles in tumor development, progression, and drug resistance (PMID: 31101655). While NAC1 has been shown to repress the transcription of two tumor suppressors, Gadd45-g and Gadd45-g- interacting protein 1, scientists have found that NACC1 also plays an important role in nontranscriptional function, for example, it can act as a bridge for MAVS and TBK1 in RLR-mediated signaling (PMID: 31235549). The observed molecular weight is consistent with what has been described in the literature (PMID: 37533751).

Protocols

Product Specific Protocols
FC protocol for NAC1 antibody 85380-2-RRDownload protocol
IF protocol for NAC1 antibody 85380-2-RRDownload protocol
IHC protocol for NAC1 antibody 85380-2-RRDownload protocol
WB protocol for NAC1 antibody 85380-2-RRDownload protocol
Standard Protocols
Click here to view our Standard Protocols
Loading...
||
New chat Able
正在加载,请稍候...