Tested Applications
| Positive WB detected in | SK-N-SH cells, U-251 cells |
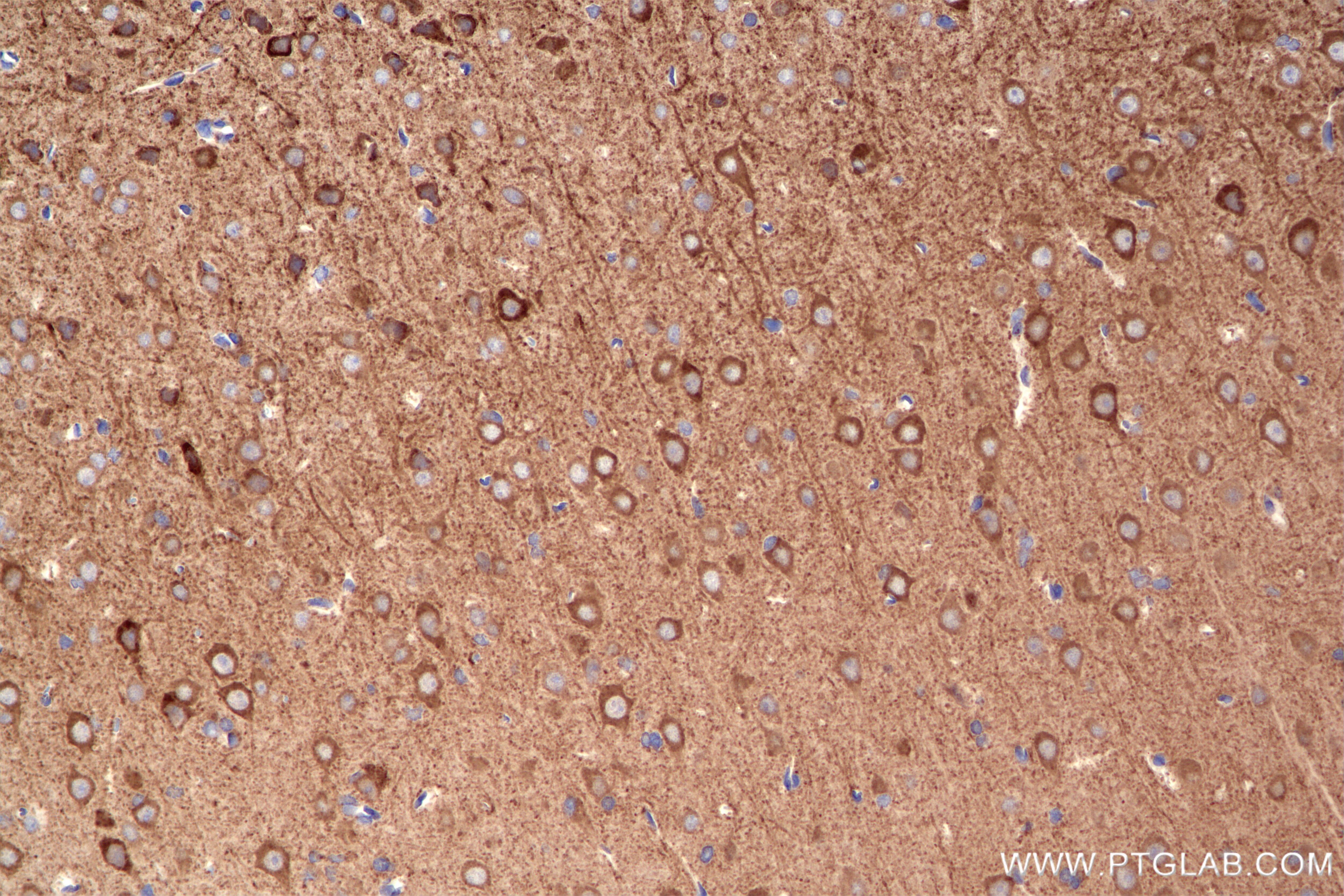
| Positive IHC detected in | rat brain tissue Note: suggested antigen retrieval with TE buffer pH 9.0; (*) Alternatively, antigen retrieval may be performed with citrate buffer pH 6.0 |
| Positive IF-P detected in | rat brain tissue |
Recommended dilution
| Application | Dilution |
|---|---|
| Western Blot (WB) | WB : 1:2000-1:10000 |
| Immunohistochemistry (IHC) | IHC : 1:250-1:1000 |
| Immunofluorescence (IF)-P | IF-P : 1:200-1:800 |
| It is recommended that this reagent should be titrated in each testing system to obtain optimal results. | |
| Sample-dependent, Check data in validation data gallery. | |
Product Information
85108-5-RR targets SYTL5 in WB, IHC, IF-P, ELISA applications and shows reactivity with human, rat samples.
| Tested Reactivity | human, rat |
| Host / Isotype | Rabbit / IgG |
| Class | Recombinant |
| Type | Antibody |
| Immunogen |
CatNo: Ag21698 Product name: Recombinant human SYTL5 protein Source: e coli.-derived, PGEX-4T Tag: GST Domain: 56-343 aa of BC131585 Sequence: TQQEASRVCVHCHRNLGLIFDRGDPCQACSLRVCRECRVAGPNGSWKCTVCDKIAQLRIITGEWFFEEKAKRFKQVNVLGTDVVRQSILRRSPGAEEVQSQEQTRQDAEKSDTSPVAGKKASHDGPKRKGFLLSKFRSATRGEIITPKTDTGRSYSLDLDGQHFRSLKSPPGSDRGSTGSSDLNDQEPGPRTPKSSRSNGVTPGTQSSPAPSTRTVTSVISREYGFENSMDLAAIEGTSQELTKSHRRNTSGTPSIAVSGTSLSSDQSRSELDLSESFTEDSEDTVSI Predict reactive species |
| Full Name | synaptotagmin-like 5 |
| Calculated Molecular Weight | 730 aa, 81 kDa |
| Observed Molecular Weight | 82 kDa |
| GenBank Accession Number | BC131585 |
| Gene Symbol | SYTL5 |
| Gene ID (NCBI) | 94122 |
| Conjugate | Unconjugated |
| Form | Liquid |
| Purification Method | Protein A purification |
| UNIPROT ID | Q8TDW5 |
| Storage Buffer | PBS with 0.02% sodium azide and 50% glycerol, pH 7.3. |
| Storage Conditions | Store at -20°C. Stable for one year after shipment. Aliquoting is unnecessary for -20oC storage. 20ul sizes contain 0.1% BSA. |
Background Information
SYTL5, also known as SLP5, is a member of the synaptotagmin-like protein (Slp) family. Members of this family are characterized by the presence of an N-terminal Slp homology domain (SHD), which functions as a Rab27-binding domain, and C-terminal tandem C2 domains, putative Ca(2+)-binding motifs. SYTL5 promotes the development and progression of papillary thyroid carcinoma (PTC) by activating the NF-κB signaling pathway (PMID: 36378561).
Protocols
| Product Specific Protocols | |
|---|---|
| IF protocol for SYTL5 antibody 85108-5-RR | Download protocol |
| IHC protocol for SYTL5 antibody 85108-5-RR | Download protocol |
| WB protocol for SYTL5 antibody 85108-5-RR | Download protocol |
| Standard Protocols | |
|---|---|
| Click here to view our Standard Protocols |











