Tested Applications
| Positive WB detected in | HaCaT cells, A431 cells, HT-29 cells, mouse skin tissue, rat skin tissue, rat colon tissue |
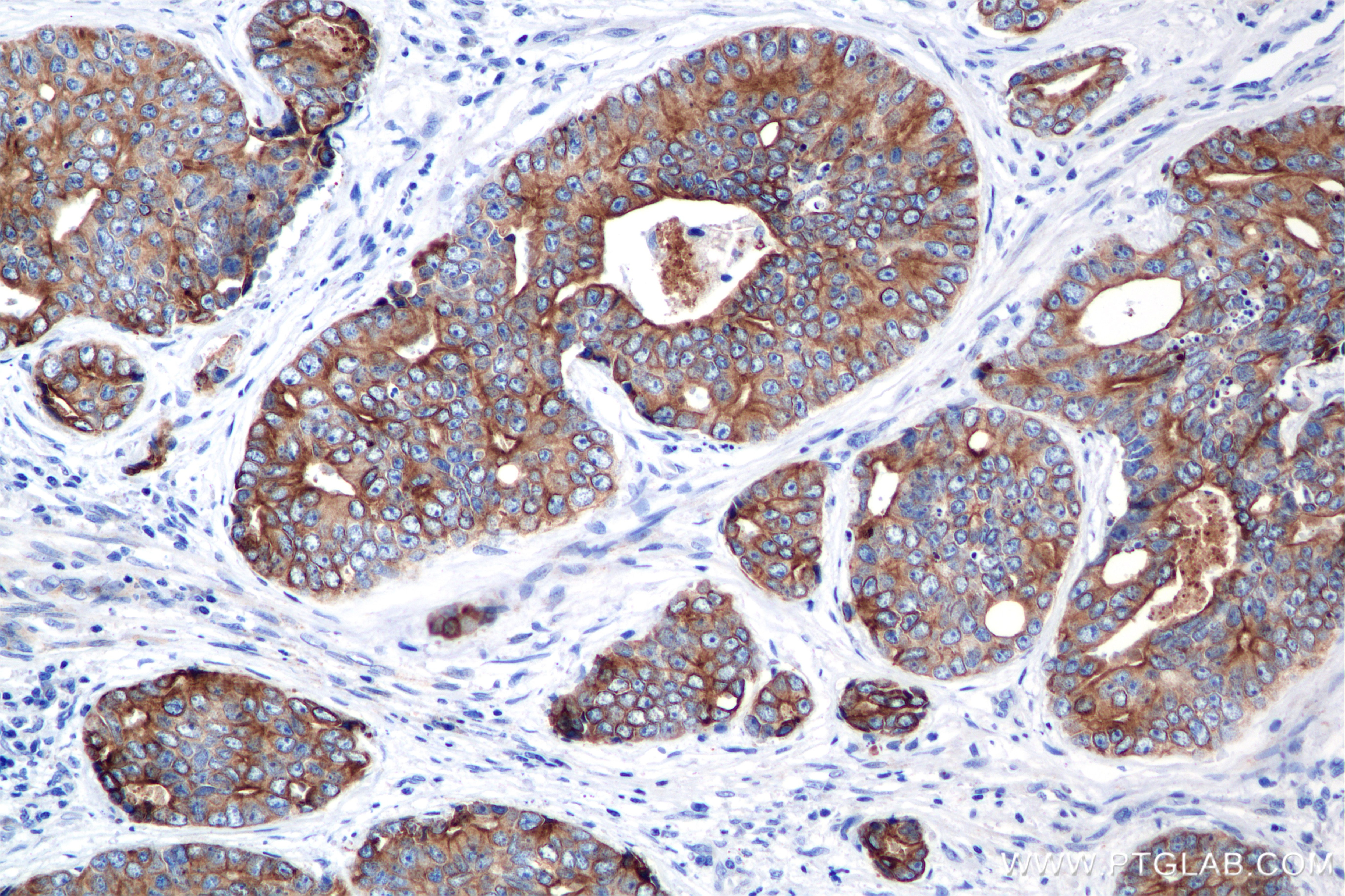
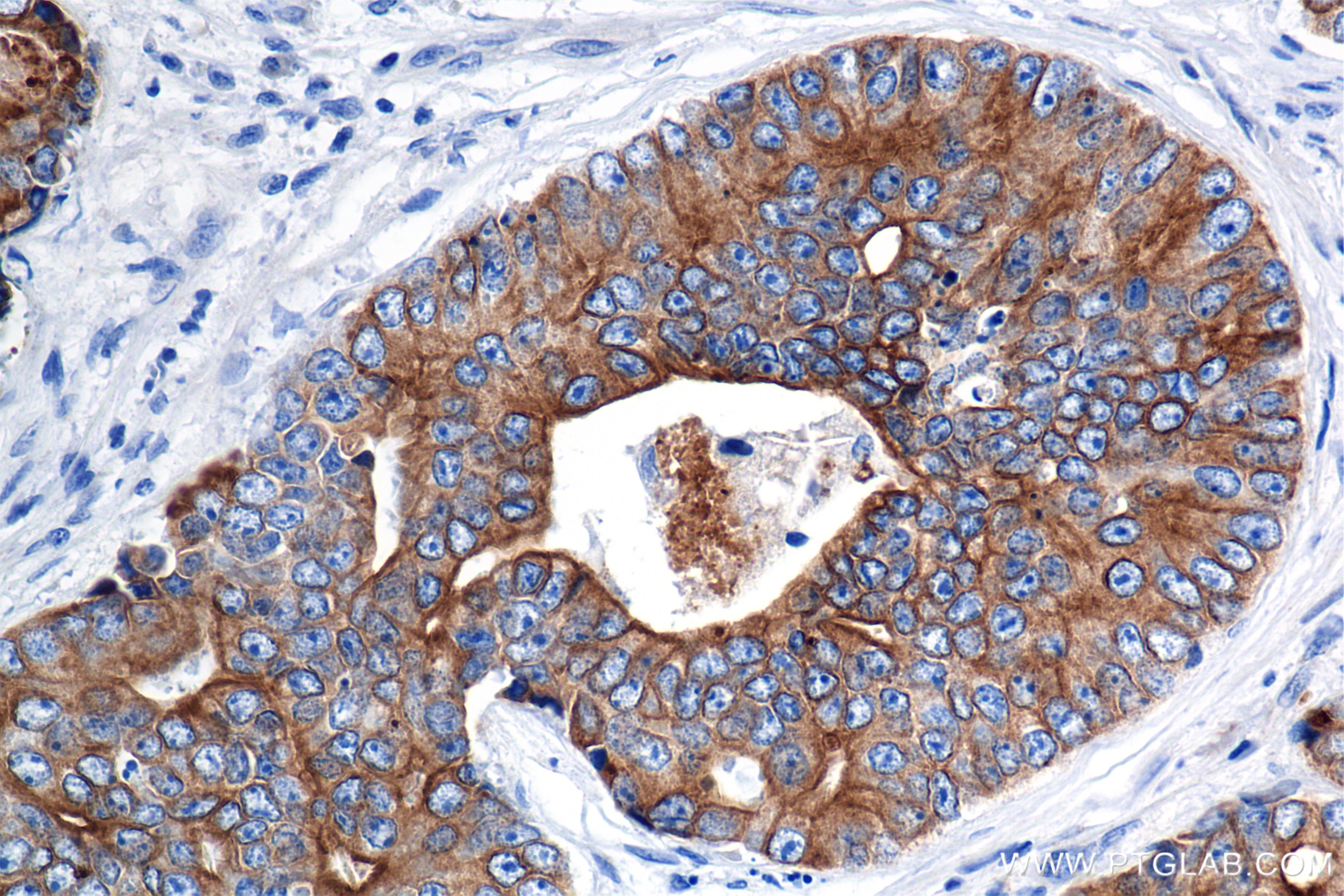
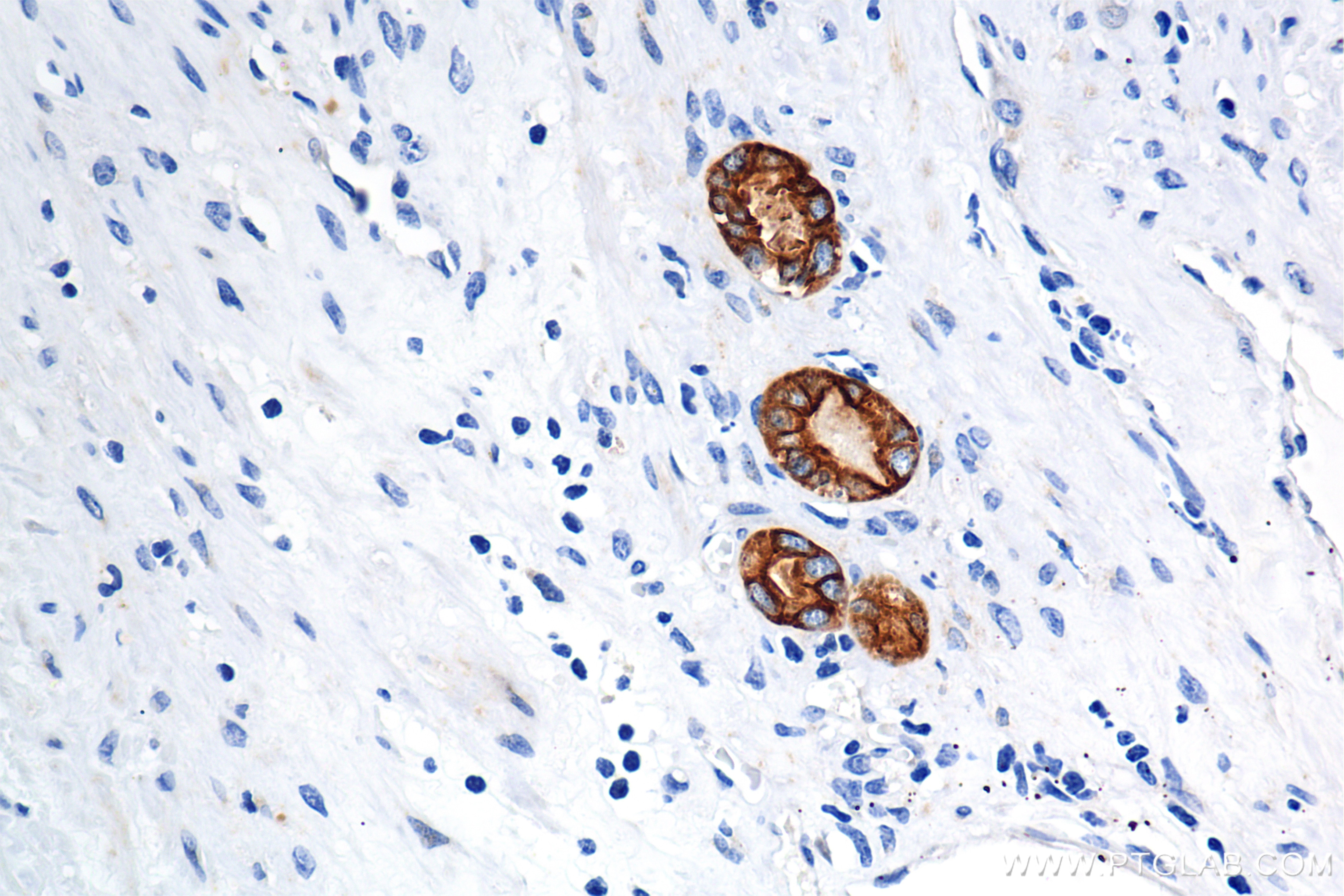
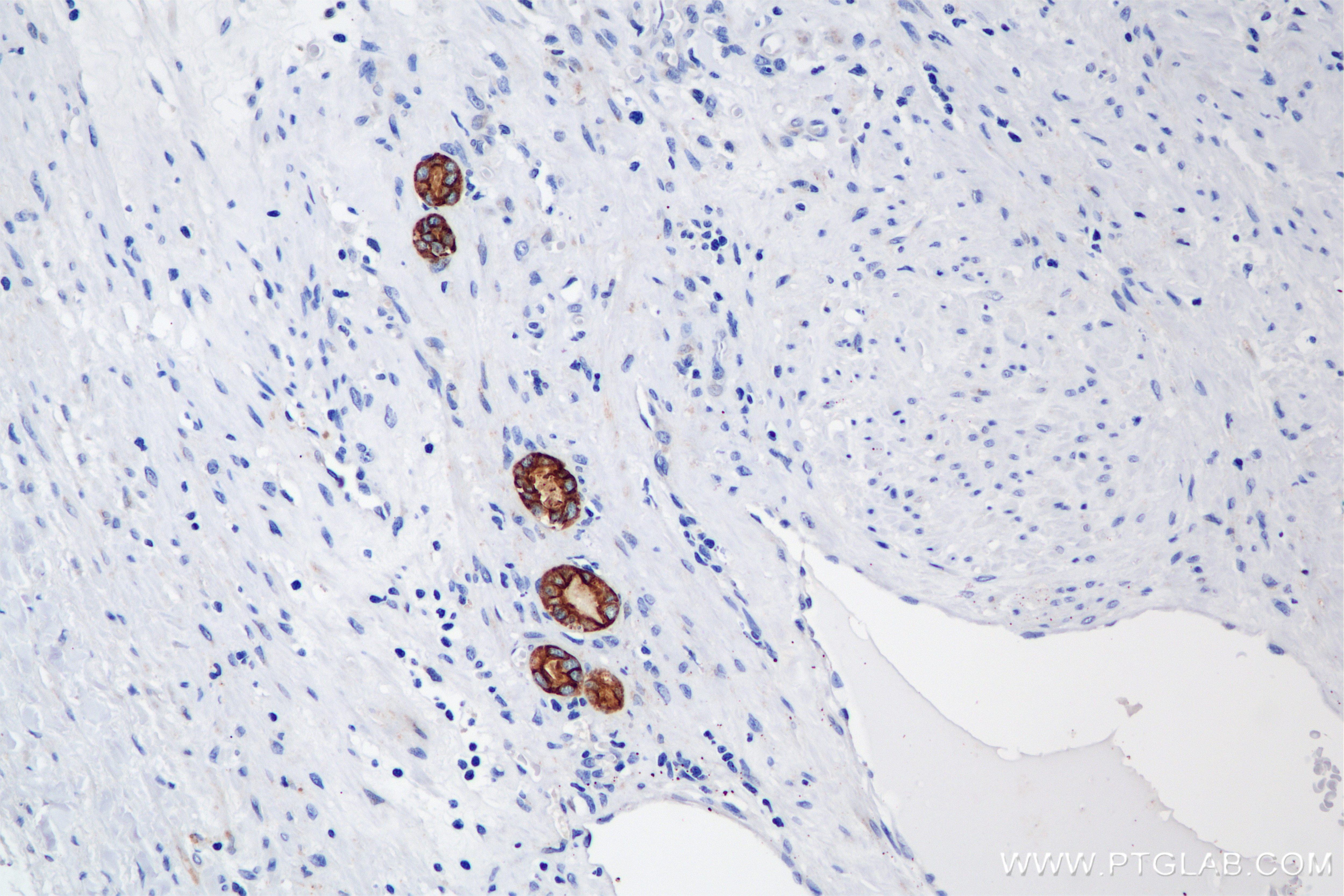
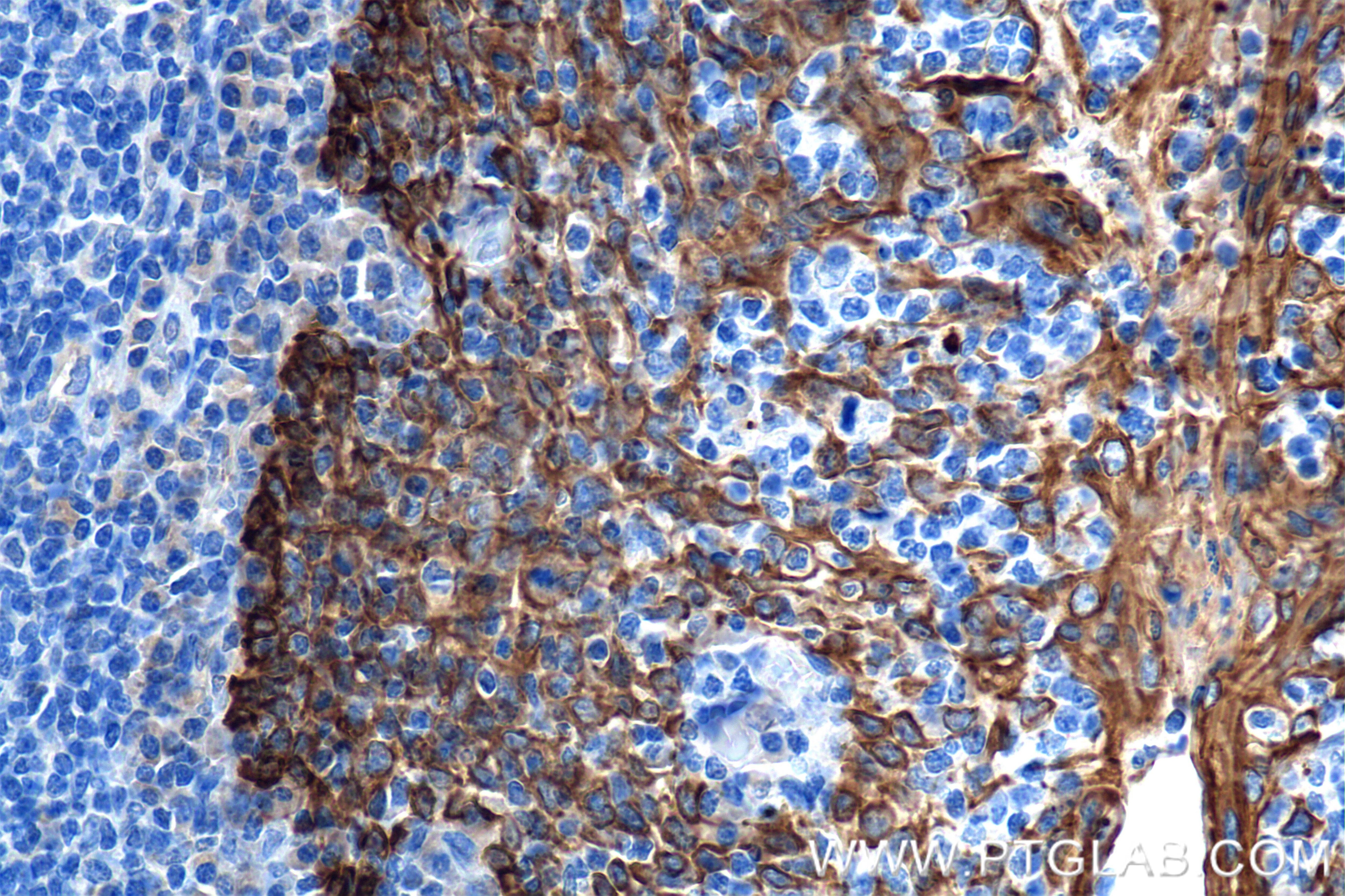
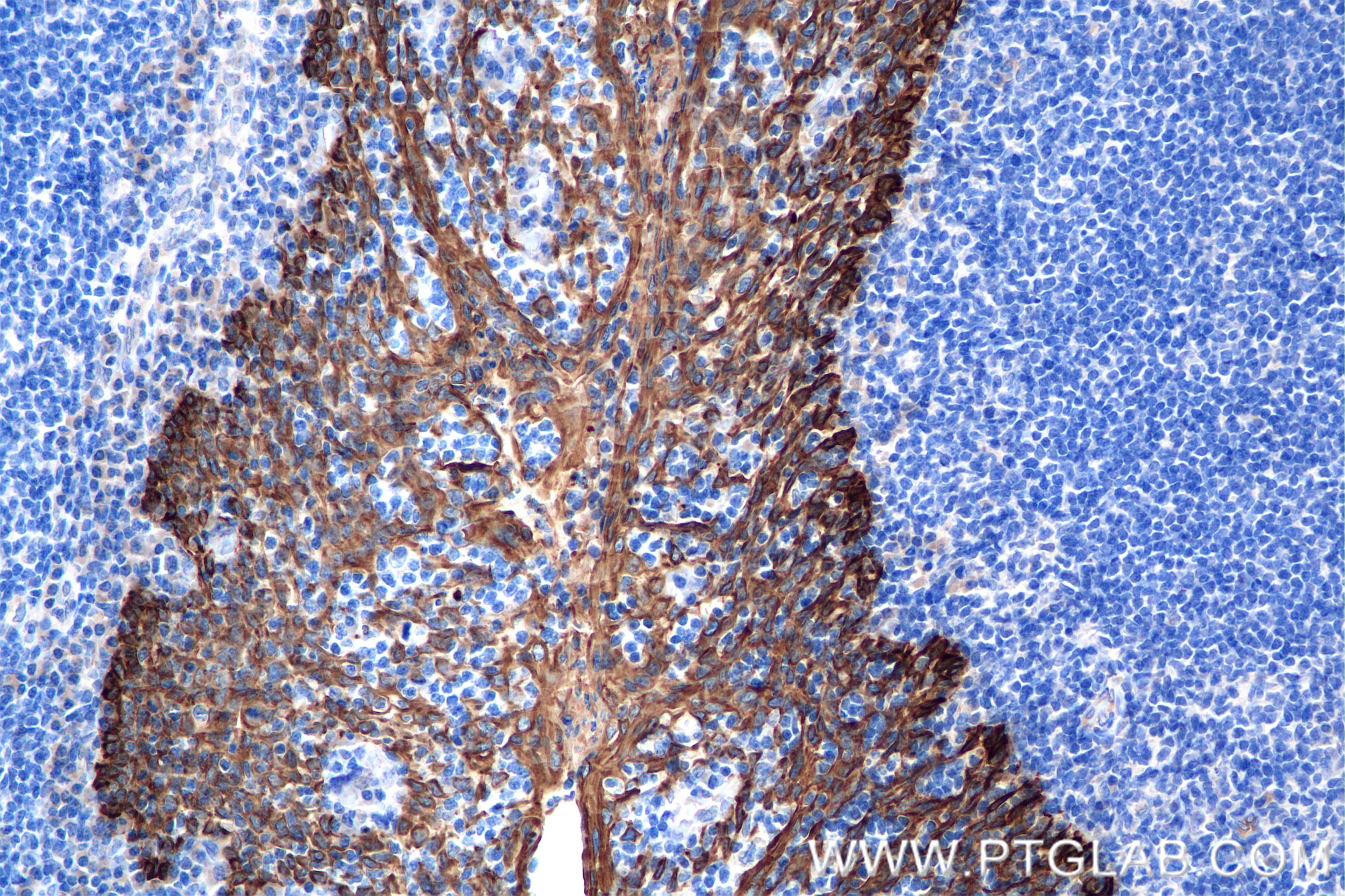
| Positive IHC detected in | human prostate cancer tissue, Human Kidney(renal cell) Cancer, human tonsil tissue