Tested Applications
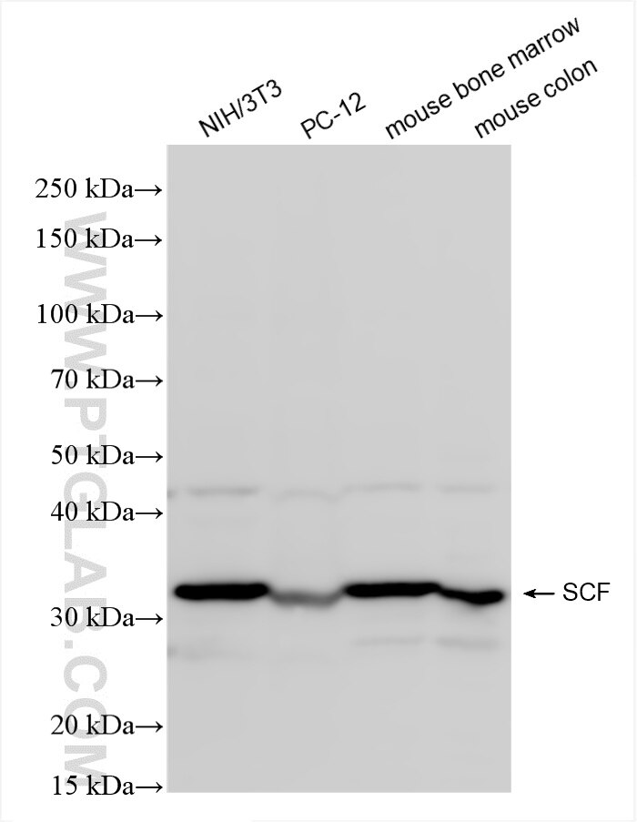
| Positive WB detected in | NIH/3T3 cells, Recombinant protein, PC-12 cells, mouse bone marrow tissue, mouse colon tissue |
Recommended dilution
| Application | Dilution |
|---|---|
| Western Blot (WB) | WB : 1:500-1:2000 |
| It is recommended that this reagent should be titrated in each testing system to obtain optimal results. | |
| Sample-dependent, Check data in validation data gallery. | |
Product Information
86214-1-RR targets SCF in WB, ELISA applications and shows reactivity with mouse, rat samples.
| Tested Reactivity | mouse, rat |
| Host / Isotype | Rabbit / IgG |
| Class | Recombinant |
| Type | Antibody |
| Immunogen |
CatNo: Eg0402 Product name: Recombinant Mouse SCF protein (His Tag) Source: mammalian cells-derived, pHZ-KIsec-C-6*HIS Tag: C-6*HIS Domain: 26-189 aa of NM_013598 Sequence: KEICGNPVTDNVKDITKLVANLPNDYMITLNYVAGMDVLPSHCWLRDMVIQLSLSLTTLLDKFSNISEGLSNYSIIDKLGKIVDDLVLCMEENAPKNIKESPKRPETRSFTPEEFFSIFNRSIDAFKDFMVASDTSDCVLSSTLGPEKDSRVSVTKPFMLPPVA Predict reactive species |
| Full Name | kit ligand |
| Calculated Molecular Weight | 31KD |
| Observed Molecular Weight | 31 kDa |
| GenBank Accession Number | NM_013598 |
| Gene Symbol | Kitl |
| Gene ID (NCBI) | 17311 |
| Conjugate | Unconjugated |
| Form | Liquid |
| Purification Method | Protein A purification |
| UNIPROT ID | P20826-1 |
| Storage Buffer | PBS with 0.02% sodium azide and 50% glycerol, pH 7.3. |
| Storage Conditions | Store at -20°C. Stable for one year after shipment. Aliquoting is unnecessary for -20oC storage. 20ul sizes contain 0.1% BSA. |
Background Information
Stem cell factor (SCF) is also named as mast cell growth factor (MGF), Kit ligand (Kitl), c-Kit ligand, steel factor and Kitlg. SCF is a pleiotropic cytokine (also as a dimeric molecule) that mediates regulatory effects on inflammation, tissue remodeling, and fibrosis through binding to and activating its receptor tyrosine kinase c-Kit (PMID: 1698553, PMID: 8630386, PMID: 23073628). SCF is the ligand of c-Kit, a member of the RTKs family. Molecular activity of RTKs is a primary stimulus of cell motility, and expression of the SCF/c-Kit axis is associated with cell migration (PMID: 28629522). SCF is a cytokine that synergizes the effects of Epo during erythropoiesis. Stem cell factor plays a well-described role in regulating the survival, proliferation, migration, and differentiation of hematopoietic progenitors, melanocytes, and germ cells (PMID: 36688460). More recent studies have demonstrated SCF expression in dermal and intestinal epithelial cells, and increased SCF expression has been reported in the inflamed mucosa of individuals with IBD and colonitis (PMID: 18200049, PMID: 30157426).
Protocols
| Product Specific Protocols | |
|---|---|
| WB protocol for SCF antibody 86214-1-RR | Download protocol |
| Standard Protocols | |
|---|---|
| Click here to view our Standard Protocols |



