Tested Applications
| Positive WB detected in | mouse lung tissue, rat lung tissue |
| Positive IP detected in | mouse lung tissue |
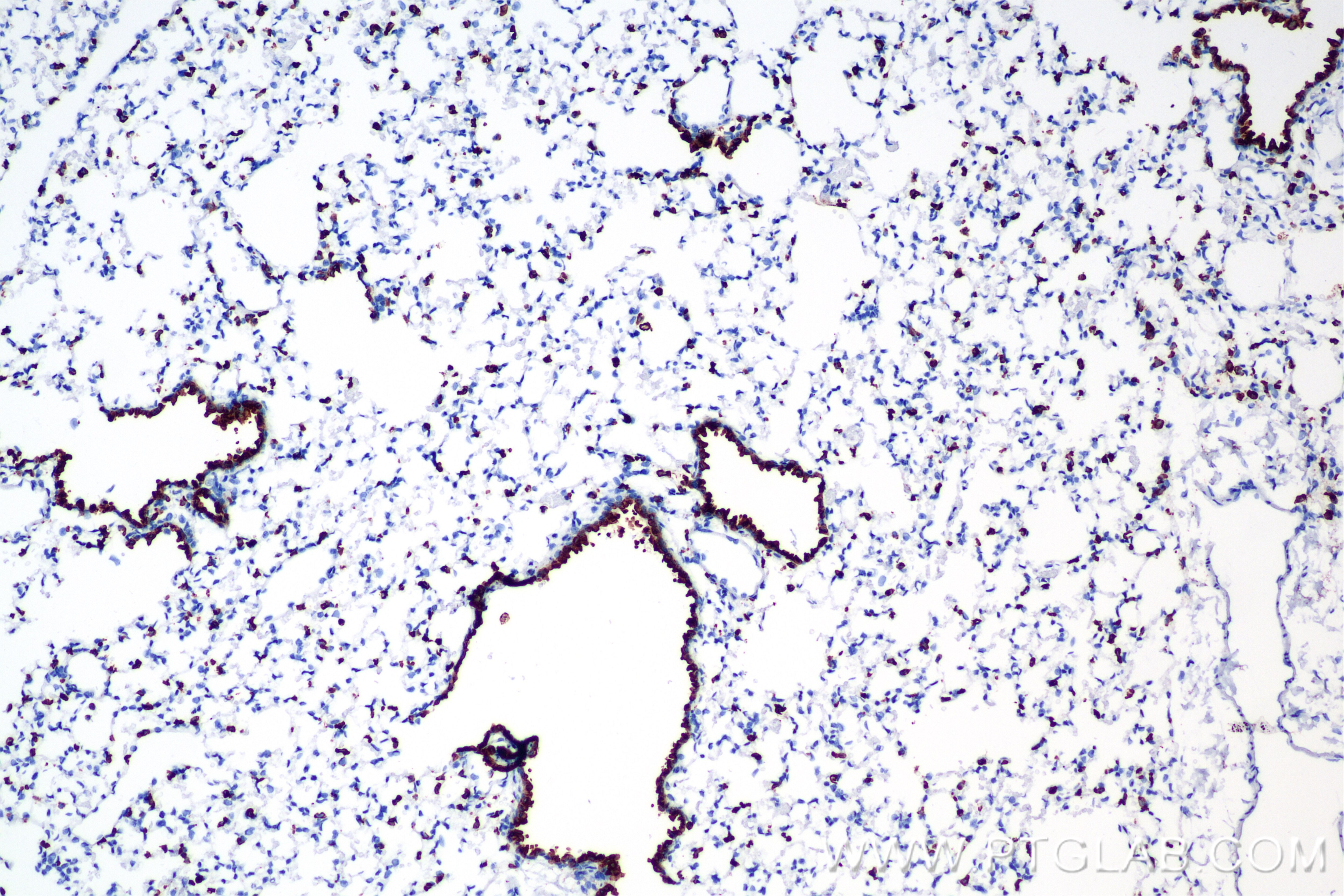
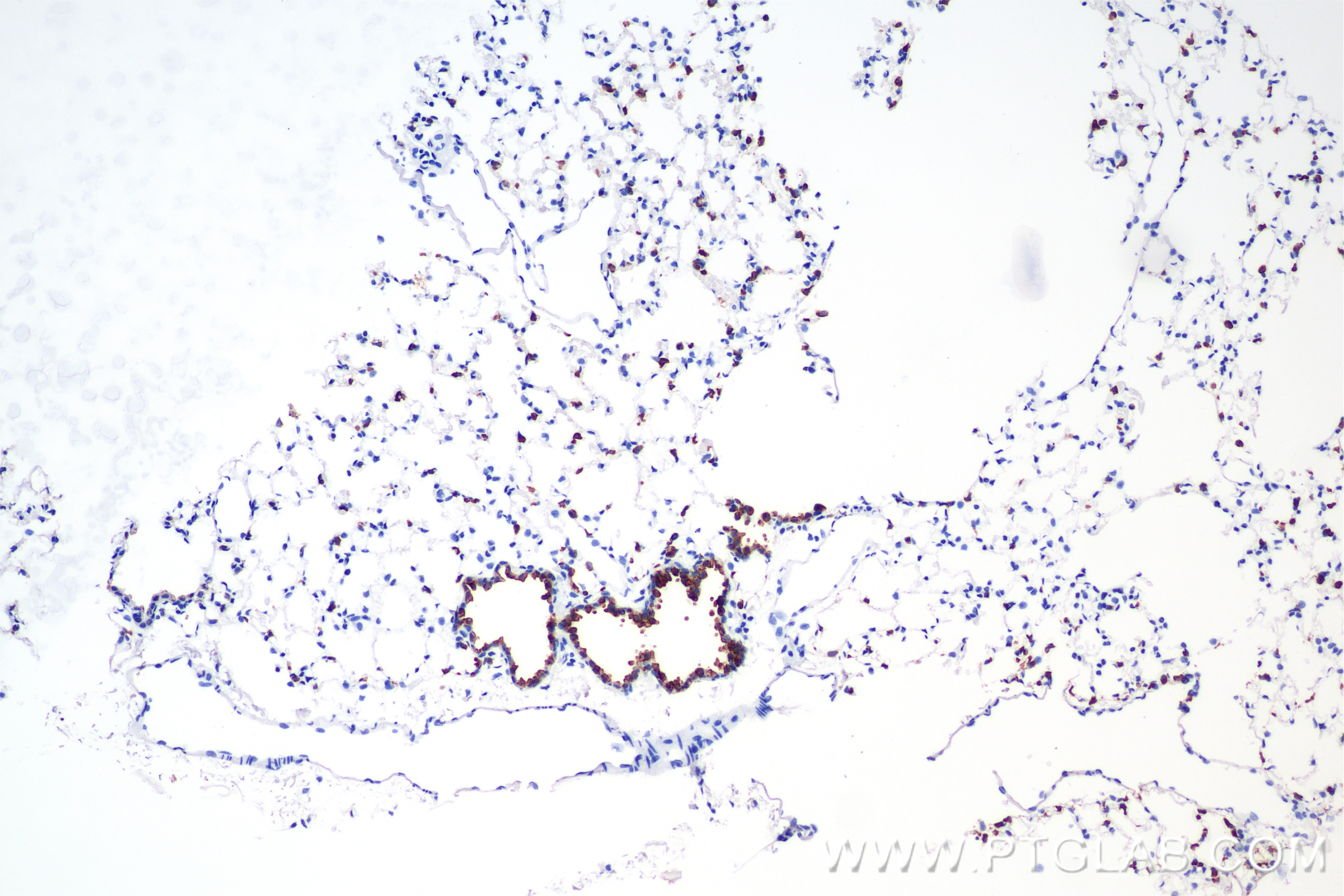
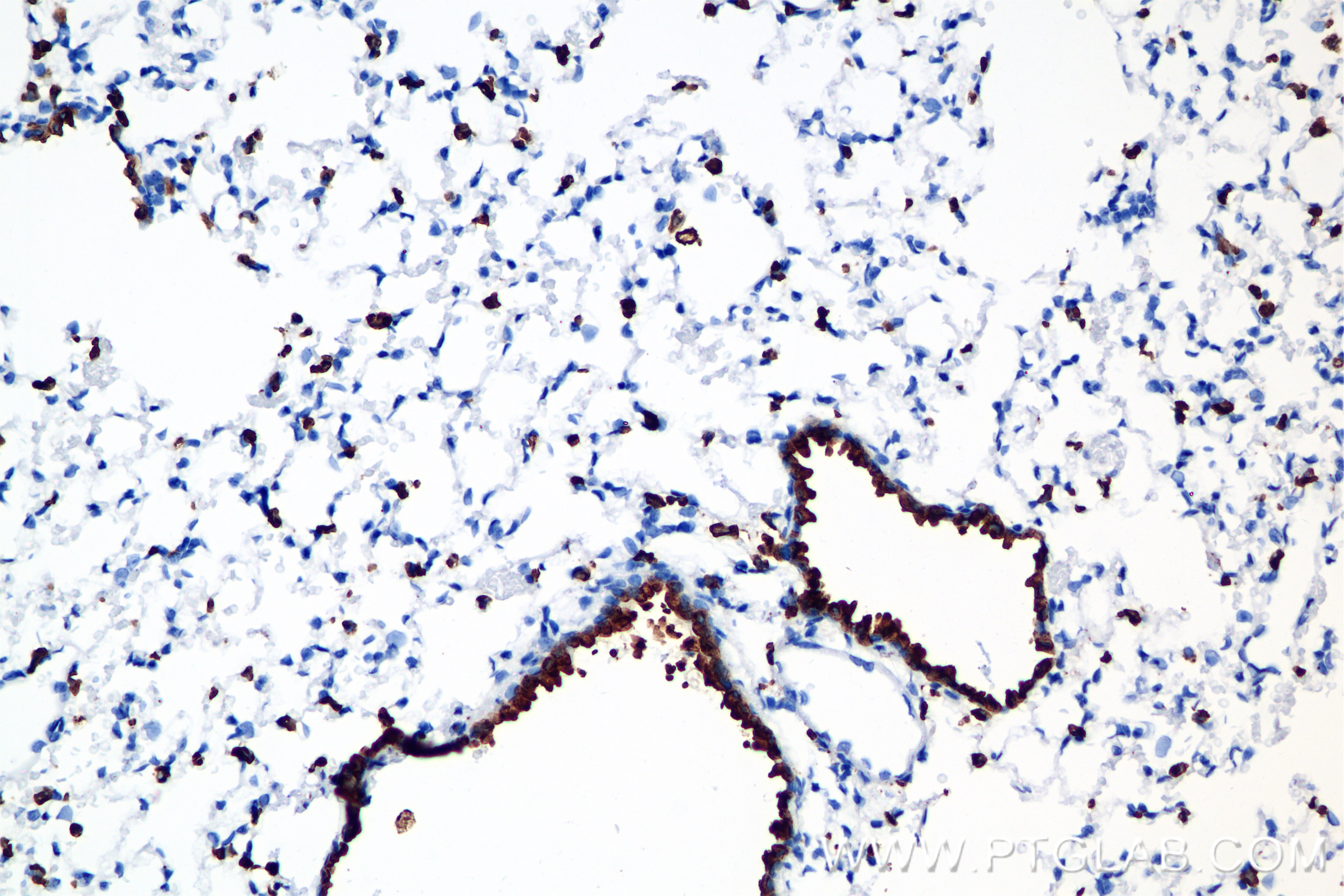
