Tested Applications
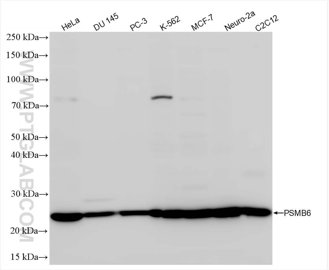
| Positive WB detected in | HeLa cells, DU 145 cells, PC-3 cells, K-562 cells, MCF-7 cells, Neuro-2a cells, C2C12 cells |
| Positive IF/ICC detected in | HeLa cells |
Recommended dilution
| Application | Dilution |
|---|---|
| Western Blot (WB) | WB : 1:5000-1:50000 |
| Immunofluorescence (IF)/ICC | IF/ICC : 1:250-1:1000 |
| It is recommended that this reagent should be titrated in each testing system to obtain optimal results. | |
| Sample-dependent, Check data in validation data gallery. | |
Product Information
86491-1-RR targets PSMB6 in WB, IF/ICC, ELISA applications and shows reactivity with human, mouse samples.
| Tested Reactivity | human, mouse |
| Host / Isotype | Rabbit / IgG |
| Class | Recombinant |
| Type | Antibody |
| Immunogen |
CatNo: Ag2296 Product name: Recombinant human PSMB6 protein Source: e coli.-derived, PGEX-4T Tag: GST Domain: 1-239 aa of BC000835 Sequence: MAATLLAARGAGPAPAWGPEAFTPDWESREVSTGTTIMAVQFDGGVVLGADSRTTTGSYIANRVTDKLTPIHDRIFCCRSGSAADTQAVADAVTYQLGFHSIELNEPPLVHTAASLFKEMCYRYREDLMAGIIIAGWDPQEGGQVYSVPMGGMMVRQSFAIGGSGSSYIYGYVDATYREGMTKEECLQFTANALALAMERDGSSGGVIRLAAIAESGVERQVLLGDQIPKFAVATLPPA Predict reactive species |
| Full Name | proteasome (prosome, macropain) subunit, beta type, 6 |
| Calculated Molecular Weight | 239 aa, 25 kDa |
| Observed Molecular Weight | 25 kDa |
| GenBank Accession Number | BC000835 |
| Gene Symbol | PSMB6 |
| Gene ID (NCBI) | 5694 |
| Conjugate | Unconjugated |
| Form | Liquid |
| Purification Method | Protein A purification |
| UNIPROT ID | P28072 |
| Storage Buffer | PBS with 0.02% sodium azide and 50% glycerol, pH 7.3. |
| Storage Conditions | Store at -20°C. Stable for one year after shipment. Aliquoting is unnecessary for -20oC storage. 20ul sizes contain 0.1% BSA. |
Background Information
PSMB6(Proteasome subunit beta type-6) is also named as LMPY, Y and belongs to the peptidase T1B family.The proteasome is a multicatalytic proteinase complex which is characterized by its ability to cleave peptides with Arg, Phe, Tyr, Leu, and Glu adjacent to the leaving group at neutral or slightly basic pH.It may also catalyzes basal processing of intracellular antigens.It can be up-regulated in anaplastic thyroid cancer cell lines and down-regulated by IFNG/IFN-gamma (at protein level)(PMID:8066462;15613457).
Protocols
| Product Specific Protocols | |
|---|---|
| IF protocol for PSMB6 antibody 86491-1-RR | Download protocol |
| WB protocol for PSMB6 antibody 86491-1-RR | Download protocol |
| Standard Protocols | |
|---|---|
| Click here to view our Standard Protocols |





