Tested Applications
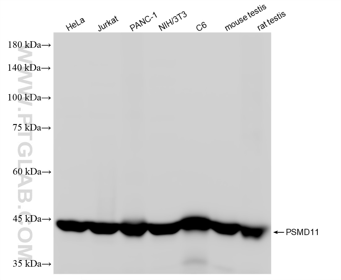
| Positive WB detected in | HeLa cells, Jurkat cells, PANC-1 cells, NIH/3T3 cells, C6 cells, mouse testis tissue, rat testis tissue |
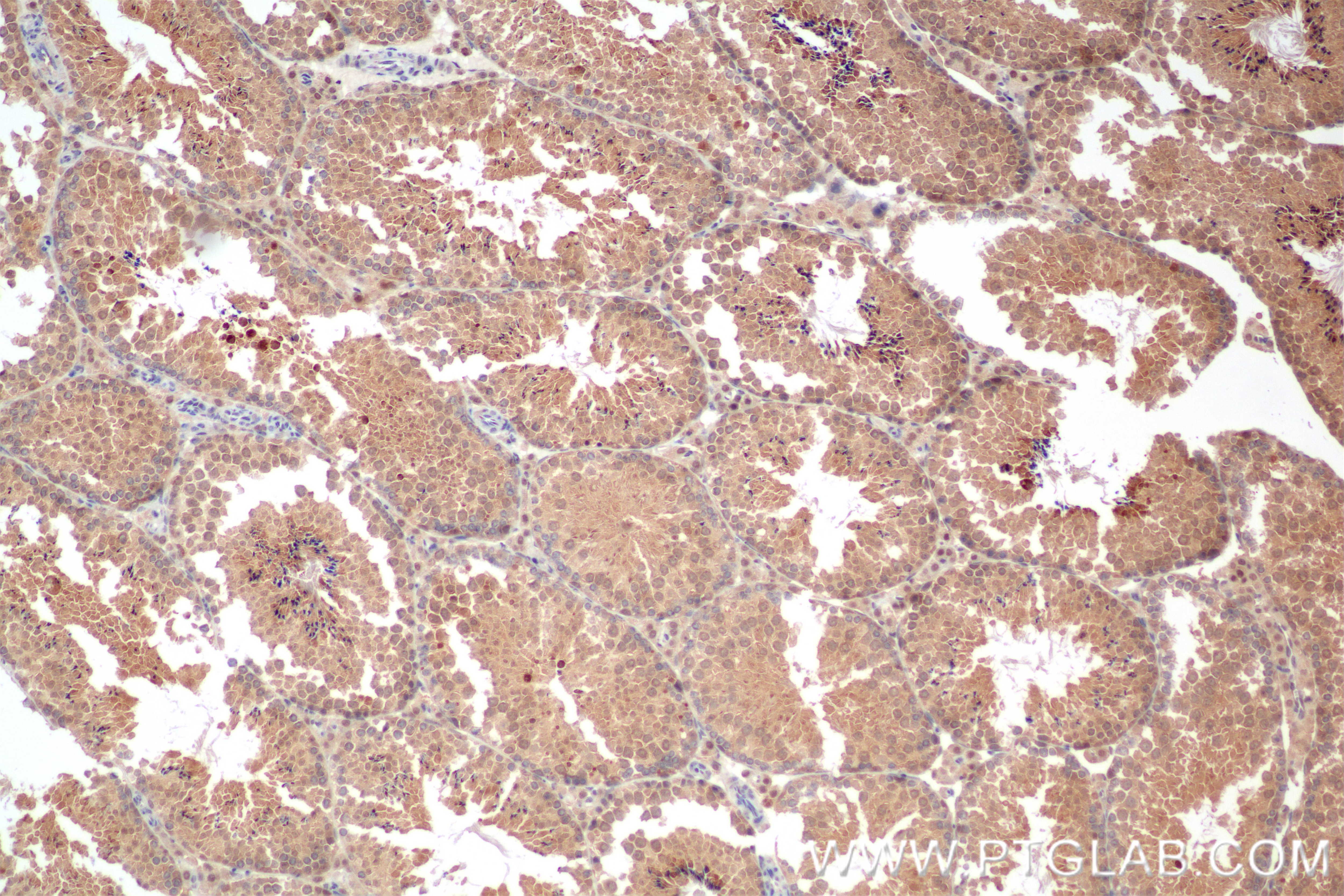
| Positive IHC detected in | mouse testis tissue Note: suggested antigen retrieval with TE buffer pH 9.0; (*) Alternatively, antigen retrieval may be performed with citrate buffer pH 6.0 |
| Positive IF/ICC detected in | HeLa cells |
Recommended dilution
| Application | Dilution |
|---|---|
| Western Blot (WB) | WB : 1:5000-1:50000 |
| Immunohistochemistry (IHC) | IHC : 1:500-1:2000 |
| Immunofluorescence (IF)/ICC | IF/ICC : 1:50-1:500 |
| It is recommended that this reagent should be titrated in each testing system to obtain optimal results. | |
| Sample-dependent, Check data in validation data gallery. | |
Product Information
86596-3-RR targets PSMD11 in WB, IHC, IF/ICC, ELISA applications and shows reactivity with human, mouse, rat samples.