Note: suggested antigen retrieval with TE buffer pH 9.0; (*) Alternatively, antigen retrieval may be performed with citrate buffer pH 6.0 |
| Positive IF-P detected in | human cervical cancer tissue, human colon cancer tissue, human lung cancer tissue, mouse skin tissue |
Recommended dilution
| Application | Dilution |
|---|---|
| Western Blot (WB) | WB : 1:5000-1:50000 |
| Immunohistochemistry (IHC) | IHC : 1:500-1:2000 |
| Immunofluorescence (IF)-P | IF-P : 1:250-1:1000 |
| It is recommended that this reagent should be titrated in each testing system to obtain optimal results. | |
| Sample-dependent, Check data in validation data gallery. | |
Product Information
86238-2-RR targets Pan-Keratin (Type I) in WB, IHC, IF-P, ELISA applications and shows reactivity with human, mouse, rat samples.
| Tested Reactivity | human, mouse, rat |
| Host / Isotype | Rabbit / IgG |
| Class | Recombinant |
| Type | Antibody |
| Immunogen |
Peptide Predict reactive species |
| Full Name | Pan-Keratin (Type I) |
| Observed Molecular Weight | 45-65 kDa |
| Gene Symbol | |
| Gene ID (NCBI) | Pan-Keratin (Type I) |
| Conjugate | Unconjugated |
| Form | Liquid |
| Purification Method | Protein A purification |
| UNIPROT ID | Q15323 |
| Storage Buffer | PBS with 0.02% sodium azide and 50% glycerol, pH 7.3. |
| Storage Conditions | Store at -20°C. Stable for one year after shipment. Aliquoting is unnecessary for -20oC storage. 20ul sizes contain 0.1% BSA. |
Background Information
Keratin is a family of fibrous structural proteins that are key components in hair, nails, feathers, hooves, and the outer layer of skin (epidermis). There are two main types of keratin: Type I (acidic) and Type II (basic/neutral), which form heterodimers to create intermediate filaments, providing mechanical strength to cells. Type I keratins (or Type I cytokeratins) are acidic, low molecular weight (40-64 kDa) proteins that form Type I intermediate filaments (IFs) in the cytoplasmic cytoskeleton of all mammalian epithelial cells. They are encoded on chromosome 17q and include keratins K9-K10, K12-K28, and K31-K40.
Protocols
| Product Specific Protocols | |
|---|---|
| IF protocol for Pan-Keratin (Type I) antibody 86238-2-RR | Download protocol |
| IHC protocol for Pan-Keratin (Type I) antibody 86238-2-RR | Download protocol |
| WB protocol for Pan-Keratin (Type I) antibody 86238-2-RR | Download protocol |
| Standard Protocols | |
|---|---|
| Click here to view our Standard Protocols |

























