Tested Applications
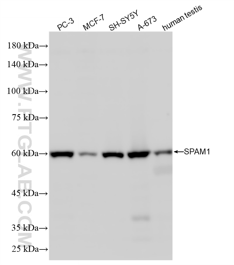
| Positive WB detected in | PC-3 cells, MCF-7 cells, SH-SY5Y cells, A-673 cells, human testis tissue |
Recommended dilution
| Application | Dilution |
|---|---|
| Western Blot (WB) | WB : 1:2000-1:10000 |
| It is recommended that this reagent should be titrated in each testing system to obtain optimal results. | |
| Sample-dependent, Check data in validation data gallery. | |
Product Information
86527-1-RR targets SPAM1 in WB, ELISA applications and shows reactivity with human samples.
| Tested Reactivity | human |
| Host / Isotype | Rabbit / IgG |
| Class | Recombinant |
| Type | Antibody |
| Immunogen |
CatNo: Ag1682 Product name: Recombinant human SPAM1 protein Source: e coli.-derived, PGEX-4T Tag: GST Domain: 212-511 aa of BC026163 Sequence: LLRPNHLWGYYLFPDCYNHHYKKPGYNGSCFNVEIKRNDDLSWLWNESTALYPSIYLNTQQSPVAATLYVRNRVREAIRVSKIPDAKSPLPVFAYTRIVFTDQVLKFLSQDELVYTFGETVALGASGIVIWGTLSIMRSMKSCLLLDNYMETILNPYIINVTLAAKMCSQVLCQEQGVCIRKNWNSSDYLHLNPDNFAIQLEKGGKFTVRGKPTLEDLEQFSEKFYCSCYSTLSCKEKADVKDTDAVDVCIADGVCIDAFLKPPMETEEPQIFYNASPSTLSA Predict reactive species |
| Full Name | SPAM1 |
| Calculated Molecular Weight | 58 kDa |
| Observed Molecular Weight | 60 kDa |
| GenBank Accession Number | BC026163 |
| Gene Symbol | SPAM1 |
| Gene ID (NCBI) | 6677 |
| Conjugate | Unconjugated |
| Form | Liquid |
| Purification Method | Protein A purification |
| UNIPROT ID | P38567 |
| Storage Buffer | PBS with 0.02% sodium azide and 50% glycerol, pH 7.3. |
| Storage Conditions | Store at -20°C. Stable for one year after shipment. Aliquoting is unnecessary for -20oC storage. 20ul sizes contain 0.1% BSA. |
Background Information
SPAM1(sperm adhesion molecule 1), also named as Hyal PH20, belongs to the glycosyl hydrolase 56 family. SPAM1 is a GPI-anchored enzyme present on both the sperm plasma membrane and acrosomal membrane. It is involved in sperm-egg adhesion.
Protocols
| Product Specific Protocols | |
|---|---|
| WB protocol for SPAM1 antibody 86527-1-RR | Download protocol |
| Standard Protocols | |
|---|---|
| Click here to view our Standard Protocols |