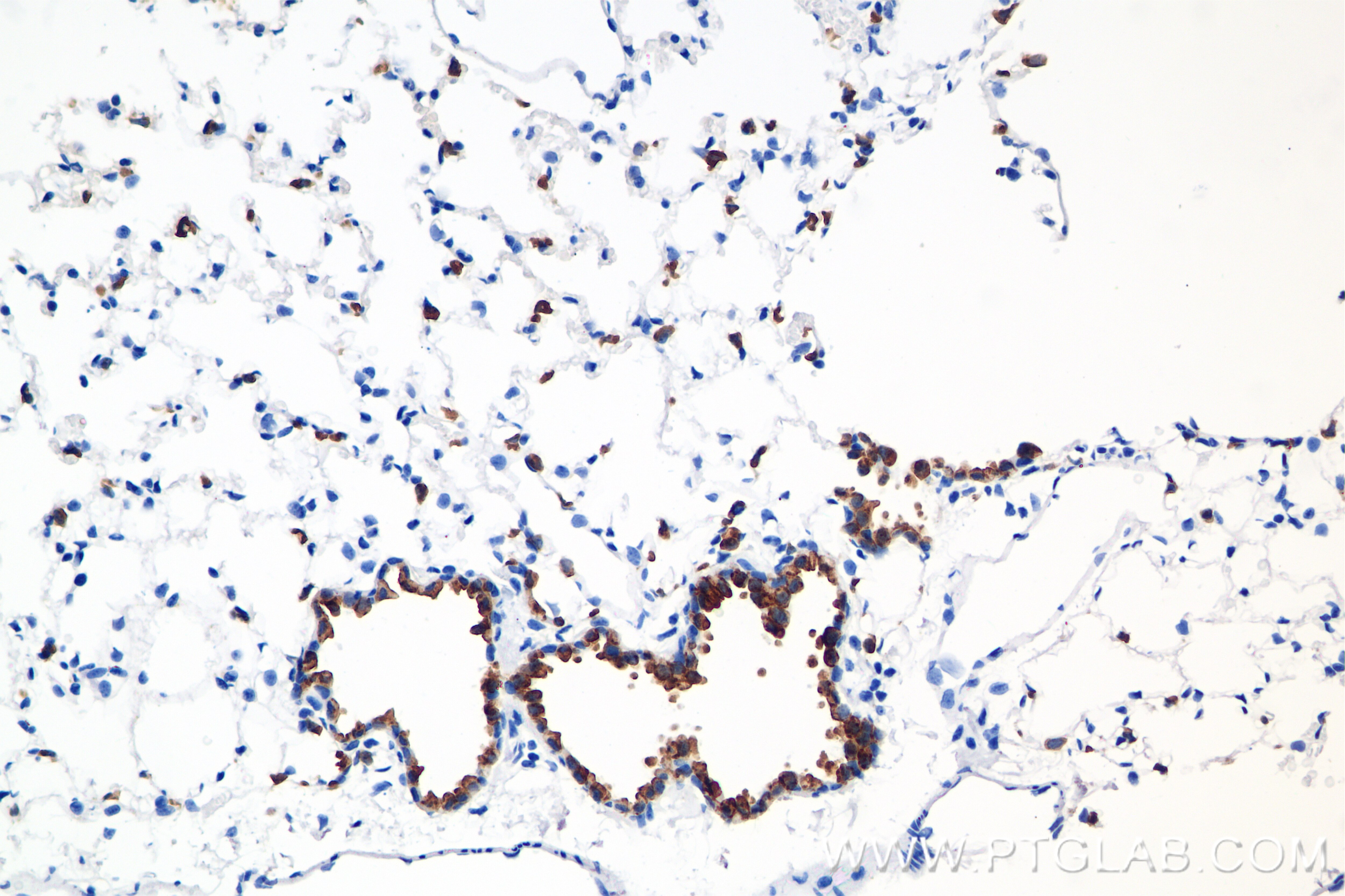
| Positive IHC detected in | mouse lung tissue, rat lung tissue Note: suggested antigen retrieval with TE buffer pH 9.0; (*) Alternatively, antigen retrieval may be performed with citrate buffer pH 6.0 |
Recommended dilution
| Application | Dilution |
|---|---|
| Western Blot (WB) | WB : 1:5000-1:50000 |
| Immunoprecipitation (IP) | IP : 0.5-4.0 ug for 1.0-3.0 mg of total protein lysate |
| Immunohistochemistry (IHC) | IHC : 1:400-1:1600 |
| It is recommended that this reagent should be titrated in each testing system to obtain optimal results. | |
| Sample-dependent, Check data in validation data gallery. | |
Product Information
85985-1-RR targets Surfactant protein D in WB, IHC, IP, ELISA applications and shows reactivity with mouse, rat samples.