| Tested Reactivity | human, mouse, rat |
| Host / Isotype | Rabbit / IgG |
| Class | Recombinant |
| Type | Antibody |
| Immunogen |
CatNo: Ag6435 Product name: Recombinant human PSMD11 protein Source: e coli.-derived, PGEX-4T Tag: GST Domain: 76-422 aa of BC000437 Sequence: FLNSISKAKAARLVRSLLDLFLDMEAATGQEVELCLECIEWAKSEKRTFLRQALEARLVSLYFDTKRYQEALHLGSQLLRELKKMDDKALLVEVQLLESKTYHALSNLPKARAALTSARTTANAIYCPPKLQATLDMQSGIIHAAEEKDWKTAYSYFYEAFEGYDSIDSPKAITSLKYMLLCKIMLNTPEDVQALVSGKLALRYAGRQTEALKCVAQASKNRSLADFEKALTDYRAELRDDPIISTHLAKLYDNLLEQNLIRVIEPFSRVQIEHISSLIKLSKADVERKLSQMILDKKFHGILDQGEGVLIIFDEPPVDKTYEAALETIQNMSKVVDSLYNKAKKLT Predict reactive species |
| Full Name | proteasome (prosome, macropain) 26S subunit, non-ATPase, 11 |
| Calculated Molecular Weight | 47 kDa |
| Observed Molecular Weight | 47 kDa |
| GenBank Accession Number | BC000437 |
| Gene Symbol | PSMD11 |
| Gene ID (NCBI) | 5717 |
| Conjugate | Unconjugated |
| Form | Liquid |
| Purification Method | Protein A purification |
| UNIPROT ID | O00231 |
| Storage Buffer | PBS with 0.02% sodium azide and 50% glycerol, pH 7.3. |
| Storage Conditions | Store at -20°C. Stable for one year after shipment. Aliquoting is unnecessary for -20oC storage. 20ul sizes contain 0.1% BSA. |
Background Information
The 26 S proteasome is a 2.5-MDa molecular machine that degrades ubiquitinated proteins in eukaryotic cells. It consists of a proteolytic core particle and two 19 S regulatory particles (RPs) composed of 6 ATPase (RPT) and 13 non-ATPase (RPN) subunits. PSMD11 gene encodes 19S proteasome subunit RPN6. Increased levels of PSMD11 and a corresponding increased assembly of the 26S/30S proteasome is correlated with high proteasome activity. In vitro ectopic expression of PSMD11 is sufficient to increase proteasome assembly and activity. Latest research has implicated PSMD11 in regulation of human embryonic stem cells function.
Protocols
| Product Specific Protocols | |
|---|---|
| IF protocol for PSMD11 antibody 86596-3-RR | Download protocol |
| IHC protocol for PSMD11 antibody 86596-3-RR | Download protocol |
| WB protocol for PSMD11 antibody 86596-3-RR | Download protocol |
| Standard Protocols | |
|---|---|
| Click here to view our Standard Protocols |