| Tested Reactivity | mouse, rat |
| Host / Isotype | Rabbit / IgG |
| Class | Recombinant |
| Type | Antibody |
| Immunogen |
CatNo: Eg2924 Product name: Recombinant Mouse Surfactant protein D protein (rFc Tag) Source: mammalian cells-derived, V37 Tag: C-rFc Domain: 20-374 aa of NM_009160.2 Sequence: AEMKSLSQRSVPNTCTLVMCSPTENGLPGRDGRDGREGPRGEKGDPGLPGPMGLSGLQGPTGPVGPKGENGSAGEPGPKGERGLSGPPGLPGIPGPAGKEGPSGKQGNIGPQGKPGPKGEAGPKGEVGAPGMQGSTGAKGSTGPKGERGAPGVQGAPGNAGAAGPAGPAGPQGAPGSRGPPGLKGDRGVPGDRGIKGESGLPDSAALRQQMEALKGKLQRLEVAFSHYQKAALFPDGRSVGDKIFRTADSEKPFEDAQEMCKQAGGQLASPRSATENAAIQQLITAHNKAAFLSMTDVGTEGKFTYPTGEPLVYSNWAPGEPNNNGGAENCVEIFTNGQWNDKACGEQRLVICEF Predict reactive species |
| Full Name | surfactant associated protein D |
| Calculated Molecular Weight | 38 kDa |
| Observed Molecular Weight | 40 kDa |
| GenBank Accession Number | NM_009160.2 |
| Gene Symbol | Sftpd |
| Gene ID (NCBI) | 20390 |
| Conjugate | Unconjugated |
| Form | Liquid |
| Purification Method | Protein A purification |
| UNIPROT ID | P50404 |
| Storage Buffer | PBS with 0.02% sodium azide and 50% glycerol, pH 7.3. |
| Storage Conditions | Store at -20°C. Stable for one year after shipment. Aliquoting is unnecessary for -20oC storage. 20ul sizes contain 0.1% BSA. |
Background Information
Surfactant protein D (SP-D) is a pattern recognition molecule of the collectin family of C-type lectins, which consist of four structural domains: a cysteine-rich N-terminal domain, a collagen-like region, an alpha-helical coiled-coil neck domain and a C-terminal lectin or carbohydrate-recognition domain (PMID: 16213021; 15030473). SP-D is primarily expressed and secreted by type II alveolar cells (PMID: 16684127). It plays a central role in the pulmonary host defence and the modulation of allergic responses.
Protocols
| Product Specific Protocols | |
|---|---|
| IHC protocol for Surfactant protein D antibody 85985-1-RR | Download protocol |
| IP protocol for Surfactant protein D antibody 85985-1-RR | Download protocol |
| WB protocol for Surfactant protein D antibody 85985-1-RR | Download protocol |
| Standard Protocols | |
|---|---|
| Click here to view our Standard Protocols |











